New Materials Present New Options for Shade Matching

Jedediah J. Archibald, CDT; John F. Archibald; William G. Christensen, DDS, MS; and Gordon J. Christensen, DDS, MSD, PhD

August 2015 Issue - Expires Friday, August 31st, 2018

Inside Dental Technology

Abstract

The fabrication of esthetic restorations requires a thorough understanding of the esthetics of natural teeth. When color masking is necessary in a thin veneer, the use of new materials can be helpful in achieving the desired outcome. This article will discuss the advantages of one new material in a case report.

You must be signed in to read the rest of this article.

Login Sign Up

Registration on CDEWorld is free. You may also login to CDEWorld with your DentalAegis.com account.

New materials and products continue to move the dental industry into unfamiliar territory. In order to be truly efficient and obtain the most from both the product and the dental team’s skills, the team needs to have a goal based on an understanding of the desired outcome.

Technicians may have needed 1.5 mm to hide a PFM framework in the past, but a more esthetic material does not need to be hidden in the same way. New materials offer opportunities for laboratories. Technicians now must find fundamentals and principles to navigate the use of these new materials and technologies.

Case Report

A young male patient presented with a request to improve the overall esthetics of his anterior teeth. The patient’s posterior tooth color and shape were deemed easy to restore to (Figure 1). No major space changes were required for the anterior arch, so the treatment team decided to proceed with a plan of 4 veneers on teeth Nos. 7 through 10.

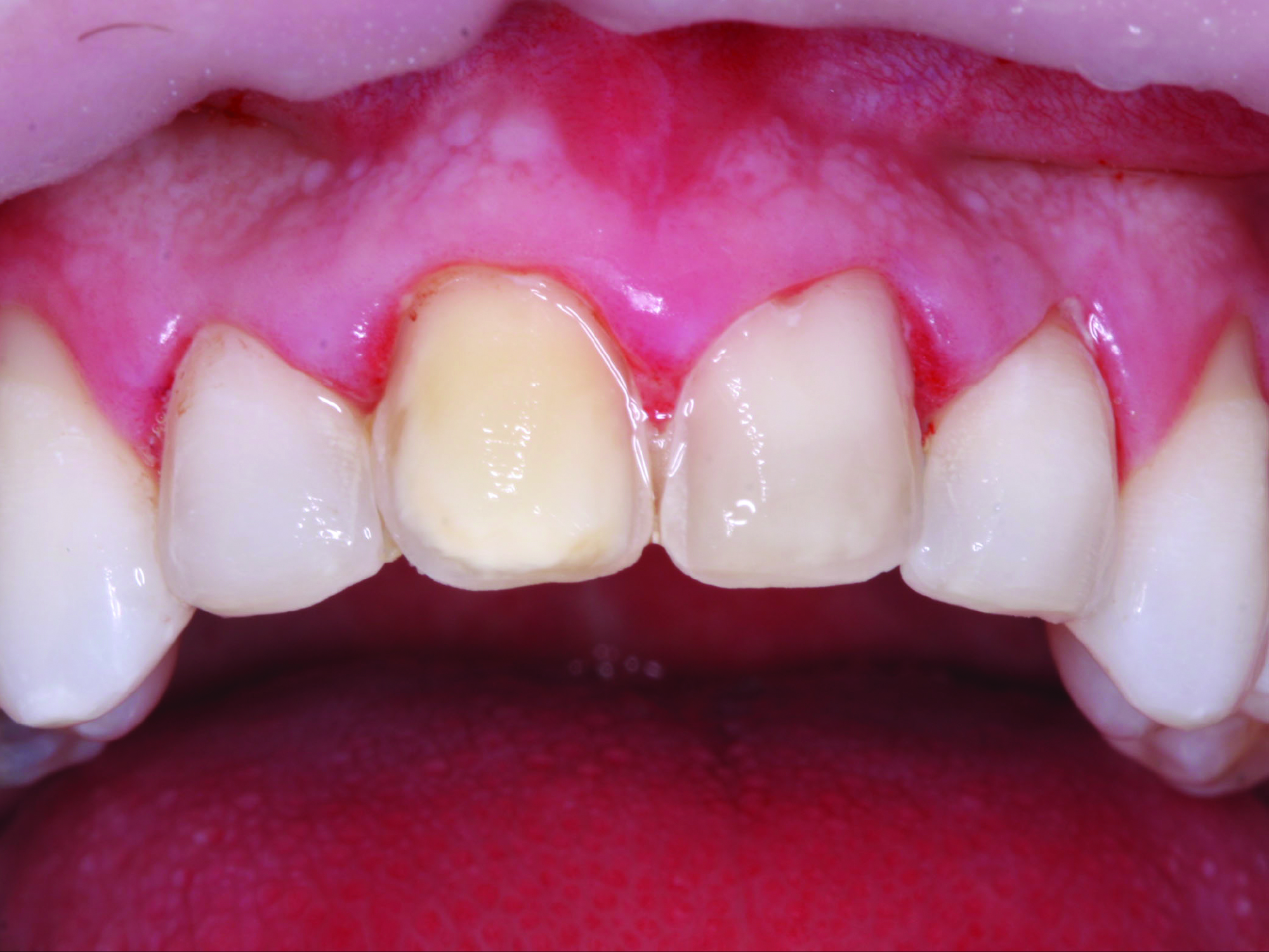
The request from the dentist was: “Please fabricate e.max veneers, very esthetic, lengthen 7 and 10, keep thickness to 0.6 mm.” When the patient was prepped (Figure 2), heavy discoloration of tooth No. 8 was discovered. Because of the need to color mask the underlying dark color of prepared tooth No. 8 and the need for the veneers to be very thin, the laboratory technician decided that IPS e.max® MT Press (Ivoclar Vivadent, ivoclarvivadent.com) would be a perfect fit.

Because IPS e.max MT is similar to the dentin layer of the tooth, in order to match natural dentition the technician needs only to come up with the difference of the enamel layer. Variables exist in the process, but typically only the last 0.5 mm to 1.0 mm of space is necessary to achieve the desired outcome. The substructure can be made thicker, thereby adding strength while saving time by not creating those sublayers in porcelain. In addition, the dentist can be less aggressive with prepping.

To eliminate the need for guesswork, a helpful practice is to create stump shades that mimic the color that needs to be masked (Figure 3). With the stump shades created, the technician can correctly test the material and thickness until the desired result is achieved.

In this case, the IPS e.max Press cores (0.3 mm) can be seen on the stumps (Figure 4). There was little need for reduction to achieve the necessary esthetics. With slight internal staining on the stumps, the technician was able to correct any minor differences and add some effects at the same time.

While the stain is still wet, it can be helpful to “dust” the crowns with an incisal effect (Figure 5). This method has been employed for years, and it derives more character from the effects, as well as great adhesion from the porcelain bake. In this case, the technician used the Transpa Clear from the IPS e.max Ceram porcelain kit (Ivoclar Vivadent). The result was a perfect substructure for the porcelain (Figure 6).

An overall thickness from 0.4 mm to 0.6 mm leaves very little room for porcelain. However, in this case, with IPS e.max MT, the color was masked on tooth No. 8 while remaining very esthetic, so the need for porcelain was far less. The fired crowns featured a minimal (0.3 mm) layer of porcelain (Figure 7).

Conclusion

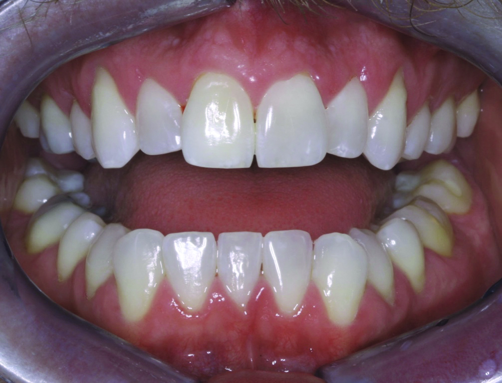
The technician was able to mask an underlying stump color without adding bulk and still offer a natural level of esthetics (Figure 8 and Figure 9).

Disclosure

This article was supplied by Ivoclar Vivadent.

About the Authors

Jedediah J. Archibald, CDT
Owner, Archibald Esthetics
Orem, Utah

John F. Archibald
Director of Education
Archibald and Associates
Orem, Utah

William G. Christensen, DDS, MS
Private practice
Orem, Utah

Gordon J. Christensen, DDS, MSD, PhD
Private practice
Provo, Utah
Founder, Clinicians Report

Fig 1. The patient’s tooth color and shape.

Figure 1

Fig 2. The patient is prepped.

Figure 2

Fig 3. Creating stump shades that mimic the color that needs to be masked.

Figure 3

Fig 4. The IPS e.max Press cores (0.3 mm) can be seen on the stumps.

Figure 4

Fig 5. While the stain is still wet, it can be helpful to “dust” the crowns with an incisal effect.

Figure 5

Fig 6. The substructure for the porcelain.

Figure 6

Fig 7. The fired crowns feature a minimal (0.6 mm) layer of porcelain.

Figure 7

Fig 8 The final result shows how the technician was able to mask an underlying stump color without adding bulk.

Figure 8

Fig 9. The final result shows how the technician was able to mask an underlying stump color without adding bulk.

Figure 9

CREDITS: 0
AGD CODE: 780 - Esthetics/Cosmetic Dentistry
COST: $0
PROVIDER: Conexiant Education
SOURCE: Inside Dental Technology | August 2015

Learning Objectives:

  • Discuss the challenges involved with masking color when space is limited.
  • Describe the esthetic benefits of new materials.
  • List methods for shade matching to imitate natural color.

Disclosures:

The author reports no conflicts of interest associated with this work.

Queries for the author may be directed to justin.romano@broadcastmed.com.