Communication and Collaboration

Christopher Silvoy, DMD; Grady Dix

December 2017 RN - Expires Thursday, December 31st, 2020

Inside Dental Technology

Abstract

Early chairside CAD/CAM systems set down strict rules regarding the laboratory technician and the clinical team, generally ignoring the strengths of either team. Better, more flexible dentist/laboratory collaboration creates opportunities for better results and positive outcomes for our patients. The dentalshare network from exocad—an existing open-architecture system—allows collaboration between dentists and remote dental technicians, which benefits patients and practices.

You must be signed in to read the rest of this article.

Login Sign Up

Registration on CDEWorld is free. You may also login to CDEWorld with your DentalAegis.com account.

Improving communication between the dental clinic and the dental laboratory is a topic of great concern to professionals in the industry. Both dentists and laboratory technicians have frustrations regarding communication—or the lack thereof. This is why enhancing the communication capabilities of dental teams is so important and can make such a big impact on outcomes and patient satisfaction. The process described below is an example of how a complex case can be collaborated upon and finished very quickly using dentalshare™ by exocad as part of a digital workflow.

Case Report

The female patient presented with five implants placed in the maxilla and was wearing a temporary implant-retained appliance. She desired a fixed appliance, but was unsure what she needed in terms of materials. Using a desktop scanner, the dentist took abutment-level impressions, poured, and mounted the models in an Artex articulator (for accurate articulation and facebow positioning) (Amann Girrbach; amanngirrbach.us).

Everything, including the current temporary appliance, was scanned and the case then sent—or “dentalshared”—to the laboratory, Sunwalt Dental Works, Inc. The technician simply loaded the case, looked carefully at the scans, and contacted the dentist to discuss materials, at which point they agreed that zirconia would be appropriate for the final restoration. The screw-retained bridge was designed using the temporary appliance as the esthetic guide (Figure 1). Then the case was returned to the dentist for approval or changes.

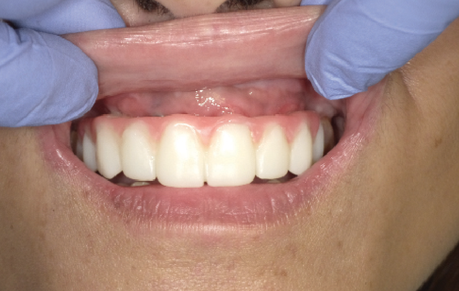
After seeing the technician's note in an email, the dentist was able to easily review the whole design in 3D using dentalshare. If needed, changes could have also been made to the occlusion or symmetry. However, since the laboratory specialized in that type of implant construction, the gingival design allowing access for hygiene was reviewed and easily approved without needing any design adjustments. A temporary acrylic version of the final restoration was milled (Figure 2). Within only a few hours, the temporary acrylic bridge was delivered, and the patient was enthusiastic about the results.

The most exciting part of the process was that the laboratory technician never touched a model or had to rely on shipping. Most importantly, the patient received a very high-quality, professionally designed appliance in very short order (Figure 3). The total case planning time, from client presentation to final temporary prosthetic, was just 3 days.

Collaboration, Enhanced

Communication is defined as “a process by which information is exchanged between individuals through a common system of symbols, signs, or behavior.” However, communication must also be clear in order for the recipient to understand the information the sender wants to share. Some examples of a dentist's communication to a laboratory might be things such as “e.max crown #19 shade a3” or “not enough occlusal space; please reduce opposing where marked” scribbled in the margin of a laboratory order. Such brief and cryptic language is not conducive to fully understanding the needs of a patient.

Similarly, poor communication hinders collaboration. Collaboration is defined as “working jointly with others or together, especially in an intellectual endeavor.” This is the relationship dentists and dental technicians should have. Successful teamwork can be aided by developments in digital dental technology, providing better treatment outcomes for patients.

For the dental laboratory technician, the growing chairside milling market may seem threatening to the dental laboratory business model. In reality, the explosion of the intraoral scanner (IOS) in the dental CAD/CAM market creates new opportunities for business growth via greater production efficiency, expanded services, and expansion of the client base. Scanners from Align (itero.com), Carestream (carestream.com), GC (gcamerica.com), 3M (3m.com), 3Shape (3shape.com), Condor (condorscan.com), and others on the horizon all offer open output for the dentist and the ability to work with any open-architecture CAD/CAM system.

So, how does this relate to communication and collaboration? First of all, indirect procedures are done much faster. Analysis of occlusal reduction, margin quality, material choice, design parameters—all of these things can be analyzed collaboratively, remotely. There are no physical impression materials. Because the IOS creates models as it scans, dentists see the same model the laboratory sees. All team members view the case on the screen and can see issues before they become problems.

DentalCAD from exocad provides the common platform to share cases between the dental clinic and the dental laboratory. Many laboratories use exocad's DentalCAD platform because it's simple, fast, and stable, and it easily accepts large 3D data sets from virtually all open sources. The latest ChairsideCAD version of exocad supports open chairside IOSs, impression scanners, and in-clinic milling and 3D printing solutions. With a few clicks, the completely free dentalshare network allows exocad users to send and receive their CAD/CAM data anywhere in the world, to nearly any laboratory or milling center they choose. Once the connection between the dental clinic and the laboratory is made (by email), the transfer of case data is limited only by the speed of the connection on either side, typically 1 to 2 minutes. Once the transfer completes, a very quick and efficient collaborative exchange can take place.

Imagine what exocad and dentalshare could do for your collaborations.

About the Authors

Christopher Silvoy, DMD
Owner
Better Dentistry
Raleigh, NC

Grady Dix
Owner
Sunwalt Dental Works, Inc.
Asheboro, NC

Fig 1. Screenshot of design.

Figure 1

Fig 2. Presenting case.

Figure 2

Fig 3. Final case.

Figure 3

CREDITS: 0
AGD CODE: 250 - Operative (Restorative) Dentistry
COST: $0
PROVIDER: Conexiant Education
SOURCE: Inside Dental Technology | December 2017
COMMERCIAL SUPPORTER: exocad

Learning Objectives:

  • Learn the definitions of communication and collaboration
  • Walk through a complex case and see collaborative efforts working to benefit the patient
  • Understand the benefits of exocad's premier open-architecture software collaboration tool, dentalshare™

Disclosures:

The author reports no conflicts of interest associated with this work.

Queries for the author may be directed to justin.romano@broadcastmed.com.