Treatment of a Traumatic Oral Injury: A Personal Account (Part 2)

Kyle Swan, CDT; and Matthew Miller, DDS

August 2015 Issue - Expires Friday, August 31st, 2018

Inside Dental Technology

Abstract

One of the authors of this article, who is a certified dental technician and laboratory owner, recounts a serious accident in which his heart stopped beating and he fell face forward, breaking teeth in the process. He and his coauthor, a dentist, describe the treatment plan, which included orthodontia and significant restoration for his anterior dentition. The article describes the situation and the considerations involved in creating a treatment plan.

You must be signed in to read the rest of this article.

Login Sign Up

Registration on CDEWorld is free. You may also login to CDEWorld with your DentalAegis.com account.

The July/August 2012 edition of Inside Dental Technology featured an account of a patient who had an accident while running a marathon (insidedentaltech.com/idt833). Well into the race, the man’s heart stopped beating mid-stride. He collapsed as if someone had flipped an “off switch,” and he fell on his face. The accident left him with several broken teeth in need of care (Figure 1). A hospital stay was necessary, with tests performed and specialists involved. The physicians discovered a heart issue, which was treated. Then, finally the damaged bone and teeth were addressed. A treatment plan was chosen, and soon implementation began.

Although certainly a major event for the patient, this was not an unusual case in the dental world. What made this different was that the patient was a dental laboratory technician—a ceramist and laboratory owner. And eventually, he would be making his own restorations. Unique challenges, pressures, and circumstances exist when working on one’s own case. The patient knew some in advance and discovered others in the process.

The dentist faced just as many challenges while treating the technician. He had the added pressure and scrutiny of working with a patient who knew a lot about dentistry (or at least thought he did) but was not a dentist. The patient encouraged a specific treatment plan and had high expectations for the outcome but was not the most compliant regarding home care.

Personal Journey

This is a personal journey that took several years, and the patient in question is the primary author of this article. This article is both a narrative and a technical account of the process. It describes not only the treatment of a patient who had a traumatic oral injury, but also the unique experiences and perspectives involved. The dentist who handled the case has contributed a clinical perspective. Dealing with both stubbornness and lack of compliance in a patient can be challenging, but it is heightened with a colleague of more than 20 years as the patient.

Orthodontics

The patient agreed that before restorative treatment would be performed, orthodontic treatment would be necessary.

After the initial healing from the accident and the composite repair of the Class III fractures, the dentist’s job was to envision what they wanted the case to look like when finished. The clinician noted diastemas between rotated maxillary incisors and crowded mandibular incisors with uneven incisal edges. He had found in his experience that one of the best tools for cosmetic dentistry was prerestorative orthodontics. Moving the anterior teeth back into the right position first greatly increased the chances of a beautiful esthetic outcome. At this point, convincing the patient that orthodontia should be the next step was not difficult.

The postaccident tooth position had left a significant diastema between the central incisors (Figure 2). Eighteen months of orthodontics were necessary to get the teeth in the best position for the restorative dentistry. The result was very favorable, especially considering that during treatment, tooth No. 7, which had been avulsed, picked up off the asphalt, and later re-implanted by the emergency-room physician, had ankylosed. Ankylosis was always a concern, and later tooth No. 10, which had been impacted and retrieved by the oral surgeon, ankylosed as well (Figure 3). Brackets were removed, and a mandibular lingual retainer was bonded in place. With the crowding and malalignment handled, the team discussed the possibility of resolving the lower chipping with composite. The next step would be to diagnostically wax up the case. However, the team then encountered a patient compliance issue.

The orthodontic experience had been a good one. The patient did not miss any appointments, wore the rubber bands, coped with soreness, engaged in the process, and committed to it. That all changed once the brackets were removed.

Having the brackets and wires removed felt liberating. The lingual retainer was bothersome and seemed like an unwanted regression. The patient found it frustrating to not be able to floss easily, and did not like the alien feel on the tongue. The orthodontist and his entire staff clearly stated that although the brackets had been removed, both removable and permanent retainers would be necessary for tooth-position stabilization.

As one might expect, lack of retainer compliance started some tooth movement. That movement, coupled with compression, caused the lingual retainer to pop off tooth No. 27. Instead of returning to the orthodontist’s office to have it put back in place, the patient used a wax carver to pry off the rest of the wire. At a subsequent cleaning appointment, the remaining lingual composite was removed and polished.

The dentist examined the patient during his hygiene appointment after the lingual retainer had been removed. The dentist removed the remaining composite from the lingual of his lower anterior teeth. At that time, they could see that the teeth had already begun to shift to their previous positions. It was a wakeup call to the entire team regarding how quickly these teeth could move without retention. The tooth movement created a less ideal restorative environment.

Diagnostic Wax-up and Periodontal Consult

A series of diagnostic photographs were taken for use when waxing up the case. Teeth Nos. 7 through 10 would be involved with some adjustment of the lower incisors to be performed chairside. Tooth No. 11 appeared to need to be involved to close the space evenly between the lateral and cuspid without making the lateral too big, which was noted by a periodontist.

One of the many restorative challenges of this case was the blunted papilla between teeth Nos. 9 and 10 due to the bone destroyed by violent tooth impaction (Figure 4). Expectations were that this would need to be handled restoratively, but that it warranted a consultation with periodontist Pat Allen, DDS.

Knowing that they were dealing with a difficult esthetic challenge in the blunted papilla between teeth Nos. 9 and 10, the dentist wanted to see if the periodontist could recommend a procedure to resurrect the papilla. The periodontist thought the best chance to match the tissue height of the adjacent papillae was through the skillful hands of a master dental technician.

After examination, the periodontist agreed that tissue grafting was not the solution for the area in question, but that it would need to be addressed with restorations. He mentioned that he thought the more challenging of the cosmetic issues would be the diastema between teeth Nos. 10 and 11. That caught his eye more than the lack of papilla (Figure 5) and verified the idea that this would be a 5-tooth solution.

The case was waxed accordingly. The central incisors were waxed larger and also lengthened with tooth display in mind. This was quite a departure from the pre-accident tooth shape and alignment (Figure 6). Midline correction and balance of symmetry/asymmetry were addressed as well. Because of the aforementioned ankylosis, the laterals were not exactly where they needed to be given the needed length-to-width ratio of the centrals. Therefore, the laterals were waxed to mimic a more distally inclined root position and axial inclination (Figure 7).

Bone Shard

Some of the issues trauma patients encounter after accidents are a bit surprising, such as feeling something sharp protruding from the gingiva. The patient in this case felt a small shard of bone (Figure 8). Almost 2 years after the accident, the sharp piece of broken bone had worked its way out. The patient called the dentist but later removed it himself.

The dentist said that while every case is different, the one constant is that something new always can be learned. The patient learned firsthand that the body, when placed in a proper healthy environment, can heal itself quickly. The injuries that his dentition and periodontium sustained from his accident healed faster than expected. Even the eventual appearance of the small bone fragment was a telling sign of the body’s healing capacity.

Crowns Versus Veneers

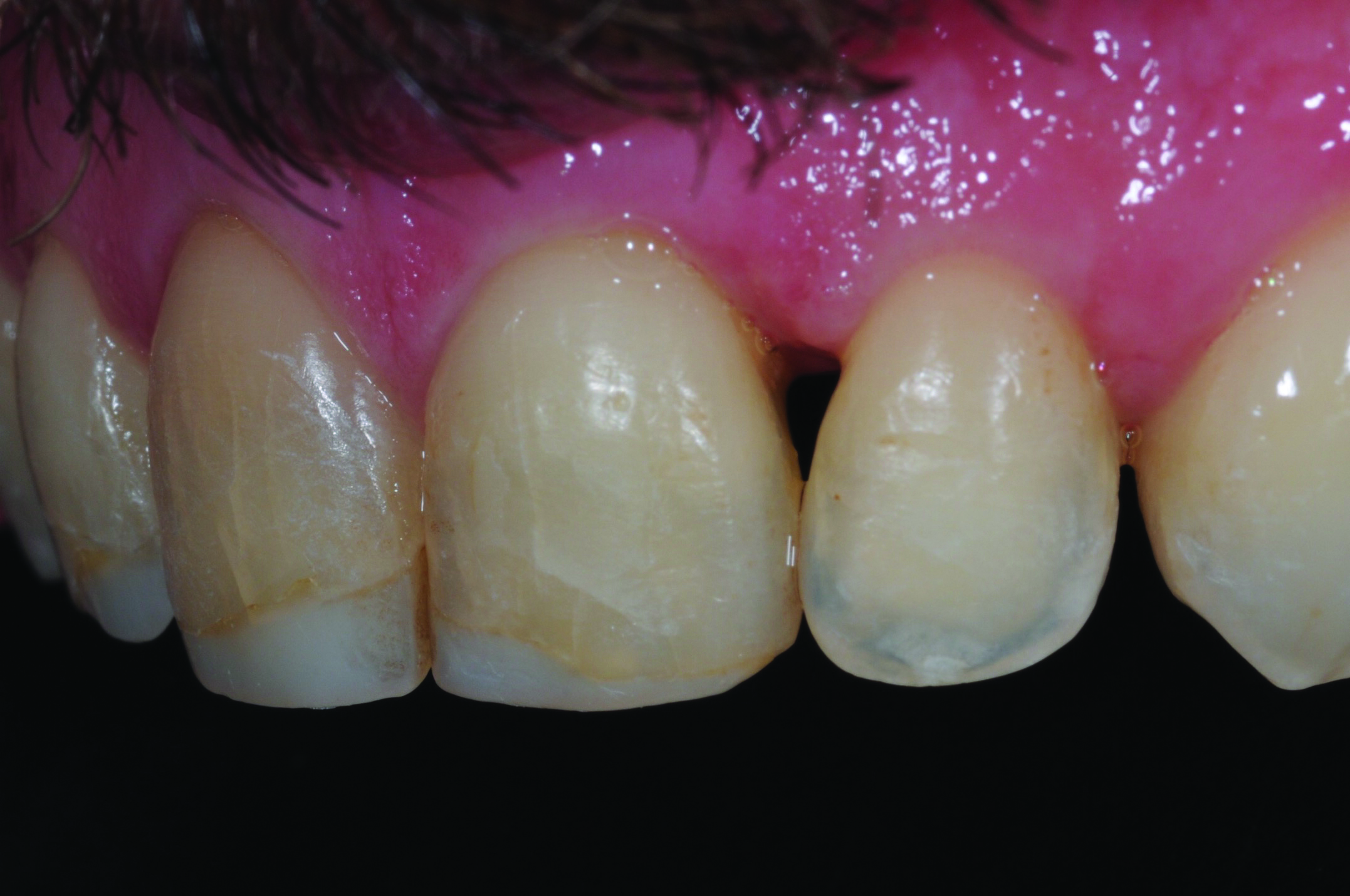
Starting with one of the earliest conversations regarding treatment in this case, a major sticking point in treatment direction had been whether to fabricate full crowns or veneers. Plenty of natural tooth structure remained, but all 4 maxillary incisors had been endodontically treated (Figure 9). Were the teeth compromised because of the root canals? Did the access holes need to be covered with the restorations? Would veneers be strong enough? Was there enough enamel for bonding? What would best cover the darkening teeth? The primary, or at least most vocal, advocate for full crowns was the dental assistant. She was concerned regarding the temporizing of veneer cases. In her experience, patients had a tough time with veneer provisionals and often broke them.

From the dentist’s perspective, most of the common-sense arguments seemed to point toward full-coverage restorations:

• Three of the 4 teeth had Class III fractures.
• All 4 teeth were endodontically treated, and the lingual access openings were filled with composite.
• Masking the darker shades of non-vital teeth by using veneers is difficult.

The dentist and patient attended a Seattle Study Club meeting featuring a lecture by Bob Margeas, DDS. The presentation addressed the issue of restoring endodontically treated broken incisors with adhesion dentistry, and the authors were able to discuss their quandary with Margeas after the presentation. He recalled favorable results achieved with veneers. The authors began leaning toward veneers after that conversation as well as discussions with other practitioners and a review of the book Bonded Porcelain Restorations in the Anterior Dentition: A Biometric Approach by Pascal Magne, Dr med dent, PhD. and Urs Belser, DMD, Prof Dr med dent. Ultimately, though, the deciding factor was that if the veneers didn’t work out, the patient, being a ceramist, could make crowns. It was determined that starting conservatively was the best approach.

The dentist observed that the patient’s main observation from Margeas’ presentation was that the instant a tooth is touched to prepare it for a full-coverage restoration, its strength decreases exponentially. Because longevity was also a prime concern, the treatment team knew that if they could maximally preserve the remaining enamel, bonding veneers to it would keep these teeth exponentially stronger than teeth that have been prepared for full-coverage crowns.

All I Want for Christmas

Due to other pressing issues and cases at the laboratory, the authors’ case was postponed repeatedly. It finally made its way to the top of the laboratory owner’s priorities in December. That month is typically the laboratory’s busiest, when there is no margin for error. The laboratory closes for the holidays, and clients want their cases back before that. Dentists have patients who want their teeth “fixed” by the end of the year.

The conclusion of this case will appear in a future edition of IDT.

About the Authors

Kyle Swan, CDT
Managing Partner/Owner
Functional Esthetics
Lewisville, Texas

Matthew Miller, DDS
Miller and Miller Dentistry
Plano, Texas

Fig 1. The accident left the patient with several broken teeth in need of care.

Figure 1

Fig 2. The postaccident tooth position had left a significant diastema between the central incisors.

Figure 2

Fig 3. Teeth Nos. 7 and 10 had ankylosed.

Figure 3

Fig 4. The blunted papilla was between teeth Nos. 9 and 10 due to the bone destroyed by violent tooth impaction.

Figure 4

Fig 5. The diastema noted between teeth Nos. 10 and 11.

Figure 5

Fig 6. The central incisors were waxed larger and also lengthened with tooth display in mind.

Figure 6

Fig 7. The laterals were waxed to mimic a more distally inclined root position and axial inclination.

Figure 7

Fig 8. The patient felt a small shard of bone.

Figure 8

Fig 9. Plenty of natural tooth structure remained, but all 4 maxillary incisors had been endodontically treated.

Figure 9

CREDITS: 0
AGD CODE: 250 - Operative (Restorative) Dentistry
COST: $0
PROVIDER: Conexiant Education
SOURCE: Inside Dental Technology | August 2015

Learning Objectives:

  • Identify the dental concerns of this case and the suggested treatments.
  • Describe how orthodontic treatment helped this patient.
  • Discuss the authors’ debate regarding veneers and crowns for this case.

Disclosures:

The author reports no conflicts of interest associated with this work.

Queries for the author may be directed to justin.romano@broadcastmed.com.