Predictable Splint Therapy

Leonard Hess, DMD

May 2020 RN - Expires Wednesday, May 31st, 2023

Inside Dental Technology

Abstract

Splint therapy is a common treatment for orofacial pain related to the temporomandibular joint (TMJ), but it can be a significant source of confusion for both the dentist and the dental laboratory. This article will help readers to better understand what needs to be examined in order to properly diagnose patients who are suffering from an internal derangement of their TMJs and occluso-muscular issues. Readers will learn about the appropriate splint device options, what can be expected from each treatment, and how the dental laboratory can offer positive and impactful contributions to the process.

You must be signed in to read the rest of this article.

Login Sign Up

Registration on CDEWorld is free. You may also login to CDEWorld with your DentalAegis.com account.

Splint therapy can be a major source of frustration for many dental professionals. The question is often the same: How can something so seemingly simple be so difficult and unpredictable? Confusion surrounds the type of appliance that should be prescribed: a night guard, a testing device, or just something to give a patient when the dentist does not know what to do but knows something must be done. Questions persist about how it should be designed and fabricated. Issues of patient comfort and compliance must be considered. Factor in the confusion about the length of treatment and the goals of splint therapy, and this type of treatment becomes a recipe for frustration. The late Peter E. Dawson, DDS, founder of the Dawson Academy, said, "In spite of its popularity as the most common treatment for orofacial pain related to temporomandibular joint (TMJ) disorders, it is still considered by many as a ‘mysterious treatment' that no one really understands."

The reality is that appropriate splints do work. A properly fabricated splint can reduce clicking and popping in TMJs, decrease joint pain and muscle pain, and increase the range of motion.1 Unfortunately, splints can also make a patient's condition worse when the wrong appliance is prescribed or when they are improperly designed.2 For example, some of the most commonly prescribed splints are anterior deprogramming devices, and for patients whose problem is inside the joint itself-with the disc being out of position, especially on the medial pole-that can exacerbate the problem by actually increasing the destruction that is happening inside the joint.

In order to prescribe the correct type of orthotic splint, it is incumbent upon the clinician to perform a complete examination. It is recommended that the examination should include the following3-5:

1. Oral medical and dental history (focusing on joint, muscle, and occlusal history)

2. Muscles of mastication palpation and evaluation6

3. Evaluation of the range of motion

4. Centric relation load test

5. Doppler auscultation

6. Evaluation of the dentition for wear, migration, and mobility

7. CBCT or MRI (if deemed clinically necessary and relevant)

This examination will help the clinician make a differential diagnosis of a joint-based vs muscle-based issue. Regarding the TMJ, the complete examination will lead the clinician to three possible diagnoses:

1. Intracapsular issue. In this situation, the disc is starting to get out of position. When the disc becomes displaced on the lateral pole, or the outer part of the condyle, it often causes clicking or popping of the joints. When the disc becomes displaced on the medial or inside pole off the head of the condyle, the patient typically experiences pain that is localized in the TMJ itself, because when the disc becomes anteriorly displaced, the retrodiscal tissue-which is the only innervated tissue in the TMJ-is pulled over the head of the condyle, so the joint is being loaded through chewing pressure.

2. Occluso-muscular issue. In this situation, the patient's primary problem is discomfort in the muscles of mastication. This is often because of muscle incoordination caused by discrepancies in the patient's occlusion. The centric relation maximum intercuspation discrepancy is such that, when the muscles contract with every chew or bite, or when the teeth go together upon swallowing, the muscles of mastication are always trying to seat the condyle in centric relation. If the teeth do not line up with that, then a discrepancy exists between what the muscles are trying to do and what the teeth are trying to do; it results in the muscles of mastication not working in harmony with each other. In certain muscles, such as the anterior temporalis muscle, which is a repositioner muscle, or the lateral pterygoid, those muscles can become overworked and/or inflamed, and lactic acid can build up in the muscles, leading to significant soreness.

3. Other issues. Trigeminal neuralgia, medical/systemic issues, other pathology, and psychological problems are just a few of the less common diagnoses that may require the involvement of medical partners to treat the patient prior to potential splint therapy.

The diagnostic flow must follow the appropriate path of a complete examination, leading to a differential diagnosis. The diagnosis will then lead to the appropriate splint treatment. Results of the splint therapy will then lead to a definitive occlusal and restorative treatment plan. Splint therapy is the beginning of treatment for most patients-not the end. It is a part of a treatment plan, not "the" treatment plan. Making a patient dependent on a piece of plastic should never be the goal.

Treatment

Splints fall into the following two basic categories: permissive and directive. Permissive splints allow the unrestricted movement of the mandible against the appliance; most splint therapies fall into this category. Directive splints direct the mandible into a predetermined position. These types of appliances should be used with great caution and for only very limited periods of time. Permanent occlusal changes can occur with the use of improper directive splint therapy. An example of a directive splint would be an anterior positioning device that situates the mandible into a position that is anterior to maximum intercuspation. This article focuses on permissive splints.

Treating Intracapsular Problems

The primary splint to treat an intracapsular problem is a superior repositioning splint (SRS), also known as a centric relation splint (Figure 1). This is a full-coverage permissive splint that can be made to cover the maxillary or mandibular teeth. The goal of this appliance is to meet the five requirements of occlusal stability on the appliance in a reversible manner. Those requirements, as described by Dawson, are as follows:

1. Stable holding stops on each tooth in centric relation. (In the case of an SRS, this will be as close to centric relation as possible. The goal of SRS therapy is to have TMJs that are capable of full loading with bimanual manipulation without tension or tenderness)

2. Anterior guidance in harmony with the envelope of function

3. Immediate disclusion of the posterior teeth in protrusion

4. Immediate disclusion of the balancing side toward the midline during excursion

5. Disclusion of all teeth on the working side with the anterior guidance7

Dawson said: "Centric relation is the only condylar position that allows an interference-free occlusion." Centric relation is when the condyle disc assembly is in its most superior and axial braced position in the glenoid fossa. In this position, the center of force is on the medial pole of the condyle.8

Fabrication of an SRS

An SRS must be fabricated utilizing facebow-mounted high-quality impressions or digital scans. For the splint to fit the occlusion correctly, the 3D orientation of the maxilla and the condylar axis of rotation must be recorded (Figure 2). The lower model should be mounted as close to centric relation as possible.

One way the laboratory can positively impact the outcome of the case is by insisting or encouraging that dentists mount models using a facebow and have the appliance fabricated on an articulator. Commonly, night guards are prescribed and fabricated on unmounted models or models that are made on a Galetti articulator or a simple hinge articulator; those usually do not fit very well, which negatively impacts patient compliance. The bite is usually very poor because it is heavy on the posterior teeth.

The laboratory also can make the splint as thin as possible-which means that the vertical dimension of occlusion is being opened as minimally as possible on the appliance-and created with anterior contour to provide separation of the posterior teeth in excursive movements. The splint should be smooth, fit passively, and not rock on the dentition.9 Ensuring that the splint is fabricated on a quality set of study models with minimal distortion is important as well. If an appliance is fabricated on distorted models, it often will not fit correctly in the mouth; it will rock or be too loose or too tight, which decreases patient compliance.

Another area where the laboratory can contribute is in the decision to create the splint for the maxillary or mandibular arch. Typically, there is no right or wrong answer. However, if a laboratory technician identifies a Class 2 occlusion or a deeper bite, with a deep overjet-overbite relationship, an SRS on the mandibular teeth is preferable.

Additionally, when fabricating an SRS, the technician should ensure a flat plane where the contact points are when the teeth are occluding against the splint. Avoid incorporating any anatomy into the splint. The anterior platform-the ramping on the SRS-should disclude the posterior teeth when they go into a protrusive or lateral excursive movement. The technician should attempt to make that as shallow as possible; it should not be steep.

Splints can be fabricated one of three ways: analog, milling, or 3D printing. The analog method involves creating the splint out of acrylic, freehand, and then curing the acrylic either in a lightbox or with pressure and heat. Most commonly, laboratories mill splints; they either receive an intraoral scan file or digitize an impression in the laboratory, and then design the splint in CAD software before milling from polymers (such as PMMA) or zirconia. More recently, some laboratories are 3D printing splints, though this is less common because FDA-approved printable materials have become available only very recently.

Treatment Expectations With an SRS

The splint must be equilibrated at the delivery appointment to allow even holding contacts and to be sure that there is not any posterior interference in excursive movements. As the joints stabilize and the condyles seat into the adapted centric posture, the splint will need to be further equilibrated. This will be evident by the patient continuing to hit first on the distal aspect of the splint (Figure 3). This is normal and a sign of progressively positive treatment progress. Some patients will also have the formation of a pseudo disc over the head of the condyle. This is when undifferentiated mesenchymal cells in the joint space differentiate into chondrogenic and adipogenic cells and form a "callus" over the condylar head.10

The patient can expect to wear the SRS for over 20 hours a day. On average, they should expect the treatment to last 3 to 6 months. And, it is not uncommon to see faster improvement but also for it to take longer than 6 months. In addition to patient compliance with wearing the orthotic splint, there are a few considerations that should be communicated to the patient.

1. Maintain a softer diet and reduce inflammation in the TMJs

2. Drink plenty of water and stay hydrated

3. Get 8 hours of sleep each night

4. Increase exercise

5. Eat a healthy diet

6. Reduce smoking and alcohol consumption

7. Positive self-talk

Following all of these guidelines will promote a healing environment for the body to allow adaptation in the TMJs.

Goals of SRS treatment11,12:

1. Relief of joint and muscle symptoms, including headache

2. Reduced inflammation in the joints

3. Formation of a pseudo disc

4. Decreased loading of the joints

5. Increased synovial fluid production

6. Test a reversible perfected occlusion

7. Decreased bruxism and parafunction

8. Alterations of patient behavior

9. Increased range of motion

Once stabilization of the joints has occurred, which means that they can be load tested and that the symptoms have resolved, it is time to correct the underlying issues that initially resulted in the need for splint therapy. In the words of Dawson, "Splint therapy is not a cure for occlusal disharmony. The common practice of removing the splint without correcting the occlusion is counterproductive because the original cause of the problem is still present. In time, the uncorrected occlusal interferences will reactivate the problems. The proper next step is to correct the occlusion."

Treating Occluso-Muscular Issues

The most effective way to treat occluso-muscular issues is with a permissive splint that is designed to be a deprogramming device. Some examples of segmental permissive deprogrammers would be a centric relation tool (Figure 4), a nociceptive trigeminal inhibition (NTI) device, and a short-term occlusal splint (Figure 5). Segmental deprogrammers are short-term or intraoffice devices. Because they are segmental, they cannot be worn for more than 6 to 8 hours a day without the risk of tooth drifting or eruption; however, devices such as the centric relation tool are excellent instruments to help make a differential diagnosis of occluso-muscular versus intracapsular issues.

Deprogrammers are highly effective because they separate the posterior dentition. The elevator muscles shut down around 70% to 80% when the posterior teeth are not touching.13 These periods of relaxation can greatly reduce inflammation and lactic acid buildup in overused/hypertrophic muscles.14

A different device must be prescribed for long-term deprogramming and to allow its usage to be greater than 8 hours a day without the risk of tooth drifting or eruption. A dual arch B-splint (Figure 6) is the full-coverage permissive device that is recommended for these clinical situations. Both arches are covered with essentially rigid orthodontic retainers. The anterior segments have opposing flat plane tables. When the patient closes his or her mouth, the back teeth stay separated. When the patient slides into excursive movements, there is little resistance because the back teeth stay separated and the only contact is on the flat planes. That is why the dual arch B-splint is also an excellent appliance for bruxers.

Patients should discontinue usage with any discomfort and report this to their clinician. Temporary bite changes are also to be expected in the mornings. And, the practitioner must also use a deprogramming device with caution in patients with large centric relation/maximum intercuspation interferences.

Fabricating a Dual Arch B-Splint

High-quality impressions or scans are all that is required for the laboratory to fabricate a dual arch B-splint-again, via analog methods, milling, or 3D printing. Because the occlusion will be open, there is no need for a facebow. The same principle applies to these as to an SRS: Separate the teeth the least amount possible to create the platforms, but also ensure that none of the posterior teeth can touch in the splint, because they will both be covered. Ensure that, as they go into an excursive movement, the patient cannot still touch the acrylic that is covering the posterior teeth.

Delivery and Patient Instructions

At delivery, the doctor should ensure a passive fit of both arches. The patient must move his or her mandible into extreme protrusive and lateral excursive movements to be sure there is no contact of the splint on the molars. This is a critical step that should not be overlooked. If the patient can contact second molars on the dual arch B-splint, then the muscles of mastication will still be active (Figure 7).

Conclusion

The astute clinician must utilize the complete examination to be sure that the appropriate splint appliance is being prescribed. The clinician must understand what the goals of treatment with the appliance are and also what long-term treatment must follow. The clinician must also not lose sight of other nondental issues such as neuropathology, central nervous system issues, soft- or hard-tissue pathology, psychologic issues, and pain disorders, to name a few. When an examination and diagnosis is made, splint therapy can become a predictable and efficacious form of treatment.

About the Author

Leonard A. Hess, DDS
Senior Faculty
The Dawson Academy
St. Petersburg, Florida
Private Practice
Monroe, North Carolina

References

1. Sletten WO, Taylor LP, Goodacre CJ, Dumont TD. The effect of specially designed and managed occlusal devices on patient symptoms and pain: a cohort study. Gen Dent. 2015;63(2):46-52.

2. Fricton J, Look JO, Wright E, et al. Systematic review and meta-analysis of randomized controlled trials evaluating intraoral orthopedic appliances for temporomandibular disorders. J Orofac Pain. 2010;24(3):237-254.

3. Dawson PE. Differential diagnosis of temporomandibular disorders. In: Functional Occlusion: From TMJ to Smile Design. St. Louis, MO: Mosby; 2007:259-264.

4. Dawson PE. Occluso-muscle disorders. In: Functional Occlusion: From TMJ to Smile Design. St. Louis, MO: Mosby; 2007:265-276.

5. Dawson PE. Intracapsular disorders of the TMJ. In: Functional Occlusion: From TMJ to Smile Design. St. Louis, MO: Mosby; 2007:277-306.

6. Haley D, Schiffman E, Baker C, Belgrade M. The comparison of patients suffering from temporomandibular disorders and a general headache population. Headache. 1993;33(4):210-213.

7. Williamson EH, Lundquist DO. Anterior guidance: its effect on electromyographic activity of the temporal and masseter muscles. J Prosthet Dent. 1983;49(6):816-823.

8. Dawson PE. Occlusal disease. In: Functional Occlusion: From TMJ to Smile Design. St. Louis, MO: Mosby; 2007:17-26.

9. Conti PC, dos Santos CN, Kogawa EM, et al. The treatment of painful temporomandibular joint clicking with oral splints: a randomized clinical trial. J Am Dent Assoc. 2006;137(8):1108-1114.

10. Lavi A, Pelled G, Tawackoli W, et al. Isolation and characterization of mesenchymal stromal progenitors from the temporomandibular joint disc. J Tissue Eng Regen Med. 2017;11(5):1553-1561.

11. Tsuga K, Akagawa Y, Sakaguchi R, Tsuru H. A short-term evaluation of the effectiveness of stabilization-type occlusal splint therapy for specific symptoms of temporomandibular joint dysfunction syndrome. J Prosthet Dent. 1989;61(5):610-613.

12. Kreiner M, Betancor E, Clark GT. Occlusal stabilization appliances. Evidence of their efficacy. J Am Dent Assoc. 2001;132(6):770-777.

13. Mansour RM, Reynik RJ. In vivo occlusal forces and moments: I. Forces measured in terminal hinge position and associated moments. J Dent Res. 1975;54(1):114-120.

14. Shinogaya T, Kimura M, Matsumoto M. Effects of occlusal contact on the level of mandibular elevator muscle activity during maximal clenching in lateral positions. J Med Dent Sci. 1997;44(4):105-112.

15. Fricton J, Look JO, Wright E, et al. Systematic review and meta-analysis of randomized controlled trials evaluating intraoral orthopedic appliances for temporomandibular disorders. J Orofac Pain. 2010;24(3):237-254.

16. Okeson JP. The effects of hard and soft occlusal splints on nocturnal bruxism. J Am Dent Assoc. 1987;114(6):788-791.

Fig 1. This SRS is fabricated for wear on the maxillary arch. The anterior contour allows the separation of posterior teeth in lateral and protrusive movement.

Figure 1

Fig 2. An SRS needs to be fabricated on
facebow-mounted models. It should be fabricated as close to centric relation as possible.

Figure 2

Fig 3. This is an example of initial distal contacts on an SRS orthotic. This is commonly seen when patients present for adjustment visits. This is a positive sign as the condyles are seating in a more superior position.

Figure 3

Fig 4. A centric relation tool is used to deprogram muscles of mastication. Photograph of Class I Standard Lucia Jig courtesy of Great Lakes Dental Technologies.

Figure 4

Fig 5. A short-term occlusal splint can be used for short-term occluso-muscular discomfort and deprogramming. It is large enough that the
patient can take it home.

Figure 5

Fig 6. With a dual arch B-splint in the mouth, the posterior teeth stay separated by the anterior platform. Both arches are fully retained and covered, which prohibits tooth movement. It is large enough that the patient can take it home with them. Photograph of QuickSplint® courtesy
of Orofacial Therapeutics.

Figure 6

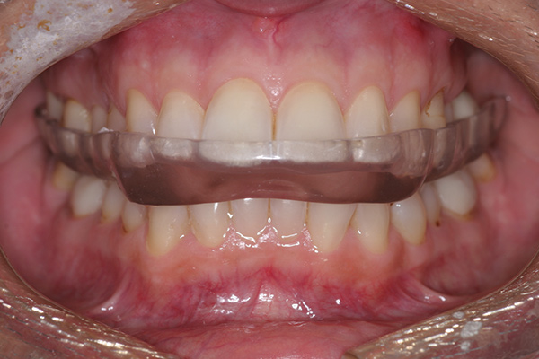
Fig 7. Posterior interferences are noted on the distal teeth. They must be evaluated and removed or muscular activity will remain because of the posterior tooth contact.

Figure 7

CREDITS: 0
AGD CODE: 370 - Functional Orthodontics
COST: $0
PROVIDER: Conexiant Education
SOURCE: Inside Dental Technology | May 2020

Learning Objectives:

  • Acknowledge what is required in a clinical examination to determine what splint has been prescribed.
  • Identify the difference between permissive and directive splints and their uses.
  • Recognize the laboratory’s role in fabricating splints.

Disclosures:

The author reports no conflicts of interest associated with this work.

Queries for the author may be directed to justin.romano@broadcastmed.com.