The Keystone of Success: Dental Technicians and the Restorative Dental Team on Implant Cases

William Baum, MDT, CDT

September 2017 RN - Expires Thursday, December 31st, 2020

Inside Dental Technology

Abstract

Today’s dental technicians are called upon more than ever to provide support, advice, and guidance to all levels of dentists. Dentists are faced with many decisions in their careers, and they realize that that they need to develop a trusted team with many other professionals to assist with these challenges. Having a well-trained, talented, and experienced dental technician as part of the dental team is paramount to a successful contemporary dental practice. This concept is nowhere more evident than in implant prosthetics. From implant planning to building esthetic, functional, and durable restorations, the dental technician must be an integral part of the team to achieve the best possible results.

You must be signed in to read the rest of this article.

Login Sign Up

Registration on CDEWorld is free. You may also login to CDEWorld with your DentalAegis.com account.

Implant prosthodontics are the most demanding type of restoration in the modern dental laboratory. Complexities involving implant placement, component compatibility, and terminology between various systems are only the beginning. We, as the master dental technicians, are depended upon to provide support to the restorative dentist involving materials and components and must stay current on all systems and processes. We need to be able to competently evaluate each phase of the restorative process and the information that the clinician is providing. We should have good understanding of various designs and be able to visualize the treatment sequence in order to properly proceed through complex restorations.

When restoring natural teeth, there are certain limits or boundaries—that is, the tooth itself must be respected. The dental team can consider orthodontic movement, crown lengthening procedures, or endodontic therapy to alter these boundaries, but there are still limits. Planning implant prosthodontics, while limitations still exist, is creating the foundation analogous to the foundation of a building. It needs to be appropriate to support the restoration type and in the right position for each case. In the early days of implant dentistry, much of the concern was to be able to provide something to support a prosthetic tooth; now, however, it needs to be much better. Proper planning early in the development of the treatment is necessary to determine any necessary compromises that might prevent ideal implant placement.

Communication and Clarification

The laboratory needs to assess the implant restoration case upon receipt. An experienced and knowledgeable technician should evaluate the casts, impressions, components, and instructions coming from the dentist. The technician will prepare the appropriate casts and mount on an instrument sufficient to the needs of the case. It must be understood and agreed upon exactly what the dentist is expecting back for the next patient visit, as well as what the esthetic and functional end goals are. Some of the areas assessed include which teeth are being replaced, what type of restoration the dentist is requesting, and which steps in the process are planned at the current stage.

After being sure the laboratory fully understands what the dentist is requesting and expecting, the master dental technician should consider the feasibility of the dentist’s request. Any concerns must be discussed with the dentist. There are many factors to consider, depending on how extensive the case is. These can include:

• Are diagnostic wax-ups needed?
• Are there any natural teeth or abutments existing? If so, how will the implant-borne restoration interplay with them and how will treatment be sequenced?
• What type of occlusion will be developed? Has the clinician properly diagnosed the current occlusion, as well as provided the proper centric relation and vertical dimension?
• Are the provided impressions and cast adequate for the current phase?
• Are all of the correct components provided?
• Is there complete information on the implant type and size?
• Will radiographic and/or surgical stents be employed?
• What provisional solution is being utilized?
• What restorative material will be used?
• Which is being planned: screw or cement retention?
• Will transmucosal abutments be employed?
• How will the emergence profile be developed?
• Will multiple units be segmented or splinted?
• If splinting, will they be initially splinted or subsequently soldered?

Failing to consider all relevant aspects of an implant case entering the laboratory’s realm of responsibility can lead to problems for the entire restorative team. If a dentist relies on the laboratory’s knowledge and expertise and the case does not progress to success, everyone loses.

Wax-ups and Provisionals

A diagnostic wax-up (Figure 1) should be the first thought when beginning any non-confirmative restoration, as it becomes a 3-dimensional guide of the team’s working hypothesis of the proposed restoration. Ideally, diagnostic wax-ups should be done prior to any implant placement and in the early stage after patient commitment. Whether the dentist or the laboratory technician creates the wax-ups, the same information is required. First, accurate impressions are needed to capture all anatomical landmarks and the palate, extending into the mucolabial/mucobuccal folds. The team also needs facebow records, photographs, and accurate jaw relation records at a selected vertical dimension of occlusion. Any planned or prospective adjunctive therapy should be communicated to the technician and considered along with patient desires and esthetic goals. If implant placement sites have been determined, this should also be communicated when creating the wax-up. There also need to be goals for the desired occlusal function for this patient, taking into consideration classification, health of natural abutments, and implant sites. The dentist should communicate which teeth should provide anterior guidance and an idea of incisal length. A complete wax-up can be used to create radiographic and surgical stents (Figure 2), matrices and guides for provisional restorations, and preparation and custom abutment guides.

Provisional restorations are best developed using the diagnostic wax-up. Screw retention of the provisional (Figure 3) is most often preferred, regardless of screw channel trajectory or design of definitive prosthetics, due to the elimination of cement and more predictable stability (Figure 4). There are various modalities to fabricate these, both in the laboratory and intraorally. Whichever manufacturing process is utilized, the resultant provisional restorations should be strong, functional, esthetic, and repairable. The provisional should also be used to develop the soft tissue contours. With proper consideration of the emergence profile at this phase, the dentist can improve esthetic results and simplify try-in and final delivery of the prosthetics. The period of time between provisional delivery and fabrication of definitive work should be used to evaluate the provisional. The dentist should modify them until they and the patient are pleased. A cast is then made along with photographs of the now-approved provisionals to be used as the guide for the definitive work.

Impressions

When moving to the next treatment phase, the definitive phase, there are again specific laboratory requirements. First impressions and casts should be accurate and bubble and anomaly free. Whether an open or closed tray is employed, the implant components should have a definite seat and be snugly indexed into the impression. Although the employment of sectional or full arch impressions is at the dentist’s discretion, the laboratory should be in agreement that the resultant cast will communicate enough information to successfully complete the work intended. The laboratory must be able to check that all components have been properly oriented on the implants at the time of the impression procedure. There can be situations where an impression coping has been inadvertently inverted and screwed into the implant. Technicians should be knowledgeable when looking carefully at the impression for any concerning anomalies (Figure 5). Radiographs can also be helpful at this phase; a simple periapical image can be useful to detect mis-seating of components. This is why it is paramount to understand the familiarity of how the components should be seen radiographically when properly connected. It is also helpful to understand that the image can be affected by the angle at which the radiograph is taken.

Next, the dental technician must be certain that they have the correct impression components and laboratory analogs (Figure 6 and Figure 7). This is best verified by being certain that the dentist has included written documentation of the implant being restored. This information should indicate the implant manufacturer, size, and corresponding tooth number. The master dental technician must be familiar with the components used in the impression and be able to confirm that the dentist has sent accurate components. Often, there can be confusion when various implant sizes and manufacturers are used in the same arch. Corroborating the information the dentist provided with the components he or she used in the impression also requires careful attention.

Screw Retention vs Cement Retention

In the early days of implants, everything was screw retained; still, it was very different. As things progressed, there was a move to cement everything—possibly because the implant manufacturers wanted to show the similarly between implant dentistry and conventional dentistry. Today, there has been a move back toward screw retention for many reasons. While this too is the dentist’s decision, they often consult with their laboratory technician on this issue. The first consideration is the trajectory of the screw access channel. If it exits through an unacceptable area, screw retention becomes more complex, if at all possible. It is possible to utilize a multi-unit abutment or create a custom abutment with a secondary screw (Figure 8 and Figure 9), but all of this adds complexity and cost. This is one of the many aspects of implant dentistry which benefits from pre-planning. If the dentist placing the implant is aware that screw retention is desired, planning using CT scans help determine prior to placement if it is possible. Some benefits of screw-retained restorations are retrievability, lack of post-delivery issues due to residual subgingival cement, and simpler try-in and delivery. Among the concerns related to screw-retained fixed partial dentures, as well as single-tooth restorations, are reduced esthetics on the occlusal surfaces, as well as likely reduction in occlusal contact area due to the screw access hole (Figure 10). A cement-retained restoration has the benefit of more closely resembling natural tooth-supported dentistry. Either pre-manufactured or custom (patient specific) abutments are used to support crowns and fixed partial dentures (Figure 11). While this design can seem preferred, it may not always be the case due to residual cement removal, as well as unpredictable retrievability. Also, consider the available proximal space. An implant that is close to a natural tooth has only so much space between the inner surface of the access channel and the adjacent tooth. Planning a cemented restoration requires an abutment and a crown, each with its own minimal thickness requirement. Some other considerations are occlusal clearance, the depth in the soft tissue, the importance of retrievability, and the dentist’s ability to remove excess cement upon delivery.

Emergence Profile

Emergence profile is perhaps the most problematic factor, particularly in the esthetic zone. Often, the restoring dentist is presented an implant site with a healing abutment placed during Stage Two surgery. Whether implant placement was done by the same restoring clinician or by a different dentist, it is common to have a generic healing abutment in place at the time impressions are taken. This is a missed opportunity, in the author’s opinion, as considering soft tissue contour and emergence profile (EP) is easily done while Stage Two surgery is accomplished. There are multiple ways to achieve more ideal contours at this phase (Figure 12). In the posterior region, having a manufactured EP abutment available will create a generic wide symmetrical contour that’s usually sufficient. In the esthetic zone, use of custom healing abutments (Figure 13) or screw-retained provisionals may be more desirable as this will form the soft tissue into a more natural form. Whichever technique is employed, the dentist must communicate these contours to the technician by customizing the impression copings and informing them in the written instructions (Figure 14 and Figure 15). It should be noted that if the soft tissue emergence profile is not developed prior to impression procedure, it will need to be managed at time of try-in or delivery, which makes for less predictability and longer seating appointments. Another factor for the dentist to consider is cost. Although not every case requires the soft tissue to be surgically altered, some do at the time of placement. If the restorative dentist is not prepared for this procedure, there may be some issue with fees. Discussion should be had between restorative dentist and placing dentist as to who will do what on every case. When work needs to be done on the soft tissue at the time of placement that was not considered in the patient fee, there can arise an issue of compensation. Again, pre-planning can help circumvent this problem.

Splinting

On multi-unit cases, there needs to be thought on whether to splint or to keep as separate units. More often than not, splinting is necessary for both bridge construction and to improve space management. The most ideal implant placement can still leave room for improvement when building tooth contour from the implant foundation. Splinting enables the technician to shift contours from the implant’s prosthetic surface to a more ideal tooth position. For porcelain-fused-to-metal restorations, there are two options: initial try-in or solder index. When planning zirconia restorations, the prosthetics can only be manufactured in one piece. In either case, if the prosthetic splint is planned in one piece, an implant cast verification jig should be constructed. The requisite for this is that, first, it is completely rigid; this is of utmost importance. Next, it must not engage the implant indices, and it needs to be able to be modified chairside. The author accomplishes this by utilizing non-engaging metal temporary cylinders compatible with the implant being used. Attached to the cast made for the initial impression, the technician passively creates an acrylic splint utilizing light-cured record base material. This is more rigid than conventional PMMA acrylic. When this splint frame is properly polymerized but not connected to the temporary cylinders, the technician then attaches two to three implant components to one side of the arch and allow complete setting, then repeats this to attach the remaining implant temporary cylinders. The attempt is to minimize the amount of setting distortion of the plastic materials and thus have a more accurate appliance (Figure 16). If, upon clinical verification, sectioning and intraoral luting is necessary, the cast will be altered, re-positioning the offending implant analogs.

By now, accurate and verified casts are mounted on the proper instrument at a selected vertical dimension of occlusion. The diagnostic wax-up and a cast of an approved set of provisionals are also cross-mounted on the same instrument, along with photographs and detailed guidelines from the dentist. Restorative materials should have already been discussed; however, now is the time to make a final decision on this. The laboratory is often consulted as to the benefits of each material, but ultimately the dentist should decide. Take care and pay attention when fabricating the final restoration in order to provide the patient with the highest quality, most esthetic result possible.

Conclusion

Being part of a restorative dental team can be extremely rewarding; when implants are involved, it is even more so. The vast number of components, materials, and options require all to be thoroughly knowledgeable and to continually stay educated on new developments. The prosthodontist or restorative dentist should carefully evaluate their chosen team—especially their laboratory—when relying on their expertise on these complex restorative cases.

The author would like to acknowledge Dr. Joseph Fusco of Rockville Center, NY, and Dr. Daniel D.  Gober of Cedarhurst, NY, for providing Figure 12 and Figure 13.

About the Author

William Baum, MDT, CDT
Owner
Baum Dental Studio, Inc.
Lindenhurst, New York
Instructor
NYU School of Dentistry
Department of Prosthodontics

Fig 1. Full mouth diagnostic wax-up.

Figure 1

Fig 2. Radiographic implant stent.

Figure 2

Fig 3. Screw-retained provisional restoration.

Figure 3

Fig 4. Screw-retained provisional with less-than-favorable screw access trajectory.

Figure 4

Fig 5. Implant-level impression with defect.

Figure 5

Fig 6. Implant-level impression with multiple implant types/sizes.

Figure 6

Fig 7. Modification of laboratory analogs to permit accurate cast.

Figure 7

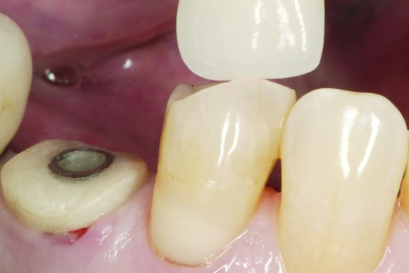
Fig 8. Implant-supported FPD with tapped secondary screw.

Figure 8

Fig 9. Custom abutment with tapped secondary screw.

Figure 9

Fig 10. Screw-retained fixed partial denture.

Figure 10

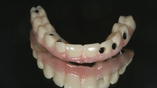
Fig 11. Custom abutments with full arch restoration.

Figure 11

Fig 12. Soft tissue with emergence profile developed.

Figure 12

Fig 13. Intraoral view of custom healing abutment.

Figure 13

Fig 14. Impression communicating soft tissue contour.

Figure 14

Fig 15. Modified impression component communicating soft tissue contour.

Figure 15

Fig 16. Implant verification jig.

Figure 16

CREDITS: 0
AGD CODE: 610 - Fixed Prosthodontics
COST: $0
PROVIDER: Conexiant Education
SOURCE: Inside Dental Technology | September 2017

Learning Objectives:

  • Identify a number of factors the laboratory needs to fully understand what the dentist is requesting and expecting.
  • Explain why screw-retained implants are making a comeback in place of cement-retained prosthodontics.
  • Discuss approaches to successfully address emergence profile.
  • Understand the pros and cons of splinting.

Disclosures:

The author reports no conflicts of interest associated with this work.

Queries for the author may be directed to justin.romano@broadcastmed.com.