Let There Be Light: Illuminating New Technology in Smartphone Dental Photography

M. Reed Cone, DMD, MS, CDT, FACP; and Cornelia Cone, MA

September 2019 RN - Expires Sunday, December 31st, 2023

Inside Dental Technology

Abstract

While digital single-lens reflex (DSLR) photography is the gold standard in dentistry, many dentists and laboratories forego it due to expensive equipment, additional training required, and a poor return on investment. These factors, coupled with the integration of digital photography into smartphone technology over the last two decades, have led to the increased prevalence of mobile camera technology within the operatory. Smartphone dental photography provides inherent convenience, ease of use, and the ability to have real-time collaboration with colleagues—all features that make photographic recordkeeping less of a hurdle to overcome compared to using a DSLR camera system. These advantages, however, are not without technical drawbacks. This article will examine the pros and cons of smartphone dental photography, including newer technologies meant to overcome certain challenges.

You must be signed in to read the rest of this article.

Login Sign Up

Registration on CDEWorld is free. You may also login to CDEWorld with your DentalAegis.com account.

In the field of dental medicine and laboratory technology, photography has long been an essential means of documenting, diagnosing, and communicating clinical findings.1-4The most prevalent devices currently utilized by dentists to achieve these ends are the compact digital camera and digital single-lens reflex (DSLR) camera.1,5Despite the obvious utility of a digital camera as an integral part of the dental practitioner's armamentarium, several surveys within the literature have consistently demonstrated that the majority of dentists do not use photography as a tool in their daily practice. A few of the most relevant reasons cited are expensive equipment, additional training required, and a poor return on investment.1,5,6These factors, coupled with the integration of digital photography into smartphone technology over the last two decades, have led to the increased prevalence of mobile camera technology within the operatory.7

Smartphone dental photography (SDP) provides inherent convenience, ease of use, and the ability to have real-time collaboration with colleagues-all features that make photographic recordkeeping less of a hurdle to overcome compared to using a DSLR camera system. These advantages, however, are not without technical drawbacks. The most salient disadvantage of SDP is the lack of sufficient and appropriate native light output, a shortcoming that often renders the images obtained from contemporary mobile devices inadequate for accurate and effective case documentation.

Ingredients for Good Dental Photography

At the high end of professional dental photography, the images produced by DSLR cameras represent the benchmark for dentists and laboratory technicians alike. Most DSLR cameras possess a modular component system, allowing for a wide variety of interchangeable lenses and dedicated lighting set-ups (Figure 1).  The flexible nature of DSLR cameras allows for augmented creative freedom with object illumination and varied focal lengths tailored to the desired depth of field.8 Additionally, the larger sensors built into DSLR cameras impart improved fidelity in the color rendering and increased resolution. These features combine to ultimately produce exceptional results.3,9

Achieving a properly exposed photograph, however, requires mastering the dynamic interplay of various camera settings and lens parameters such that small adjustments to any one single factor will affect the other two. These factors-which include shutter speed, light sensitivity (ISO), and aperture-are collectively referred to as the exposure triangle and have been discussed in great detail elsewhere.10,11 In the endeavor to photograph the human dentition, the well-established principle of the exposure triangle fails due to the dearth of ambient light present in the narrow and restricted confines of the oral cavity. Lester Dine recognized and addressed this limitation in 1952 with the development of an external light source that attached to a macro lens on the dentist's camera and was specifically designed to provide enough illumination throughout the mouth. His invention, which he called the ring-flash (Figure 2), allowed dentists to produce consistent and predictable intraoral photographs for the first time.12

The Exposure Diamond

For most dentists and technicians, being able to take professional-level photographs with a DSLR camera represents a steep economic investment and a shallow learning curve. The time commitment and nebulous return on investment are certainly a potent deterrent to the incorporation of these systems into daily practice. While remaining cognizant of the need for photographic documentation, the dental field has witnessed an increase at the low end of the dental photography continuum through the use of the ubiquitous smartphone as a proxy for the larger and more expensive DSLR camera set-ups. Most smartphones will allow the user to customize and control the exposure triangle via the internal camera settings or by means of a third-party application (Figure 3). However, the diminutive nature of the lens, aperture, and sensor of these devices makes the necessary attainment of light problematic. Coupled with low-capacity native light output on the subject being photographed, this often results in images that are distorted, low-resolution, and possess an inconsistent reproduction of color and detail, all of which render them unacceptable for documenting patient treatment and laboratory collaboration (Figure 4).

Since dentists began photographing teeth, it has been well-established that the application of the exposure triangle is ill-suited to this particular form of image capture. Rather, an exposure diamond (Figure 5), in which an external artificial light source (EALS) represents the apex, is a more appropriate conceptual framework that takes into account the prioritization of focused light output over the other three factors in the realm of dental photography.

The Dental Industry Responds to a Need

Paralleling the obstacles that Lester Dine faced nearly 70 years ago, there exists a need within the dental community for a cost-effective, easy-to-use technology that is specifically tailored to address the limitations of intraoral smartphone photography. In recognition of these shortcomings, several dental companies have developed economical and user-friendly smartphone light attachments to produce consistent and uniform subject illumination that allows the user to override the physical limitations of the small internal camera and sensor-rendering manual modification of ISO, shutter speed, and aperture unnecessary. The addition of a dental-specific EALS to contemporary smartphones ultimately simplifies the operator experience, resulting in a heightened focus on patient care and an elevation in SDP to a level that exceeds the current threshold for acceptable standards of clinical documentation.

Although there are numerous smartphone EALS devices available at the time of publication, three in particular stand out as most widely utilized in clinical dentistry and laboratory technology: MDP (Mobile Dental Photography) by Smile Line (smilelineusa.com); SDL (Smartphone Dental Light) by PhotoMed (photomed.com);  and COCO Lux by DeeDent Dental 365, Inc. (deedent.com) (Figure 6). For convenience and as an objective at-a-glance comparison only, the most germane features of each dentally specific EALS have been compiled into a chart (Smartphone EALS Comparison Table). With all products in a competitive marketplace, various factors such as price point, clinical application, desired end result, ease of use, and add-on accessories will ultimately influence the decision-making process of the buyer (Figure 7 through Figure 9).

Application of Mobile Dental Photography

The myriad uses for dental photography today run the gamut from academia to art. The following examples do not represent an exhaustive list of the possible applications for mobile dental photography; rather they illustrate how smartphones are rapidly becoming an indispensable part of the armamentarium for the most common and practical day-to-day clinical and laboratory protocols.

Diagnosis and routine treatment planning

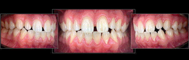
One of the main advantages smartphone photography has over the use of DSLR cameras is that nearly everyone is already very familiar with the technology, and the incorporation of these devices into everyday practice does not require learning a new skill set. The task of producing a series of high-quality clinical photographs for routine examinations (Figure 10), esthetic treatment planning (Figure 11), and specialty care (Figure 12) can be delegated with confidence to any staff member during the patient's initial office visit and will generally require less than 5 minutes to complete. Using a DSLR camera, evaluation of the intraoral images would either take place on the small viewfinder built into the camera or necessitate the physical removal of the card from the camera to then be downloaded onto a computer for review. An added bonus of SDP is that the screen now replaces the much smaller viewfinder of a DSLR camera and provides the dentist with the ability to view and zoom into the patient images on a 5- to 6-inch high-definition display.

Emergency care and referral to specialists

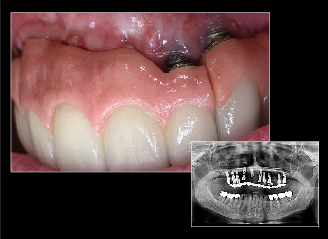
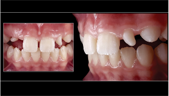
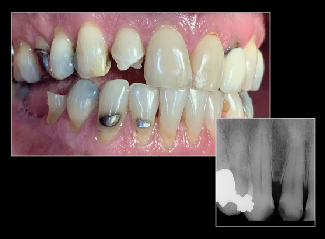
Emergency visits are a common and unpredictable feature of nearly all dental practices (Figure 13). When emergencies do occur, the patient's provider may not always be on site to evaluate and initiate treatment. In a similar manner, new patients of record frequently present with oral conditions that require the attention of a dental specialist who may only be available at another clinic (Figure 14). For many of these patients, immediate access to care may be limited, and if the patient is experiencing discomfort, time is a critical factor in regard to initiating a proposed plan of action. The use of a smartphone with an EALS will allow the clinical staff to rapidly acquire intraoral photographs or video and transmit these images and information via an encrypted text message or secure email anywhere in the world for immediate consultation. This combination of telecommunications and dentistry is known as teledentistry,13 and has been shown to have significant patient and provider benefits in the fields of oral medicine,14 oral and maxillofacial surgery,15 endodontics,16prosthodontics,17periodontics,18 pediatrics,19 orthodontics,20and amongst dental hygienists.21

Shade selection and laboratory
communication

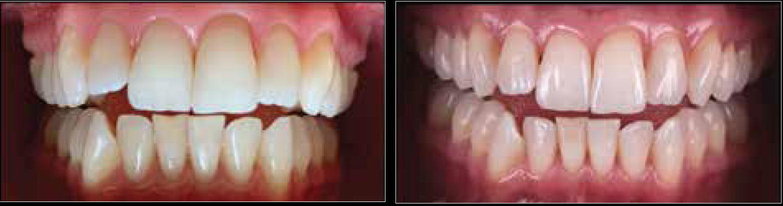
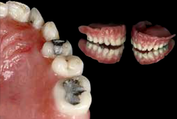
Perhaps the most utilized intraoral photographs in the dental field are those that involve shade selection (Figure 15). The analysis of color (hue, chroma, and value) in dentistry is critical to the fabrication of esthetic indirect restorations such as all-ceramic crowns and porcelain laminate veneers. The ability to properly communicate this information with the dental laboratory is essential to ensure an appropriate shade match, reduction in chairtime and overhead, and most importantly, a satisfactory patient experience and treatment outcome. In recent years, the use of polarized light photography as an aid in the shade selection process has been made extremely popular. For some EALS equipment, special polarizing filters have been designed specifically to fit over the light-emitting portion of the device (Figure 16). The images produced with this technique demonstrate a reduction or elimination of the specular reflection of hard and soft tissue, resulting in a matte-finish appearance of the dentition and gingiva. These types of photographs aid the ceramist in identifying areas of opacity, translucency, crack lines, hypo- or hyper-calcification, and other internal features of the dentition that may not be readily visible without such a filter (Figure 17).

Marketing and creative photography

Dentistry is a highly visual medical specialty. Annual symposiums, office websites, and peer-reviewed publications are all peppered with gorgeous before-and-after case photographs as well as images of materials and techniques. Using a smartphone equipped with an EALS device to document the workflow of relevant patient treatment does not need to be limited to the dental chair. Off-label uses for smartphone image capture aided by an EALS-such as small-object product photography (Figure 18), and macro photographs of the human eye (Figure 19)-are very popular for use on social media platforms. Some EALS devices also have the ability to facilitate the addition of third-party add-on lenses (Figure 20) to add further innovation to smartphone photography and video recordings (Figure 21). Creative photographs offer extraordinary potential for developing a marketable and recognizable brand, attracting new clients, and providing a deeper sense of career-related personal satisfaction.

Smartphone Usage and Patient Privacy Concerns

The 1996 adoption of the Health Insurance Portability and Accountability Act (HIPAA) placed a mandate on all healthcare providers, including dentists and dental laboratories, to create and implement policies to protect their patients' personal health information (PHI).22 As the use of smartphones for capturing, storing, and sharing images in clinical dentistry has increased, so too has the compounding effect on the potential violation of HIPAA guidelines via unencrypted email, text messaging, and social media platforms.23 In order to remain HIPAA-compliant, dental offices and dental laboratories are encouraged to incorporate many of the widely available smartphone applications that address the aforementioned vulnerabilities into their routine dissemination of patient images (Figure 22). Features to look for when selecting this kind of application include consent forms, integration with the electronic health record (EHR), user authentication, audit trail that logs user access to patient information, non-permanent data storage, an application time-out feature, integrated image/video capture, image annotation, and secure wireless transmission.24Additional best practice guidelines to minimize the risk of a breach include the use of password protection, data encryption, and removing personal identifiable information (PII), such as distinguishing facial features, birthmarks, and tattoos, from all images.25

Conclusion

Clinical and laboratory photographic documentation in dentistry is a well-established practice and includes case documentation, patient education, staff training, medical-legal reporting, marketing, collaboration and communication with colleagues, didactic lessons in academia, and, of course, self-improvement. The DSLR camera currently represents the most common tool practitioners and technicians utilize to achieve this documentation. However, the continued advancement of smartphone cameras and dental-specific EALS devices is causing a sea change in this trend. The potential applications of this emerging shift toward smartphone dental photography present the field of dentistry with myriad novel and exciting ways in which to capture, share, and utilize patient images. As the fundamental nature of small-object photography requires both substantial ambient light and a large sensor to collect that light in order to be effective, the images produced by using a dental-specific EALS aspire to match those images produced by DSLR cameras. For this reason, SDP is not meant as an absolute replacement for the DSLR camera;  rather, it may be viewed as a unique adjunct and perhaps the preferred tool for certain individuals in particular circumstances. Creativity is the only limit.

About the Authors

M. Reed Cone, DMD, MS, CDT, FACP
Prosthodontist and Certified Dental Technician
Nuance Dental Specialists
Portland, ME

Cornelia Cone, MA
CEO
Nuance Dental Specialists
Portland, ME

References

1. Morse, GA., Haque, MS., Sharland, MR., Burke, FJ. The use of clinical photography by UK general dental practitioners. British Dental Journal. 2010; 208(1): E1. discussion 14-15.

2. Yoo, A. 10 Reasons why dental photography should be an essential part of your practice. Dental Economics. https://www.dentaleconomics.com/practice/article/16390170/10-reasons-why-dental-photography-should-be-an-essential-part-of-your-practice. Published September 30, 2014. Accessed May 16, 2019.

3. Ahmad, I. Digital dental photography. Part 2: purposes and uses. British Dental Journal. 2009; 206(9): 459-464.

4. Wander, P., Ireland, RS. Dental photography in record keeping and litigation. British Dental Journal. 2014; 217(3). 133-137.

5. Uzunov, TT., Kosturkov, D., Uzunov, T., Filchev, D., Bonev, B., Filchev, A. Application of photography in dental practice. Journal of IMAB.2015: 21(1):682-686.

6. Sharland, M., Burke, FJ., McHugh, S., Walmsley, AD. Use of dental photography by UK dental practitioners. Dental Update. 2004; 31(4): 199-202.

7. Harting, MT., DeWees, JM., Vela, KM., Khirallah, RT. Medical photography: current technology, evolving issues and legal perspectives. The International Journal of Clinical Practice. 2015; 69(4): 401-409.

8. Kalpana, D., Rao, S., Joseph, J., Kurapati, S. Digital dental photography. Indian Journal of Dental Research. 2018; 29: 507-512.

9. Terry, D., Snow, S., McLaren, E. Contemporary dental photography: selection and application. Compendium of Continuing Education in Dentistry. 2008; 29(8): 432-449.

10. Introduction to clinical digital photography. Field, R. International Dentistry - African Edition. 2017; 7(6): 72-78.

11. Kozlowski, J., Estes, M. Getting the perfect photo. Orthodontic Products. 2014; 22-25.

12. Glassgold, M. How the ring flash changed dental photography. Journal of Cosmetic Dentistry. 2013; 29(1): 10.

13. Yoshinaga, L. The use of teledentistry for remote learning applications. Practical Procedures and Aesthetic Dentistry. 2001; 13(4): 327-328.

14. Bradley, M., Black, P., Nobel, S., Thompson, R., Lamey, PJ. Application of teledentistry in oral medicine in a community dental service, N. Ireland. British Dental Journal. 2010; 209(8): 399-404.

15. Aziz, SR., Ziccardi, VB. Telemedicine using smartphones for oral and maxillofacial surgery consultation, communication, and treatment planning. Journal of Oral and Maxillofacial Surgery. 2009; 67(11): 505-509.

16. Brullmann, D., Schmidtmann, I., Warzecha, K., d'Hoedt, B. Recognition of root canal orifices at distance - a preliminary study of teledentistry. Journal of Telemedicine and Telecare. 2011; 17(3): 154-157.

17. Ignatius, E., Perala, S., Makela, K. Use of videoconferencing for consultation in dental prosthetics and oral rehabilitation.  Journal of Telemedicine and Telecare. 2010; 16(8): 467-470.

18. Rocca, MA., Kudryk, VL., Pajak, JC., Morris, T. The evolution of a teledentistry system within the department of defense. Proceedings. AMIA Symposium. 1999: 921-924.

19. Kopycka-Kedzierawski, DT., Bell, CH., Billings, RJ. Prevalence of dental caries in early head start children as diagnosed using teledentistry. Pediatric Dentistry. 2008; 30(4): 329-333.

20. Berndt, J., Leone, P., King, G. Using teledentistry to provide interceptive orthodontic services to disadvantaged children. American Journal of Orthodontics and Dentofacial Orthopedics. 2008; 134(5): 700-706.

21. Summerfelt, FF. Teledentistry-assisted, affiliated practice for dental hygienists: an innovative oral health workforce model. Journal of Dental Education. 2011; 75(6): 733-742.

22. Pace Brinker, S. HIPAA compliance and digital photography with personal mobile devices. Dental Products Report. 2015; 49(1): 76-80.

23. Dumestre, DO., Frankie, OG. Balancing the need for clinical photography with patient privacy issues: the search for a secure smartphone application to take and store clinical photographs. Plastic Surgery. 2017; 25(4): 255-260.

24. Landman, A., Ermani, S., Carlile, N., Rosenthal, D., Semakov, S., Pallin, DJ., Poon, EG. A mobile app for securely capturing and transferring clinical images to the electronic health record: description and preliminary usability study. JMIR mHealth uHealth. 2015; 3(1): e1.

25. Olawoye, OA. Clinical photography and video recordings in plastic surgery: beyond patient autonomy and informed consent. Nigerian Journal of Plastic Surgery. 2018; 14(1): 15-16.

26. Morgan G. Protecting the Patient, Application of HIPAA/PCI in Dentistry. National Association of Dental Laboratories Web site. https://dentallabs.org/protecting-the-patient-application-of-hippa-pci-in-dentistry. Published April 5, 2018. Accessed May 16, 2019. 

Fig 1. Interchangeable lenses of DSLR cameras allow for various focal lengths, creative depth of field, and endless possibilities. DSLR cameras also possess a modular lighting system and enhanced subject illumination.

Figure 1

Fig 2. Originally developed for dental photography, the ring-flash produces focused light throughout the dark recesses of the oral cavity.

Figure 2

Fig 3. Manual adjustment mode can aid intraoral photography, but it requires a focused external light source.

Figure 3

Fig 4. Left: This intraoral photograph taken with only a smartphone shows image distortion and poor color rendering. Right: This intraoral photograph was taken with a DSLR camera with an external flash and is much higher quality.

Figure 4

Fig 5. The exposure diamond represents an addendum and prioritization of external artificial light sources (EALSs) to the field of dental photography.

Figure 5

Fig 6. Three of the most popular external artificial light source (EALS) devices: COCO Lux, MDP, and SDL.

Figure 6

Fig 7. The SDL demonstrates ease-of-use with one-handed control.

Figure 7

Fig 8. COCO Lux offers special features, including battery replacement.

Figure 8

Fig 9. MDP features a tripod mount for stabilized video recording.

Figure 9

Fig 10. COCO Lux is used here for routine daily case documentation, providing light to the second molar region.

Figure 10

Fig 11. Esthetic treatment planning for a patient presenting for veneers is aided by the use of the SDL for photos taken by a dental assistant.

Figure 11

Fig 12. Specialist case documentation, such as for orthodontics, can utilize smartphone photography, such as this image taken with MDP.

Figure 12

Fig 13. COCO Lux is used here for emergency treatment, blunt force trauma to the right lateral incisor.

Figure 13

Fig 14. Specialist referrals can also be aided by clear photographs. In this case, an image captured using COCO Lux shows the exposure of implant threads and ulcerations under the prosthesis at 2 years.

Figure 14

Fig 15. Smartphone dental photography can also be used in laboratory shade communication. In these images taken using MDP, the photo on the left shows value selection, while the one on the right shows chroma/hue selection.

Figure 15

Fig 16. Polarizing light filter attachments are available for several dental smartphone EALSs, such as the MDP (left) and COCO Lux (right).

Figure 16

Fig 17. Polarized shade photography is possible using the smartphone; this image was captured using MDP.

Figure 17

Fig 18. These product images for marketing are taken using SDL.

Figure 18

Fig 19. In this example, MDP is used for this artistic, “off-label”  smartphone photography.

Figure 19

Fig 20. Smartphone camera attachments, such as the use of a Moment macro lens (Moment Inc.; shopmoment.com) here with MDP, can help add even more depth and clarity to photographs.

Figure 20

Fig 21. Smartphone camera attachments, such as the use of a Moment macro lens (Moment Inc.; shopmoment.com) here with MDP, can help add even more depth and clarity to photographs.

Figure 21

Fig 22. Smartphone apps such as PicSafe® can help dental professionals ensure that any images they share are HIPAA-compliant.

Figure 22

CREDITS: 0
AGD CODE: 138 - Dental Photography
COST: $0
PROVIDER: Conexiant Education
SOURCE: Inside Dental Technology | September 2019

Learning Objectives:

  • List the advantages of DSLR photography and smartphone photography in dentistry.
  • Identify technologies that are enabling the use of smartphone cameras for dental photography.
  • Recognize the potential privacy and information security issues around the use of patient photographs.

Disclosures:

The author reports no conflicts of interest associated with this work.

Queries for the author may be directed to justin.romano@broadcastmed.com.