Materials and Process for Transitional Restoration Production

Brian Lindke, CDT; Rob E. Sable, DDS, FAGD

December 2017 RN - Expires Thursday, December 31st, 2020

Inside Dental Technology

Abstract

In the challenging case of a 63-year-old male, a long-term transitional restoration was implemented for quality and esthetics, as well as flexibility for future treatment. The treatment plan included elective root canal treatment and cast post and cores for teeth Nos. 7 to 10. Onlays, seven or eight crowns, and full crowns were planned to restore the maxillary dentition. Shofu Block & Disk HC was chosen for the prosthetic material.

You must be signed in to read the rest of this article.

Login Sign Up

Registration on CDEWorld is free. You may also login to CDEWorld with your DentalAegis.com account.

Transitional restorations allow patients to move forward in restoring their dentition with new flexibility in terms of treatment while maintaining the quality and esthetics of the case.

Case Study

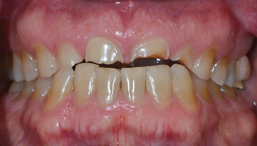
The patient was a 63-year-old male seeking a second opinion regarding restoring his mouth. He originally sought an opinion regarding extractions of his maxillary teeth and an all-on-four prosthesis. Upon examination, the patient had severe erosion of his teeth, especially the upper anteriors. Some teeth only had 1 mm to 3 mm of visible tooth structure. The lingual side had the most erosion. Additionally, there was some compensatory supra-eruption of the lower anterior teeth. The lower posterior teeth had occlusal and facial erosion. The upper posterior teeth were fracturing and wearing down. There was no anterior guidance. There was 3 mm to 4 mm probing of his periodontium and good bone support for his teeth.

Clinical Procedure

Diagnostic models were taken and the existing plane of occlusion was captured with the Kois Dento-Facial Analyzer (Panadent; panadent.com) and a CR bite and sent to VIVIDX Laboratory. The treatment plan included elective root canal treatment and cast post and cores for teeth Nos. 7 to 10. Onlays, seven or eight crowns, and full crowns were planned to restore the maxillary dentition. An Essix (Colgate; colgate.com) retainer was made from the original design to establish the new vertical dimension and relined with composite to obtain anterior esthetics. This was used as a temporary restoration after minimal preparation and impression of the maxillary teeth.

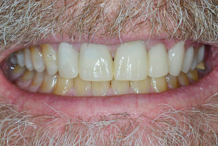
The cast post and cores were fabricated along with the transitional restorations for all maxillary teeth. Cast post and cores were cemented and all onlays and crowns were bonded in. Occlusion was checked with only minor adjustments necessary. Anterior guidance was reestablished.

Laboratory Procedure

Impressions, bite registration, and images were received in the laboratory and stone casts were poured and mounted on a Panadent articulator with the Kois Dento-Facial Analyzer. Casts were scanned in the Ceramill Map400 (Amann Girrbach, amanngirrbach.us) and a digital design was created with Ceramill Mind software (Amann Girrbach) to open the vertical dimension 2.5 mm to restore the anterior teeth to proper length, form, and function. The design was emailed to the dentist as a 3D PDF for preview and immediate confirmation.

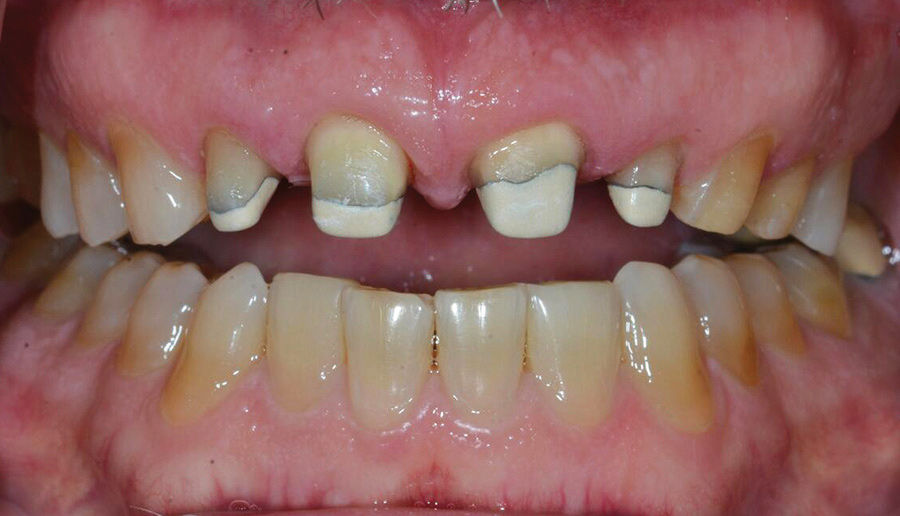
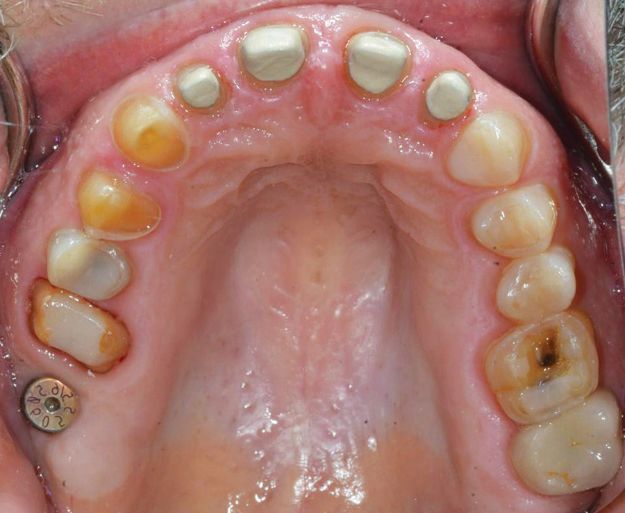
Cast post and cores were fabricated on the stone casts with Noritake opaque applied to the outer surfaces to block the metal. The maxillary master cast was re-scanned with cast posts seated on a model and merged with the original design.

Transitional restorations function as a means of stabilizing the occlusion and transitioning the patient into medium- to long-range treatment options. Therefore, a strong, durable, and esthetic material is of utmost importance.

The laboratory utilized Shofu HC material (shofu.com) because it meets all the requirements of long-term transitional provisionalization.

Highly filled with zirconium silicate, densely-packed nanofillers of Block HC form a strong yet flexible skeleton which uniformly absorbs stress attributed to masticatory forces and promotes resistance to breakdown phenomena. Indicated for anterior and posterior full-contour crowns, inlays, onlays, and veneers, Shofu's CAD/CAM block does not require firing, baking, or sintering, and it can be swiftly finished, polished, and adjusted.

Compared to other CAD/CAM materials, Block HC demonstrates better machinability in terms of milling time, damage tolerance, wear on CAD/CAM instruments, and the ability to be milled to a very low thickness. Other benefits include very fast and precise milling, wet or dry; force-absorbing formulation; high wear resistance; imperviousness to stains and discoloration; easy polishing to a natural sheen; and toothlike esthetics and functionality.

After milling in the Amann Girrbach Ceramill Motion 2 is completed, the restorations were seated on the master cast to verify contacts and occlusion.

All restoration margins were thinned down and anterior shapes were finalized and texturized.

Polishing of all restorations was carried out utilizing Komet composite polishing wheels (kometusa.com) and a final luster was applied via a Robinson wheel and Cosmedent Enamelize composite polishing paste (cosmedent.com).

Conclusion

A transitional restoration has many advantages for the patient. It allows for the patient to phase in treatment according to their budget over an extended period of time while maintaining the quality of the restoration, including durability and esthetics. Additionally, the patient can be monitored throughout the transitional phase for necessary modifications during treatment.

Traditionally dentists and technicians have benefited from the analog diagnostic wax-up to plan treatment and develop a workflow in an analog process. The digital design allows the laboratory to fabricate the final restorations from file. Significant time is saved while assuring that esthetics, form, and function are maintained throughout the entire process from initial design to final restorations.

This digital workflow produces a more consistent result than the traditional analog technique, as everything is built from the original design with less individual interpretation from any one technician in the process.

About the Authors

Brian Lindke, CDT
Co-owner
VIVIDX Laboratory
Buford, GA

Rob E. Sable, DDS, FAGD
Private Practice
Alpharetta, GA

Disclosure:This article was provided by Shofu.

Fig 1. Pre-operative condition.

Figure 1

Fig 2. Cast post and opaqued cores.

Figure 2

Fig 3. Occlusal view with posts inserted.

Figure 3

Fig 4. Digital design image.

Figure 4

Fig 5. Close-up seated on the model.

Figure 5

Fig 6. Close-up immediately after insertion.

Figure 6

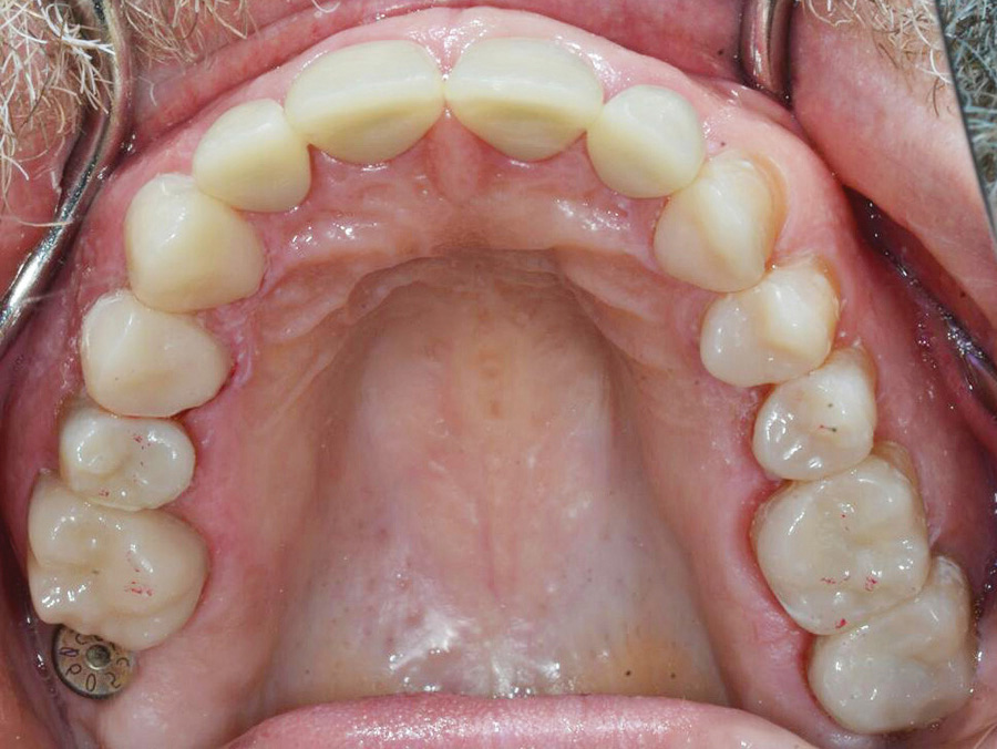
Fig 7. Occlusal view on immediate insertion.

Figure 7

CREDITS: 0
AGD CODE: 250 - Operative (Restorative) Dentistry
COST: $0
PROVIDER: Conexiant Education
SOURCE: Inside Dental Technology | December 2017
COMMERCIAL SUPPORTER: Shofu

Learning Objectives:

  • Identify how transitional restorations ease the patient into medium- to long-range treatment options
  • Recognize the benefits of Shofu Block & Disk HC hybrid composite material for provisionals
  • See the successful implementation of digital workflow process

Disclosures:

The author reports no conflicts of interest associated with this work.

Queries for the author may be directed to justin.romano@broadcastmed.com.