Treatment Planning Decisions: Bar-Overdenture Versus Freestanding Implant Removable Prosthetics

Gregori M. Kurtzman, DDS, MAGD, DICOI

January 2015 Issue - Expires Wednesday, January 31st, 2018

Inside Dental Technology

Abstract

For their long-term success, implants—which, unlike natural teeth, have no stress relievers to signal bone overloading—are best placed using an engineering approach to minimize bone loss that occurs when occlusal loads are transmitted directly to the bone. Therefore, treatment planning implant-retained removable prosthetics should include considerations for the existing anatomy and the patient’s desired outcome.

You must be signed in to read the rest of this article.

Login Sign Up

Registration on CDEWorld is free. You may also login to CDEWorld with your DentalAegis.com account.

Implant prosthetics requires an engineering approach to ensure long-term success. Unlike the stress relievers built into natural teeth, including proprioception and the periodontal ligament (PDL), the same stress relievers are not found in an integrated implant prosthetic.

When occlusal loads exceed a limit in natural teeth, proprioception sends signals to the brain that prompt feedback and lead the patient to stop occluding. In a healthy system, this typically prevents occlusal loads from exceeding the amount the tooth and surrounding periodontium can manage without causing structural or support damage. However, when the tooth is lost, so too is proprioception for that unit of the dentition, and it is not regained when an implant is placed in the space of the missing tooth. This may lead to inadvertent occlusal overloading, because the patient has no sensation on the implant to trigger the biofeedback loop. Eventually, crestal bone loss can occur, leading to an ailing implant and ultimately a failing implant, given time and lack of treatment for the increasing bone loss.

The PDL also provides a stress reliever that acts like a shock absorber when loads are placed on the tooth. This works hand-in-hand with proprioception, creating a sensation that causes the patient to disclude. It also allows some vertical movement as well as lateral displacement of about 1 mm when the tooth is loaded during occlusion. (The measurement of 1 mm refers to the vertical plane during maximum occlusion when the teeth bottom out in the socket. If two natural teeth oppose each other and each is able to compress during maximum intercuspation into the socket of 0.5 mm, the total is 1 mm.) When these loads are within the physiologic range and are repetitive, orthodontic-type movement can result in minor shifting of the tooth, positioning it into a less stressful position during occlusion. Dental implants do not have a PDL connection. Therefore, occlusal loads are transmitted directly to the bone. When these loads exceed the physiologic limits of the surrounding bone, bone loss results. In addition, overloading may lead to increased mobility of the implant fixture and implant failure.

Direction of Loading on the Implant

When discussing implant loading, it is important to understand the three types of forces being placed intraorally on the implant, which are compressive, shear, and tensile1 (Figure 1).

Compressive loads are placed apically along the implant’s long axis. These forces are tolerated best because cortical bone is strongest under compressive forces. Therefore, implants should be placed so that their long axis is parallel to the direction of the load placed on them. Doing so ensures that most of the loading during occlusion is compressive. This is most practical in the posterior of the maxilla and mandible and also the mandibular anterior due to the cross-section shape of the bone. The anterior maxilla requires that implants be placed at an angle with regard to the vertical axis due to the trajectory of the premaxilla. This necessitates loading in an off-axis direction, which can predispose the implant to loading failures when the prosthetic or occlusion is not properly managed. Bone loss in the anterior maxilla that is related to periodontal issues leading to failure of the natural tooth or osseous resorption related to long-term denture use in this region of the mouth can increase the trajectory issues and result in less bone in the facial palatal dimension. This further complicates implant utilization in this area.

Shear loads are defined as those that occur when two objects slide past each other. With relation to implants, the objects are the implant and the surrounding bone. Bone does not manage shear loads well. If this occurs above the physiologic limits of that patient’s bone, it can lead to bone loss and mobility of the implant. If an implant is placed under off-axis loading, less of the load is compressive. If an implant is placed under shear loading, the implant surface is technically sliding past the bone with which it is in contact. The side of the implant where the off-axis load is originating on the prosthetic portion is under shear loads directed coronally, whereas the opposite side is under shear loading that is directed apically. Loading the implant in an off-axis direction (lateral loading) places the implant under forces that are not handled as well (shear) compared with forces that are directed along the long axis of the implant (compressive).

Tensile loads occur when forces attempt to pull the object away from the apical of the implant. This happens only when the patient is masticating a sticky food such as taffy, chewing gum, or other substances that pull on the implant and prosthesis. When a crown dislodges from an implant abutment or off a natural tooth, the cement has undergone a tensile failure as the loads exceeded the luting cement’s tensile strength.

When comparing implant designs, essentially dividing endosseous implants into press-fit and threaded styles, it is apparent how compressive loading is affected by the implant’s design. Press-fit designs have been largely discontinued during the past 15-plus years because the surface of the implant was parallel to the implant’s long axis. That design caused the entire implant body to be under shear loading in function. Although the apical of the implant was the only portion that had any compressive loading upon it, the magnitude of the shear forces overcame this. These implants had high failure rates long term and also required a coating to increase integration to the surrounding bone in an attempt to mitigate the shear loading upon them. Threaded implant designs account for most implant designs today. This is because the implant threads are perpendicular to the long axis, which directs the majority of the load on the implant parallel to the implant as compressive loads. As indicated, bone manages loads best when they are compressive and threaded implant designs have demonstrated the best long-term prognosis compared with press-fit designs.

Anatomic Features of Bar-Overdentures and Free-Standing

So how does this relate to implant bar-overdentures? Due to the anatomy specific to each arch, the answer requires separately addressing maxillary and mandibular overdentures. The maxillary arch has a palate that may influence the final design of the overdenture. Often, the practitioner offers the patient a palateless implant-retained maxillary overdenture without first determining if the palate will be needed from an engineering aspect and the type of loads that will be placed on the implants under function. Whether an implant-retained overdenture requires a palate is influenced by several factors, including palatal depth, vestibular depth, location of implants around the arch, and the trajectory of the bone—all of which will determine the angulation of the placed implants.

Palatal and vestibular depth influences the available ridge height present (Figure 2). When a standard denture or overdenture is on the arch, the act of chewing encompasses both a vertical and horizontal motion that place lateral forces on the prosthesis. The denture/overdenture flanges are in contact with the remaining ridge. The higher the ridge, the more lateral bracing occurs during chewing and the less displacement of the prosthesis from the arch laterally (Figure 3). Yet, when a low ridge height is available—either due to a shallow palate or vestibule or combination of these—the ridge has minimal effect at bracing against lateral displacement (Figure 4). This increases lateral loading and the shear loads placed on freestanding implants. When these anatomic factors are noted during the initial examination, the patient should be made aware of the need for splinting the implants with a bar to assist in distributing the loading forces over the entire arch and to shield the individual implants from shear loading. Patients who have shallow vestibules but adequate vestibular depth have two options regarding the prosthetics (Figure 5). If freestanding implants are to be used, maintaining palatal coverage may be needed. This may not require full palatal coverage, and depending on the anatomy, eliminating the posterior one-third may be possible while maintaining the anterior two-thirds to aid in stability via a hard stop on the non-movable anterior palate when the patient occludes. As stated earlier, lateral loads are not handled as well as loads directed along the implant’s long axis, and during chewing, lateral loading occurs on implants and natural teeth. In the edentulous arch, typically, there is not 1 implant per missing tooth and the arch may only have 4 to 6 implants present. This lateral loading during chewing will not have the lateral surfaces of the ridge to brace from these forces, and all loads are placed on the implants when the arch has shallow vestibules, palate, and floor of the mouth. One of the biggest challenges in fully edentulous cases is the available interarch vertical height, which does have an effect on prosthetic design.2

Patients can be divided into two groups with regard to their treatment desires. Group 1 patients seek a more stable prosthesis, one that does not lift off the ridge or laterally displace, and they therefore will accept maintaining the palatal coverage. Group 2 patients insist that the final prosthesis have no palatal coverage; these patients may be better treated with a bar-overdenture than with freestanding implants. The bar helps distribute loads over the entire arch, but it also increases the ridge height due to the height of the bar above the residual ridge. This increases lateral bracing during function.

A simple test can be performed using the patient’s current denture to help decide if the palatal coverage is necessary or can be eliminated. It will also help determine if a bar is required to properly engineer the prosthesis or if freestanding implants can be utilized. With the denture on the arch, the practitioner gently applies light force toward the tissue and tries to slide the denture left and right to see if any displacement occurs. Lateral displacement indicates that the ridge is of insufficient height to provide bracing to resist lateral loading of the implants, which will create shear loading on the fixtures. Performing this test during the treatment-planning phase helps illustrate to the patient why the palatal coverage may be needed or when a bar is required to meet treatment guidelines and fulfill the patient’s treatment desires.

Location of the planned implants also is important. Frequently, with tooth loss the maxillary sinus enlarges, limiting implant placement without sinus augmentation to the second premolar to second premolar area of the maxillary arch. Ideally, to achieve retention of the prosthesis, the implants should be distributed over as wide an area as possible. Use of 4 implants spaced evenly in the region between the second premolars will provide the best retention. If the other factors discussed are anatomically acceptable, then freestanding implants may be utilized.

Arch shape influences the relation of the implants to one another. Ovoid arches spread the implants over a wider distance anteriorly-posteriorly than a square arch form (Figure 6). A square arch form is the result of bone loss in the premaxilla (Figure 7). In these situations, an anterior cantilever may occur when the facials of the maxillary central incisors are positioned where they need to be placed for proper lip support.

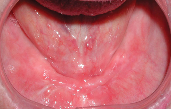
The mandibular arch has its own unique issues. Unlike the maxillary arch, the palatal vault is not a problem, but it is necessary to manage the floor of the mouth with regard to its depth. As resorption in the mandible progresses, the vestibule and floor of the mouth become shallower. Muscles related to the tongue exert lifting forces on the removable prosthesis’ lingual flange, which becomes more significant as resorption progresses. As with the maxillary arch, as the available ridge height above the depth of the vestibule shortens, less ridge is available to provide lateral bracing to the prosthesis during function (Figure 8).

Examination of the residual ridge at the treatment-planning phase can assist in identification of any anatomic obstacles that will require use of a bar (or recommendation of a fixed approach) or when freestanding implants with attachments can be used. An anatomic landmark to keep in mind when evaluating the patient is the genial tubercles. As ridge height is lost in the anterior, the ridge crest migrates toward the genial tubercles, which results in a shallower floor of the mouth and more lifting of the prosthesis from the muscles located in this area of the mouth (Figure 9). When it is noted that the genial tubercles are positioned at or superior to the crest of the ridge, this signifies severe bone resorption. Utilization of freestanding implants is precluded, as the ridge offers no lateral bracing, and thus stability of the prosthesis is compromised (Figure 10). The same test that was recommended in the maxillary arch to test lateral stability of the current denture can be performed in the mandibular arch. This also helps illustrate to the patient why freestanding attachments are not ideally suited for the situation and why a bar would be recommended. Discovering these issues during the treatment-planning phase is better than later when the prosthetics is being fabricated and inserted.

A-P Ratio: Still a Relevant Concept When Planning Prosthetics

A-P ratio refers to the distance between the most anterior implant(s) (the A) and a line drawn between the most posterior implants (the P). The distance between the two lines is measured, and that determines how far posteriorly the prosthesis can be cantilevered. Accepted distance allows for 1 to 1.5 times the A-P ratio to be cantilevered distal to the most posterior implant.3,4 Patients with ovoid arch forms typically allow better A-P ratio due to the available positions for the fixtures. A square arch form, on the other hand, tends to place the anterior and posterior implants closer together, creating a shorter A-P ratio and necessitating shorter cantilevers. This principle is applied in both the maxillary (Figure 11) and mandibular arches and, when followed, limits unwanted loading of the implants retaining the bar. A-P ratio is also relevant in the mandible when deciding how far distally the overdenture bar or fixed framework can be extended from the most distal implants. When the cantilever exceeds the recommended cantilever length based on A-P ratio, tensile loading occurs on the most anterior implants when occlusally loaded, with fulcruming occurring on the posterior implants. This may lead to loosening or fracturing of the prosthetic screw retaining the bar to the anterior implants and, depending on the bone quality, progressive bone loss of those anterior implants. When an anterior cantilever is present, which occurs typically in the maxilla with a square arch form due to resorption of the premaxilla, fulcruming would be seen on the anterior fixtures, with stresses placed on the posterior implants when occluding into food (eg, biting a sandwich or a whole apple) or habits that involve holding something in the anterior (eg, biting on a pen or pipe).

In thinking of cantilevers, it is normal to focus on those in the posterior, but anterior cantilevers should also be considered. In the maxilla—when there is resorption in the premaxilla—an anterior cantilever may be encountered. This most often occurs when the anterior teeth are lost early and the patient has retained the lower anterior teeth; this is referred to as “combination syndrome.” When the anterior maxillary teeth are positioned ideally for proper lip support, these teeth may be cantilevered facially. Implants may be used, but extensive bone grafting may be needed to position those implants under where the teeth require proper positioning. As greater forces are placed on the implants (or teeth) in the posterior than the anterior (ie, a nutcracker effect), it is possible to cantilever in the anterior further facially than a cantilever in the posterior. With an anterior cantilever, upon occlusion into food, the implants located distal to the cantilever are loaded prior to the cantilevered bar. With a posterior cantilever, the cantilevered bar occludes before the implants themselves when the patient is chewing. The benefit of the cantilever in the anterior when a bar overdenture is utilized prosthetically is the removable portion of the prosthesis can contact the anterior portion of the hard palate, acting as a stop to prevent overloading of the anterior cantilever bar segment. When a removable prosthesis is planned, implants may not be able to be ideally positioned in the anterior and, under function, may result in tipping of the denture when biting food in the anterior. This may preclude in some cases the use of freestanding attachments, and a bar may be required to support the anterior cantilever and prevent this prosthesis from tipping.

This problem can be identified during planning by observing where the incisive papilla lies in relation to the center of the ridge in the maxillary anterior. Studies have shown that the facial surface of the central incisors lies 10 mm to 12 mm from the center of the incisive papilla5-7 (Figure 12). Under normal conditions, when there has not been resorption of the anterior ridge, the papilla will lie on the palatal side of the crest. Papilla positioned at the top of the crest indicates to the practitioner that some ridge resorption has occurred. A papilla that is positioned on the facial side of the crest signifies significant resorption, and either a bar-overdenture or fixed approach will be required, which may require grafting of the anterior ridge (Figure 7).

Small- and Standard-Diameter and Mini Implants: What’s the Real Difference?

How does this relate to the implants being utilized? Not all diameter implants manage loads the same way. Decision-making on implant selection needs to follow an engineering basis that maximizes the available bone present based on the desired prosthesis planned. There has been a push to utilize mini implants to replace the use of wider-diameter implants in all situations, but this runs contrary to engineering principles and the loads that will be placed on those implants. This decision often is guided by the cost of the implant fixtures and not based on long-term studies in the literature.

Mini implants serve a purpose and are ideally suited with regard to removable prosthetics when the patient’s complaint is “lift-off” of the denture. Implants with “O” ring (ball) heads and attachments can provide sufficient retention to prevent the denture from lifting off the ridge during function when the patient is speaking, chewing, and using generalized tongue movements. When the patient presents with a non-implant–retained denture and the denture has significant lateral displacement, the mini implants will be loaded laterally under function. As discussed, implants manage lateral loading the worst, which leads to bone loss, mobility, or a combination of these two occurrences. The narrower the implant diameter, the less bone-to-implant contact is present (less surface area), and the less lateral loading the implant can tolerate under normal function before issues arise. Considerations for use of mini implants relates to the available ridge to provide lateral bracing as well as distribution of the implants around the arch. Due to less bone-to-implant contact, it has been recommended that when using mini implants, a minimum of 4 be placed around the arch, which is typically adequate in the mandibular arch (Figure 13). Due to lower bone quality (density) in the maxillary arch, placement of more than 4 mini implants may be a wise routine recommendation. In addition, the implants should be spaced with sufficient distance between the fixtures to distribute the retention over as much area as is available. Placing mini implants close together does not necessarily increase retention, and it thins the acrylic in the denture between the mini implant attachments within the denture, which can lead to stress fractures of the denture base.

The use of small-diameter implants is an alternative to that of standard-diameter implants when adequate bone width is present, and provides greater loading handling than mini implants. These can be combined with mini implants and standard-diameter implants in an arch. Selecting which implant to use is site specific (Figure 14). When the patient’s budget is limited and adequate bone width and ridge height superior to the depth of the vestibule are present, placement of 2 widely spaced standard-diameter implants with attachments may provide better long-term stability than using 4 mini implants (Figure 15). This provides the option of adding more implants as finances become available and eventually convert the patient to either a bar-overdenture or fixed prosthetic approach. Systematic literature reviews have not provided sufficient evidence of the long-term success of mini implants, and this may influence treatment recommendations dependant on the patient’s age.8 Klein reported that “mini-implants < 3.0 mm in diameter are only documented for the edentulous arch and single-tooth non-load-bearing regions.” This is well-supported by the literature and it is generally recommended that at a minimum when utilizing mini implants for improved denture retention, 4 implants should be used spaced as far apart as the anatomy allows. With the lack of systematic literature reviews for mini implants, placement of 2 standard-diameter implants in the arch in the cuspid-first premolar region bilaterally with attachments may provide a better option with documented long-term success.

Conclusion

Frequently practitioners “can’t see the forest for the trees” when treatment planning implant-retained removable prosthetics. This can create issues when the prosthetic phase is initiated or after delivery of the prosthesis. Over-promises on results, such as avoiding palatal coverage or using only mini implants, are often made without proper analysis of the patient or discussion with the laboratory technician who will be fabricating the final prosthesis. The team approach dictates that the practitioner(s) and laboratory technician are all part of the team and necessary to a successful result. To achieve those goals of long-term success, implant planning requires use of an engineering perspective when planned treatment is based on that patient’s desired outcome and also takes into consideration the anatomy present.

References

1. Duyck J, Van Oosterwyck H, Vander Sloten J, et al. Magnitude and distribution of occlusal forces on oral implants supporting fixed prostheses: an in vivo study. Clin Oral Implants Res. 2000;11(5):465-475.

2. Sütpideler M, Eckert SE, Zobitz M, An KN. Finite element analysis of effect of prosthesis height, angle of force application, and implant offset on supporting bone. Int J Oral Maxillofac Implants. 2004;19(6):819-825.

3. McAlarney ME, Stavropoulos DN. Determination of cantilever length-anterior-posterior spread ratio assuming failure criteria to be the compromise of the prosthesis retaining screw-prosthesis joint. Int J Oral Maxillofac Implants. 1996;11(3):331-339.

4. Sahin S, Cehreli MC, Yalçin E. The influence of functional forces on the biomechanics of implant-supported prostheses—a review. J Dent. 2002;30(7-8):271-282.

5. Mavroskoufis F, Ritchie GM. Nasal width and incisive papilla as guides for the selection and arrangement of maxillary anterior teeth. J Prosthet Dent. 1981;45(6):592-597.

6. Lassila LV, Klemetti E, Lassila VP. Position of teeth on the edentulous atrophic maxilla. J Oral Rehabil. 2001;28(3):267-272.

7. Chatriyanuyoke P, Lu CI, Suzuki Y, et al. Nasopalatine canal position relative to the maxillary central incisors: a cone beam computed tomography assessment. J Oral Implantol. 2012;38(6):713-717.

8. Klein MO, Schiegnitz E, Al-Nawas B. Systematic review on success of narrow-diameter dental implants. Int J Oral Maxillofac Implants. 2014;29(Suppl):43-54.

Fig 1. Comparison of compressive (A), shear (B), and tensile (C) loading on implants. (Red arrow is direction of load placed on the implant, and yellow arrow is direction of the resulting loading force.)

Fig 2. Maxillary arch comparing vestibular and palatal depths and lateral displacement of the prosthesis.

Fig 3. Maxillary arch with good vestibular and palatal depth.

Fig 4. Maxillary arch demonstrating shallow vestibular vault and vestibular depth.

Fig 5. Maxillary arch with shallow palatal vault but adequate vestibular depth.

Fig 6. Ovoid arch form with 6 implants placed and connected with a bar, which was selected due to the shallow palate and vestibule.

Fig 7. Square arch form with implants spaced well for ideal retention with free-standing attachments with adequate palatal and vestibular depth.

Fig 8. Mandibular arch comparing vestibular and floor of mouth depths and lateral displacement of the prosthesis.

Fig 9. Mandibular arch with shallow vestibular and floor-of-the-mouth depth.

Fig 10. Mandibular arch with negative ridge resulting from no resorption of the ridge to eliminate the vestibular depth and elevate the floor of the mouth to superior to the genial tubercles.

Fig 1. Comparison of compressive (A), shear (B), and tensile (C) loading on implants. (Red arrow is direction of load placed on the implant, and yellow arrow is direction of the resulting loading force.)

Figure 1

Fig 2. Maxillary arch comparing vestibular and palatal depths and lateral displacement of the prosthesis.

Figure 2

Fig 3. Maxillary arch with good vestibular and palatal depth.

Figure 3

Fig 4. Maxillary arch demonstrating shallow vestibular vault and vestibular depth.

Figure 4

Fig 5. Maxillary arch with shallow palatal vault but adequate vestibular depth.

Figure 5

Fig 6. Ovoid arch form with 6 implants placed and connected with a bar, which was selected due to the shallow palate and vestibule.

Figure 6

Fig 7. Square arch form with implants spaced well for ideal retention with free-standing attachments with adequate palatal and vestibular depth.

Figure 7

Fig 8. Mandibular arch comparing vestibular and floor of mouth depths and lateral displacement of the prosthesis.

Figure 8

Fig 9. Mandibular arch with shallow vestibular and floor-of-the-mouth depth.

Figure 9

Fig 10. Mandibular arch with negative ridge resulting from no resorption of the ridge to eliminate the vestibular depth and elevate the floor of the mouth to superior to the genial tubercles.

Figure 10

Fig 11. An ovoid arch form with the anterior line (A) and posterior line (P) providing a measurement between the two lines, which indicates how far posterior the prosthesis can be cantilevered.

Figure 11

Fig 12. As illustrated in this CT scan of the maxilla, the center of the incisive foramen (yellow) will lie 10 mm to 12 mm from the facial surface of the central incisors (purple). When the ridge is posterior to this esthetic desired point, resorption of the premaxilla has occurred and an anterior cantilever will result.

Figure 12

Fig 13. Mini implants with attachments in the mandible with minimal vestibular depth but adequate depth of the floor of the mouth.

Figure 13

Fig 14. Mandibular arch with adequate vestibular and floor-of-the-mouth depth with mini and small-diameter implants present with attachments.

Figure 14

Fig 15. Mandibular arch with 2 attachments on standard-diameter implants placed in the premolar area bilaterally in an arch with adequate vestibular and floor-of-the-mouth depth.

Figure 15

CREDITS: 0
COST: $0
PROVIDER: Conexiant Education
SOURCE: Inside Dental Technology | January 2015

Learning Objectives:

Disclosures:

The author reports no conflicts of interest associated with this work.

Queries for the author may be directed to justin.romano@broadcastmed.com.