Making ‘Big’ Teeth Appear Smaller: A Look at Creative Smile Design

Robert A. Lowe, DDS

May 2015 Issue - Expires Thursday, May 31st, 2018

Inside Dental Technology

Abstract

Although the restorative team has a plethora of restorative materials and techniques at its disposal, creating a smile that pleases the patient remains a challenging endeavor. However, keeping certain principles in mind, such as maintaining open channels of communication between the dental technician and dentist and taking video of the patient before treatment begins, will help make restorations successful. The following article is a case report about a patient desiring smaller teeth and how the restorative team met those expectations.

You must be signed in to read the rest of this article.

Login Sign Up

Registration on CDEWorld is free. You may also login to CDEWorld with your DentalAegis.com account.

Creating a beautiful smile can be an arduous task for even the most experienced team. Regardless of all the myriad materials and techniques that are available today, beauty is still in the eye of the beholder. For the patient who desires miniscule changes to improve tooth-size discrepancies that are measured in tenths of millimeters, the restorative team may find that the “esthetic makeover” can be much more difficult and demanding than a full-mouth reconstruction. The patient seeking larger teeth by making small teeth bigger and filling diastemata is relatively easy to restore in comparison with the patient who has larger teeth and a fixed-arch length and wants to make the teeth appear smaller. This article presents a case report describing a patient with the latter condition and the creative use of smile design principles applied by the dentist and laboratory technician to achieve the difficult task of making big teeth appear smaller.

Developing the Treatment Plan

No one knows better than the patient, regarding visualization of the end result. The clinician cannot always find the answer in a textbook, learn about it in a lecture, or perform the case the same way a previous case was treated. Another problem is that patients do not always know what they want, until they see what they do not want. The preoperative interview is a vital first step before deciding on a treatment approach. Encourage the dentist to let the patient describe what he or she is looking to achieve. A good technique is for the dentist or dental assistant to video-record the patient interview so the exact words and desired outcome can be shared with the laboratory technician fabricating the case. Otherwise, when the dental office relies on using written instructions to communicate with the laboratory, the team may lose the true meaning of the patient’s descriptions.

Case Report: Clinical Findings and Master Diagnostic Model

Based on the findings from a comprehensive clinical and radiographic examination, including digital photography, and the patient interview, a preliminary treatment plan was formulated to meet the clinical and esthetic requirements of the case. The patient had porcelain veneer restorations placed approximately 6 years before her preoperative diagnostic visit. When the clinician asked the patient, “What would you change about your smile,” she gave statements such as: “I feel my teeth look too big, like dentures,” “They stick out too far,” and “They are not feminine or youthful.” This meant the patient wanted smaller teeth and less overjet. Can this be achieved by simply replacing the existing restorations?

A discussion between the clinician and laboratory technician was critical for conveying the patient’s esthetic desires accurately. After conferring with the dental technician and reviewing the preoperative diagnostic data, a master diagnostic model (wax-up) was created, based on the patient’s input, to analyze if the desired corrections could be achieved. Decreasing the mesio-distal dimensions of the existing teeth as they appeared in the arch form was not possible without either tooth preparation (interproximal tooth reduction [IPR]) or by opening spaces.

The preoperative cervico-incisal height of the maxillary central incisors exceeded 12 mm (a more ideal size would have been approximately 10 mm with a 75% to 80% width-to-length ratio). Therefore, the length would have to be decreased through tooth preparation. However, such preparation would make the teeth look more square, not slender.

Creating the appearance of more slender teeth would need to be achieved by the technician using the position of the proximal-facial line angles (reflective angles) of the maxillary anterior teeth to create the “illusion” that the teeth were narrower in the mesio-distal dimension than they actually were. So, these parameters were incorporated into the master diagnostic model, which in turn was used as a template for provisional restorations that, when placed, the patient can more properly evaluate.

Preoperative Soft Tissue Correction

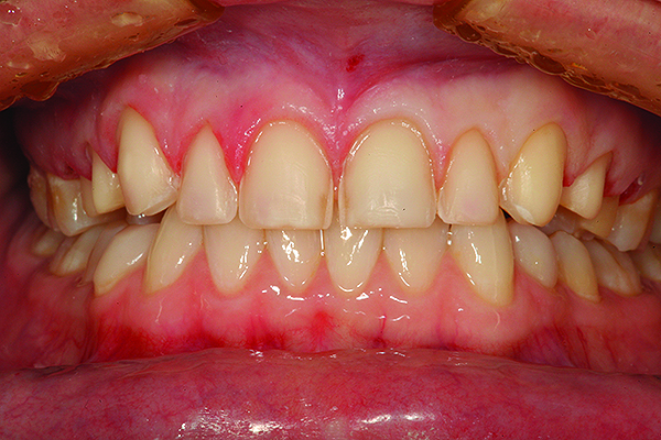
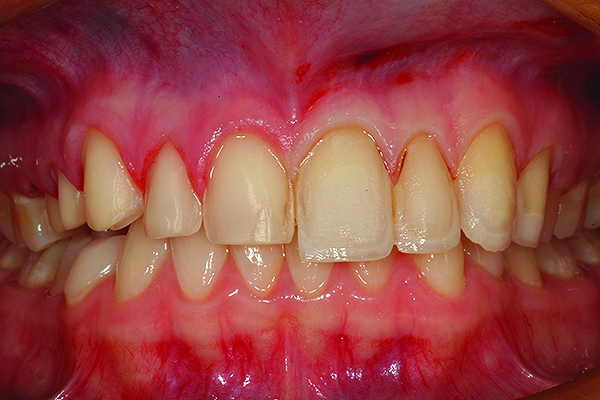
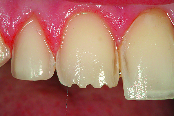
Figure 1 and Figure 2 show full-smile and intraoral full-arch views of the patient’s preoperative condition. The retracted full-smile image revealed disparate gingival heights over teeth Nos. 8 and 9. The proximal-facial line angles, particularly of the maxillary central incisors, were indistinct and rounded, contributing to a more “square” silhouette of the facial outline form. The maxillary anterior teeth appeared much larger in the cervico-incisal dimension with a dramatic decrease in height starting in the first premolar area (Figure 3). Esthetic harmony cannot always be achieved without addressing both hard and soft tissues and unfortunately, some clinicians “only see the white and not the pink.” The decreased height of the posterior teeth helped to contribute to the problem of the anterior teeth appearing too large. Prior to tooth preparation, a soft tissue correction was made with a diode laser (Picasso Diode Laser, AMD Lasers, amdlasers.com), which made the bulbous emergence profile of the existing veneer painfully evident. Because the patient had no second premolar due to extraction and orthodontics performed when the patient was younger, symmetry of the positions of the gingival margins was very important to the overall esthetics of the case. An imaginary line was drawn from the cervical height of contour of the maxillary cuspid to the gingival margin above the mesio-buccal root of the maxillary first molar. The gingival margin of the maxillary premolar needed to be on this line. If biologic width was violated, bony crown lengthening would be required (Figure 4). In this case, a closed-flap crown lengthening was performed with an ErCr: YSGG all-tissue laser (iLase® Plus, Biolase Technologies, biolase.com) to reestablish the proper 3-mm distance from the free gingival margin to the crest of bone. When healed, the new restoration would appear longer in the cervico-incisal dimension and gingival harmony would be achieved.

Preparation and Provisionalization of the Maxillary Arch

In today’s world of minimally invasive and no-preparation scenarios, too often dentists see over-contoured dental restorations that are the result of their colleagues trying to conserve a few additional micrometers of tooth structure. The outcome may involve compromised esthetics and strength, and many times a remake of the case is needed and another assault on the tooth takes place. Figure 5 shows the previous restorations that were removed on the patient’s right side and the facial portion of the restorations removed on the patient’s left side. The outline of the previous restorations may be seen as well as the labial surface of the preparation. One may also see the difference in overbite and maxillary incisal edge position as it relates to mandibular facial surface display in the centric occlusal position. Based on the patient’s feedback, the clinician could see that the preparation size on the patient’s right side was more of what she was seeking as the final shape and proportion after restoration. To achieve this, room had to be made for the restorative material.

Figure 6 shows that the patient’s skeletal class was Class II, Division II. The most facially positioned tooth, the maxillary lateral incisor, would determine the final facial positions of the central incisors and canines. This was another problem missed in the original diagnosis. The lateral incisor needed to be more aggressively prepared so that the central incisors and canines would not have to be overcontoured in the facial direction to create an ideal facial arch form. Starting on the right side, the incisal edges would have to be further reduced to create space for 1.5 mm of porcelain at the incisal edge and yet maintain a final cervico-incisal height of 10 mm. Figure 7 shows the depth cuts placed at the incisal edge of tooth No. 8. Figure 8 is a full-retracted view after the preparations have been adjusted. Figure 9 demonstrates the reduction of the preparations from the facial proximal line angles in the lingual direction toward the proximal contact areas to open up the facial embrasures between the teeth. This preparation step was critical for giving the ceramist enough space to create the reflective angles in the restorations. The reflective angles would provide the illusion of a narrower facial profile while deepening the facial embrasure between the teeth to move the interproximal contacts toward the palatal direction.

A master diagnostic wax-up integrated all the esthetic changes to bring the reflective angles more toward the center of the maxillary incisors and create an illusion of smaller teeth. A stone-model duplicate of the wax-up was created so that a clear thermoplastic stent could be made to use in the fabrication of the provisional restoration (Figure 10). After tooth preparation was completed, the maxillary teeth were provisionalized (Figure 11) with a rubberized urethane provisional restorative material (Tuff-TempTM Plus, Pulpdent Corporation, pulpdent.com). The patient was instructed to wear the “trial smile” for a period and provide feedback regarding the esthetics of the case and any changes she would like to make. The goal for the next treatment appointment was to gather the patient’s feedback regarding the maxillary provisional restoration, discuss possible changes, master impress the maxillary arch, and prepare and impress the mandibular arch.

The Mandibular Arch

Figure 12 shows the preoperative model of the patient’s mandibular arch and the master diagnostic wax-up. A patient with Class II skeletal will typically exhibit a dual plane of occlusion. Because of the anteroposterior position of the maxillary and mandibular arches and excessive overjet combined with a deep bite, the lower incisors are often “supererupted” above the posterior occlusal plane. With the overjet measurement being greater than 2 mm, another consideration was that additive dentistry to the facial surfaces of the mandibular anterior teeth may have been possible if the incisal edges were slightly shortened. The occlusal vertical dimension would not be altered in this case, so the plan was to slightly shorten the mandibular incisal edges and blend the incisal and occlusal planes to prevent such an abrupt difference from the posterior to the canine positions. The palatal cusps of the maxillary first premolars were shortened (Figure 13). This created space for accommodating the slight occlusal position of the buccal cusps of the mandibular first premolars, which made the dual plane of occlusion less noticeable.

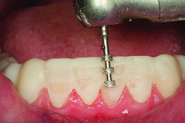
In order to minimize preparation for the mandibular teeth, a provisional trial smile using a stent created from the master diagnostic wax-up was constructed (Figure 14). By forming ideal preparations into the rubberized urethane material, only the part of the actual tooth that is “in the way” of the restorative material was to be removed by the bur. Figure 15 shows using a 0.5-mm-depth cutting bur on the facial surfaces of the mandibular anterior teeth. Because of the patient’s desire to decrease the overjet between the maxillary and mandibular teeth, the depth cuts did not reach tooth structure. Figure 16 and Figure 17 show tissue retraction prior to making the master impressions. With the exception of the slight reduction (<1 mm) of the anterior incisal edges, the preparation of the mandibular teeth to accommodate the final planned positions of the ceramic material was minimal to none. Therefore, these teeth would not require provisionalization prior to restoration delivery.

Figure 18 shows the master impression of the maxillary anterior segment. Note that the impression captures not only the restorative margin, but also 0.5 mm of tooth or root surface apical to the margin for exact duplication of the emergence profile in the restorative material. A close-up of the master maxillary model is shown in Figure 19 that illustrates precise margins and emergence profiles on the master model, making it easy for the ceramist to duplicate natural emergence angles in the ceramic restorations. The porcelain veneers were constructed in a high-value, translucent ceramic material according to the patient’s desire to have a “bright smile” (Figure 20 and Figure 21). Prior to cementation, they were tried in and approved by the patient. Figure 22 and Figure 23 show preoperative and postoperative full-arch views for comparison of final tooth size, gingival correction of tissue levels in the maxillary arch, and occlusal plane correction in the mandibular arch. Figure 24 and Figure 25 show 1-year postoperative retracted and smile views of the completed case.

Conclusion

A case has been presented that demonstrates some details of smile design that can easily be overlooked when performing esthetic reconstructions. Such aspects are the relationships of the hard and soft tissue in representing an esthetic parameter. Correction of these minor asymmetries can make a profound difference in the final outcome.

Too many clinicians are so concerned with the amount of tooth structure that is removed that often the final esthetic and functional result can be compromised, leading to a remake. Although conservation of tooth structure is extremely important, the overall outcome must be taken into consideration along with the patient’s expectations when making treatment decisions regarding tooth preparation and design of the completed restoration. Both the clinician and ceramist can gain valuable information from a well-designed provisional restoration that can be evaluated in the mouth. Once the patient approves the provisional restoration, the ceramist can use the essential tools of digital photos, a video interview, and models of the final provisional restoration when completing the definitive restorations for the case.

About the author

Robert A. Lowe, DDS
Private Practice
Charlotte, NC

Fig 1. A preoperative smile view of a 26-year-old patient whose chief complaint is that her “teeth look too big and look like dentures.”

Figure 1

Fig 2. A preoperative retracted full-smile view. The restorations appear to be very “square” and “bulky.” The incisal embrasures are small, helping to make the teeth look uniform and square.

Figure 2

Fig 3. This oblique view of the preoperative smile shows the extreme size difference between the large maxillary anterior teeth and the smaller, diminutive posterior teeth—the “posterior gummy smile.”

Figure 3

Fig 4. After apical repositioning of the gingival margin over tooth No. 4 with a diode laser, the overcontouring of the porcelain to accommodate the preoperative gingival position is evident. The excessive emergence profile on the disto-proximal aspect of the veneer restoration has caused a chronic marginal periodontitis in the area so that bleeding is always present regardless of the level of home care.

Figure 4

Fig 5. On the patient’s right side, the restorations have been removed, revealing the prepared teeth. On the patient’s left side, only the facial ceramic has been removed so a comparison can be made between the incisal edge positions of the prepped and restored teeth. The cervico-incisal length of the maxillary left central incisor is about 13 mm.

Figure 5

Fig 6. This oblique view shows the original facial position of the maxillary left central incisor. This position would dictate the final positions of the adjacent teeth, which would need to be thicker in the facial direction to make up for their lingualized preoperative location.

Figure 6

Fig 7. One-mm-depth cuts are placed in the incisal edge of the maxillary right central incisor to make space for porcelain in the new restorations maintaining a 10-mm cervico-incisal length.

Figure 7

Fig 8. A full-arch retracted view of the completed maxillary preparations. The maxillary premolars have been reduced sufficiently to accommodate a slight addition to the buccal cusps of the opposing mandibular teeth to help correct the dual plane of occlusion on the lower arch.

Figure 8

Fig 9. A close-up view of the maxillary anterior preparations on the master model. The facial proximal line angles of the prepared teeth are closer toward the center of the facial surface. This opens the angle of the facial embrasures between the teeth to give the ceramist sufficient space to move the reflective angles of the porcelain restorations in the same fashion to make the facial surfaces of the teeth appear more narrow mesiodistally.

Figure 9

Fig 10. The maxillary diagnostic wax-up and stone model duplicate is shown. These will serve as a template for the provisional restoration.

Figure 10

Fig 11. The maxillary provisional restoration is shown in this retracted intraoral full-arch view.

Figure 11

Fig 12. A view of the preoperative mandibular arch from the facial aspect and the corrections made on the mandibular master diagnostic model.

Figure 12

Fig 13. This view of the maxillary master model shows the compensation in the preparation of the palatal cusp of the maxillary premolar to accommodate the addition to the opposing facial cusp of the mandibular first premolar.

Figure 13

Fig 14. A retracted facial view of the “provisional preparation guide” in rubberized urethane over the unprepared mandibular teeth.

Figure 14

Fig 15. A 0.5-mm-depth cutting bur is used to create “ideal preparations” into the provisional plastic. Only the part of the tooth that is “in the way” of the placement of the final ceramic will be prepared, making this technique micro-invasive.

Figure 15

Fig 16. The mandibular final preparations are seen in this full-arch facial view after retraction cords are placed to take the master impression. Little actual tooth structure is removed so that the patient will not require provisionalization of the mandibular teeth.

Figure 16

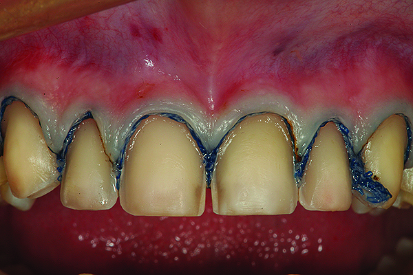
Fig 17. A retracted view of the maxillary preparations after retraction cord placement. The final margin placement will be slightly intracrevicular to avoid root surface being visible, because the patient can show gingival tissue with an exaggerated smile.

Figure 17

Fig 18. A view of the master impression of the maxillary preparations shows accurate margins and a “cuff” of impression material apical to the margins capturing the emergence profile information.

Figure 18

Fig 19. A facial view of the master model of the maxillary teeth.

Figure 19

Fig 20. The completed ceramic restorations on the maxillary master model are shown.

Figure 20

Fig 21.  The completed ceramic restorations on the mandibular master model are shown.

Figure 21

Fig 22. A preoperative retracted full-arch view of the patient’s teeth slightly separated to show the incisal edges of the maxillary and mandibular teeth. Note the supereruption of the mandibular anterior segment and dual plane of occlusion on the lower arch.

Figure 22

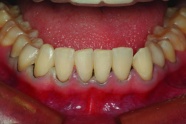
Fig 23. Compare this postoperative retracted full-arch view with Figure 22. The mandibular occlusal-incisal plane is more continuous with correction of the dual plane of occlusion and curve of Spee. The maxillary restorations give the illusion that the teeth themselves are smaller with a more natural progression of incisal embrasures and gradual apical movement of the contact areas moving from the midline toward the posterior segment, giving a more youthful appearance.

Figure 23

Fig 24. Retracted and full-smile views of the patient’s new smile. Notice the more youthful appearance and proportionality of the new ceramic restorations. Buccal corridor cervico-incisal tooth proportions are also significantly improved.

Figure 24

Fig 25. Retracted and full-smile views of the patient’s new smile. Notice the more youthful appearance and proportional- ity of the new ceramic restorations. Buccal corridor cervico-incisal tooth proportions are also significantly improved.

Figure 25

CREDITS: 0
AGD CODE: 780 - Esthetics/Cosmetic Dentistry
COST: $0
PROVIDER: Conexiant Education
SOURCE: Inside Dental Technology | May 2015

Learning Objectives:

  • After reading this article, the reader should be able to:
  • Discuss the importance of understanding the patient’s expectations and perceptions before treatment begins.
  • Describe how creative use of smile design principles applied by the dentist and laboratory technician can make big teeth appear smaller.
  • Understand the value of adequate information and communication between ceramist and clinician in achieving a successful outcome.

Disclosures:

The author reports no conflicts of interest associated with this work.

Queries for the author may be directed to justin.romano@broadcastmed.com.