Part II: Human Touch as the Differentiating Factor in Restorative Excellence

Pinhas Adar, CDT, MDT

December 2014 Issue - Expires Sunday, December 31st, 2017

Inside Dental Technology

Abstract

With digital solutions today, dentists and ceramists can provide more consistent and efficient restorations that are esthetically pleasing, and all at an excellent value. However, it is important to understand that the human touch makes an epic difference in achieving restorative excellence. This article explains the “personal touch” that dental professionals must apply to several aspects of esthetic restorative cases. Exercising the “personal touch” is demonstrated in the processes of assessing patient expectations, smile design, provisionalization, material selection, and, ultimately, fabrication.

You must be signed in to read the rest of this article.

Login Sign Up

Registration on CDEWorld is free. You may also login to CDEWorld with your DentalAegis.com account.

Technology is expensive and ever changing. Certain factors must be considered for the investment to be successful. These include market trends, the uniqueness of the product, what the learning curve is, and its marketability to patients. All are best analyzed by the people who will be affected by them, not an algorithm.

A humanistic plan for integrating technology will ensure it is embraced for, not dictating or ruling, your patients’ care. Patients should feel that technology enhances, but does not replace, your personal, professional services.

This article explains the “personal touch” that dental professionals—whether dentists or ceramists—must apply to several aspects of esthetic restorative cases. Part I of this article addressed the diagnosis, treatment planning, and communication among all dental team members (eg, dentist, ceramist, patient, specialists). Part II explores the depths of the human touch that can be applied to restorative outcomes. The “human touch” accounts for the uniquely different perspectives, interpretations, and experiences that affect successful restorative cases. Exercising the “personal touch” is also demonstrated in the processes of assessing patient expectations, smile design, provisionalization, material selection, and, ultimately, the fabrication of the restoration.

While the ease and efficiency presented by new technologies and materials have certainly made a significant impact on dentistry, it remains the human touch that makes an epic difference in the success or failure of a restoration. This is certainly the case with zirconia-based and some other higher-strength CAD/CAM material restorations. Zirconia materials are a practical option for metal-free restorations; they provide ideal light transmission in certain clinical situations and have been shown in studies to demonstrate strength and longevity when used as frameworks.1-3 In fact, fixed partial denture frameworks fabricated from all zirconia can now span up to 14 units on natural teeth and edentulous implant-retained restorations (Figure 1). However, thought processes and approaches must be different in order to ensure sufficient space for creating the same illusion of reality anticipated with other, previously used materials. Substrate color, thickness, and type of material are important factors for consideration and manipulation by the ceramist.4

The fabrication process for an all-ceramic restoration with a zirconia core is similar to processes for porcelain-fused-to-metal restorations. However, some of these materials can appear too chalky and unesthetic if not handled by a skilled ceramist. The ability to artistically cut back, layer, stain, and understand the post-mill process for these materials is what transforms them into natural-looking restorations, regardless of how much translucency the product demonstrates when formed into full-contour crown restorations (Figure 2).1-3 For example, based on a typical monolithic implant bridge framework (Figure 3 and Figure 4), two bridges can be milled from the same shaded zirconia block in the same machine (Figure 4 and Figure 5). However, they can appear different as a result of the human touch. Ultimately, it is how they appear to the patient that matters most in terms of meeting their expectations and avoiding the need to modify or redo the restoration. It is therefore important for ceramists to ask their dentist clients, as well as for dentists to ask their patients, these three questions: Do you see a difference? What do you see? What is your preference?

Correctly interpreting patients’ responses to these questions and others can help the dental team get a sense of their expectations. However, in reality, esthetics is very subjective. Because dentists and ceramists need to know precisely what terms such as “white,” “natural,” “straight,” “big,” and “small” mean to patients using such words to describe what they want, it is often helpful to use communication tools (discussed in detail in Part I). This can help to avoid patient disappointment and enhance communication among team members.

Therefore, although the zirconia fabrication process involves computer aided design (CAD), experienced ceramists will respect the boundaries, limitations, and capabilities of the materials with which they are working in order to maximize esthetics and function (eg, compensating for zirconia shrinkage when visualizing restoration size; creating internal color effects during the green stage).2 Even with implant-supported, screw-retained restorations, once milled, the “green state” zirconia is much softer than other materials (Figure 6), making the human touch of contouring, adding anatomical surface enhancements, and multi-shading for improved esthetics significant. After the bridge is sintered at a high temperature for between 8 and 13 hours (Figure 7), custom stain can be applied to the zirconia and pink porcelain (eg, Creation ZI CT) layered on to create the illusion of soft tissue (Figure 8).

When communication tools are properly provided and shared among dental team members, zirconia-based restorations can be predictably fabricated for any number of implants. The restorations can be single units, up to 14-unit bridges, or full-contour monolithic structures with or without minimal cut-back in non-functional areas for ceramic layering to enhance the esthetics.3 However, if inaccurate impressions are used, or a verification jig is not provided prior to cementation of the titanium abutment in the laboratory using a resin cement (Multilink® Implant Resin Cement, Ivoclar Vivadent, ivoclarvivadent.com) (Figure 9 and Figure 10), the strong yet brittle zirconia bridge could break (Figure 11). Therefore, it is important for ceramists and dentists to follow the processing protocol for fabricating large zirconia implant bridges to avoid costly and frustrating remakes.

Fortunately, lithium disilicate is a predictable and durable material that can be pressed utilizing the hot-wax technique or milled in the laboratory or chairside using CAD/CAM technology, offering more consistent and affordable price points for patients (IPS e.max® CAD, Ivoclar Vivadent) (Figure 12).5,6 Additionally, its ability to be cut back and layered or stained and glazed enables ceramists to further characterize IPS e.max restorations based on their skills and understanding of the material’s characteristics and the patient’s unique esthetic preferences.5,6

IPS e.max incorporates true-to-nature shades and a low refractive index to provide optimal optical qualities (eg, life-like translucency and high light transmission).5,6 It has a flexural strength of 360-400 MPa and is up to three times more durable than other glass-ceramic systems,5 and can be seated using either conventional cementation or adhesive bonding methods. Compared to traditional all-ceramic materials, IPS e.max lithium disilicate is composed of 70% needle-like crystals in a glassy matrix and, therefore, demonstrates optimal strength, durability, and esthetics.5,6

These characteristics make lithium disilicate (IPS e.max) ideal when creating restorations for a patient who was unhappy with the size of his teeth and the spaces between them (Figure 13 and Figure 14). For a non-invasive treatment approach, the dentist relied on the ceramist to utilize lithium disilicate technology in a no-preparation design. This plan was first approached by developing the diagnostic wax-up that was tried in as a Trial Smile.

With a Trial Smile, not only can patients see and feel their proposed new teeth and their color, shape, and size in their mouth, but it also serves as a blueprint for definitive restorations. For the Trial Smile to serve this purpose, however, it is important and necessary that the ceramist who will be fabricating the final ceramics create a highly detailed diagnostic wax-up that will replicate the anatomy sufficiently to enable the patient to experience its phonetic function, as well as to assess its appearance, being able to remove and replace it in the mouth to show friends and family the planned restoration.

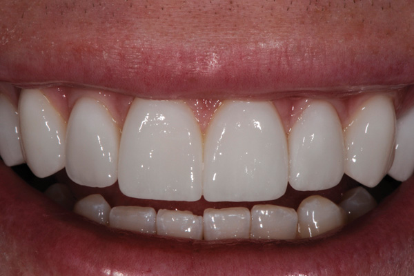
After the patient confirmed his esthetic desires and the dental team’s final vision, the restorations were pressed with IPS e.max lithium disilicate ingot LT BL2 and minimally cut back for ceramic application (Figure 15). The porcelain was layered with IPS e.max Ceram and then glazed. After manually polishing (Figure 16), the veneers were tried in for the patient’s approval and seated according to adhesive protocol (Figures 17). This detailed communication and skilled collaboration resulted in a smile transformation that exceeded the patient’s expectations (Figure 18).

Conclusion

With digital solutions today, dentists and ceramists can provide more consistent and efficient restorations that are esthetically pleasing, and all at an excellent value, allowing us to serve more patients. However, it is important to understand that the human touch still makes an epic difference in achieving restorative excellence. Crucial to the ability to meet the expectations of dentist clients and their patients is understanding them. Therefore, we must learn to communicate better. Most of all, we must respect the expertise and skills of our colleagues in our mutual desire to meet the needs and expectation of patients.

Acknowledgments

The author would like to thank the following clinicians: Dr. Cheryl Pearson, DMD (Figures 1-8); Angie Gribble-Hedlund, DMD (Figure 12); and Charles C. Cooper, DMD (Figures 13-14 and Figures 17-18).

References

1. Raptis NV, Michalakis KX, Hirayama H. Optical behavior of current ceramic systems. Int J Periodontics Restorative Dent. 2006;26(1):31-41.

2. Herrguth M, Wichmann M, Reich S. The aesthetics of all-ceramic veneered and monolithic CAD/CAM crowns. J Oral Rehabil. 2005;32(10):747-752.

3. Luo XP, Zhang L. Effect of veneering techniques on color and translucency of Y-TZP. J Prosthodont. 2010;19(6):465-470.

4. Volpato CA, Monteiro S Jr, de Andrada MC, Fredel MC, Petter CO. Optical influence of the type of illuminant, substrates and thickness of ceramic materials. Dent Mater. 2009;25(1):87-93.

5. Culp L, McLaren EA. Lithium disilicate: the restorative material of multiple options. Compend Contin Educ Dent. 2010;31(9):716-725.

6. Reynolds JA, Roberts M. Lithium-disilicate pressed veneers for diastema closure. Inside Dentistry. 2010;6(5):46-52.

About the Author

Pinhas Adar, MDT, CDT
Adar Dental Network
Oral Design Center, Atlanta
Atlanta, GA USA

To read part 1, please visit insidedentaltech.com/idt749

Screw-retained zirconia (Prettau Zirconia) implant framework after milling.

Figure 1

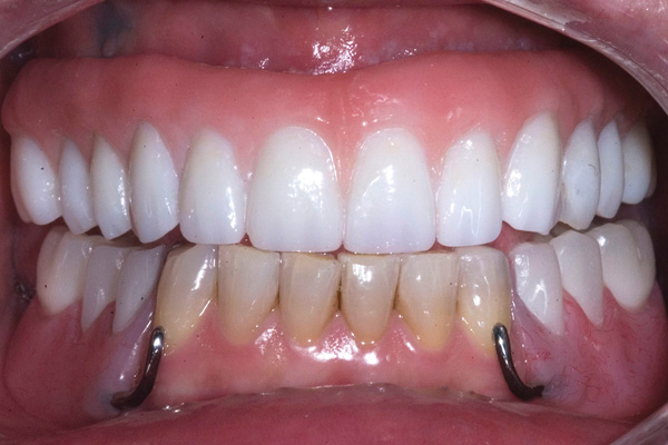
The patient and dentist were unhappy with the typical screw-retained zirconia restoration after delivery (Prettau Zirconia).

Figure 2

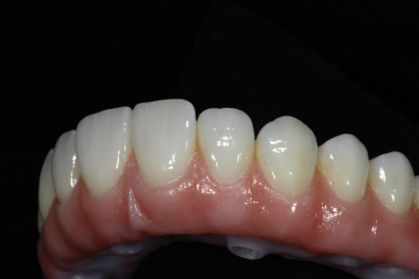
Typical monolithic full-contour zirconia screw-retained bridge (Prettau Zirconia).

Figure 3

Same product but a different outcome with the monolithic full-contour zirconia screw-retained bridge (Prettau Zirconia).

Figure 4

The screw-retained implant restorations are designed and copy milled using CAD/CAM technology with a minimal cut-back for pink and enhanced shape and detail as well as coloring with the human touch at the green stage.

Figure 5

The screw-retained implant restorations are designed and copy milled using CAD/CAM technology with a minimal cut-back for pink and enhanced shape and detail as well as coloring with the human touch at the green stage.

Figure 6

The screw-retained zirconia (Prettau Zirconia) implant framework after sintering.

Figure 7

View of the screw-retained monolithic implant bridge with pink ceramic application.

Figure 8

Cementation of the titanium abutment in the laboratory using a universal resin cement (Multilink Implant Resin Cement, Ivoclar Vivadent, ivoclarvivadent.com).

Figure 9

Cementation of the titanium abutment in the laboratory using a universal resin cement (Multilink Implant Resin Cement, Ivoclar Vivadent, ivoclarvivadent.com).

Figure 10

View of a broken full-contour zirconia restoration that resulted from not following the required processing protocols.

Figure 11

View of a highly esthetic monolithic IPS e.max lithium disilicate crown after staining and glazing.

Figure 12

Preoperative view of a patient unhappy with the esthetics of his smile.

Figure 13

Preoperative view of a patient unhappy with the esthetics of his smile.

Figure 14

Pressed IPS e.max lithium disilicate LT BL2 ingot minimally cut back for ceramic application.

Figure 15

View of the restorations after glaze and manual polishing

Figure 16

View of the lithium disilicate restorations after seating the case with adhesive bonding protocol.

Figure 17

CREDITS: 0
AGD CODE: 610 - Fixed Prosthodontics
COST: $0
PROVIDER: Conexiant Education
SOURCE: Inside Dental Technology | December 2014

Learning Objectives:

  • Discuss the elements of a fabrication process for an all-ceramic restoration with a zirconia core
  • Communicate effectively with patients
  • Describe the difference a skilled ceramist brings to an esthetic restoration

Disclosures:

The author reports no conflicts of interest associated with this work.

Queries for the author may be directed to justin.romano@broadcastmed.com.