Contemporary Metal-Free Partial Dentures: Overview and Case Reports

Ibrahim Duqum, DDS, MS; David Avery, CDT, AAS; Gustavo Mendonca, DDS, MS, PhD; Michael Costa, BS, DDS; Carlos Barrero, DDS, MS

July 2014 Issue - Expires Monday, July 31st, 2017

Inside Dental Technology

Abstract

Removable partial dentures fabricated using contemporary thermoplastic resin materials such as acetal resin present a viable treatment option for patients who are partially edentulous. Acetal resin has other related restorative applications due to its excellent physical and chemical properties and improved esthetics compared to conventional cast alloys and acrylic materials. This article will present an overview of the clinical applications of this innovative substance and discuss two clinical cases to highlight the clinical and laboratory procedures.

You must be signed in to read the rest of this article.

Login Sign Up

Registration on CDEWorld is free. You may also login to CDEWorld with your DentalAegis.com account.

Complete and partial edentulism is expected to be an increasing problem worldwide, resulting in more of these patients appearing in dental offices.1,2 For the rehabilitation of the partially edentulous patient, multiple treatment options are often considered, including removable partial implant-retained overdentures, removable partial dentures (RPDs), fixed partial dentures, and fixed implant-supported prostheses.3 Although each of the aforementioned treatments has its respective advantages, disadvantages, and specific indications, findings from a recent systematic review did not show sufficient evidence to favor one particular method for replacing missing teeth in the partially edentulous patient.4 Thus, dental teams should be familiar with the various treatment options and contemporary materials employed to restore and rehabilitate these cases.

The use of RPDs can provide a successful functional and esthetic outcome for the partially edentulous patient and is an acceptable alternative to a more expensive and involved treatment option.5-7 Moreover, in some situations, RPDs can present a long-term provisional choice in preparation for a fixed or implant-supported reconstruction. In a similar related application, the overlay removable partial prosthesis can be used to alter the occlusal vertical dimension (OVD) in tooth wear and open-bite situations, providing a critical diagnostic and functional assessment for future reconstructions.8-10

Dental materials for various restorative and prosthetic procedures are constantly improving, including substances used for removable partial denture constructions. For the past two decades, the proliferation of computer-aided design and computer-aided manufacturing (CAD/CAM) concepts have positively impacted dentistry.. The application of CAD/CAM designs has resulted in the introduction of new materials in prosthodontics, leading to stronger and more esthetic prostheses.11 In the field of removable partial dentures, the availability of digital design of RPD frameworks followed by the introduction of 3D wax printing has optimized the manufacturing process.12 On the materials side, the use of thermoplastic resin for the fabrication of removable partial denture frameworks and clasps has expanded recently. Acetal resin can be utilized for multiple prosthetic applications and provides tremendous advantages due to its strength, stiffness, and esthetics. Acetal was introduced as a viable material for the fabrication of tooth-colored RPD clasps in the early 1970s after the introduction of rapid injection systems.13 Since then, this substance has undergone various improvements, particularly in the thermoplastic presses that expanded its application in contemporary restorative dentistry.14 This article will review the acetal resin prosthetic applications and manufacturing and present two case reports demonstrating the use of this material in clinical practice.

Prosthetic Applications

Acetal resin, or polyoxymethylene, is a thermoplastic resin commonly used for injection molding applications and is among the strongest and stiffest in this category. Acetal copolymers are well-known for their fatigue- and wear-resistance, as well as their high chemical resistance and dimensional stability.

Acetal resins provide outstanding consistency of properties and color. They have exceptional solvent resistance and are virtually unaffected by the use of strong bases. Acetals are rigid, creep resistant, and strong. They possess low coefficients of friction and remain stable at high temperatures, even for extended use.

The primary application for this material has been for RPD frameworks (Figure 1).

The designs for the frameworks follow the classic mesh-retentive protocol of cast-metal frameworks, allowing the processing of prosthetic teeth with methyl methacrylate resin. The routine clinical management for a removable partial denture involves tissue modifications such as adjustment and relines to compensate for ridge resorption. These adjustments are challenging or impossible with all-thermoplastic RPD materials retaining the prosthetic teeth. Also, this material can be used for clasp fabrication that can be incorporated in classic cast-metal partial dentures for esthetic reasons (Figure 2).

Features of Acetal Resin

The use of acetal resin provides many advantages.

High strength, stiffness, and toughness
High wear resistance
High melting point
Good frictional properties
Low moisture absorption
Creep- and fatigue-resistant
Easily machined and fabricated

Additional Applications

Unilateral RPD: The use of these appliances is controversial due to concerns of dislodgement and possible aspiration. Nevertheless, unilateral RPDs are immensely popular with patients in states that allow prescriptions. Clinicians routinely apply these devices for the transitional treatment of a single posterior tooth during osteointegrative healing of implants. The RPD can be fabricated as a solid appliance or with a prosthetic tooth cured into the site with methyl methacrylate resin. If a unilateral design is not preferred, the RPD can be made with cross-arch stabilization similar to metal framework RPDs (Figure 3).

Short-Span Posterior Implant Provisional: A clever technique for the temporization of one or two missing posterior teeth during implant healing is the development of a pontic supported by “sleeve” retainers covering the adjacent abutment teeth. The occlusal contacts are left uncovered, eliminating any effect on the occlusion (Figure 4 and Figure 5).

Esthetic Overlay: Popularized by a similar material, the material’s flexible, yet durable, nature lends itself to application as a transitional esthetic overlay of teeth in need of esthetic reconstruction (Figure 6).

Occlusal Overlay: The same properties mentioned above serve well in the treatment of severe posterior tooth wear (Figure 7).

Case Report 1

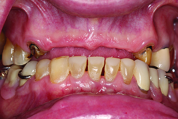
A 63-year-old African-American female presented at the University of North Carolina General Dentistry Student Clinic with a chief complaint that she was missing posterior teeth on both arches and said she would like to replace them (Figure 8).

The patient was concerned about esthetics because she was a school teacher. Her dental history revealed that she had removable partial cobalt chromium dentures that no longer fit and she had not used them for a long period. Her medical history at the initial examination revealed that she had type 2 diabetes mellitus, hypertension, and hyperlipidemia, all of which was controlled. However, she had no medical contraindication for dental care or oral surgical procedures.

The patient was presented with multiple treatment options to address her dental problems, including cast-metal partial dentures, acetal resin flexible partial dentures, and implants to replace the missing teeth and provide a first-molar occlusion. The patient initially opted for implants. During the planning phase for the implant therapy, the patient was hospitalized due to her diabetes and her physician advised against this first choice. Thus, the patient’s treatment plan was modified, and she consented to receiving acetal resin RPDs versus cast-metal RPDs due to her esthetic concerns.

A conventional RPD treatment protocol started with designing the RPDs and was followed by tooth and mouth preparation and final impressions. The RPD frameworks were fabricated using acetal resin (Myerson DuraCetalTM, www.duracetal.com) by Drake Precision Dental Laboratory in Charlotte, North Carolina (Figure 9).

After a successful framework try-in, a maxillomandibular record was obtained, denture teeth (BlueLine® DCL Esthetic Denture Teeth, Ivoclar Vivadent, www.ivoclarvivadent.com) were set to a lingualized occlusal scheme, and a denture wax try-in was completed clinically (Figure 10).

After the denture wax try-in appointment and patient approval, the RPDs were processed and inserted, and necessary clinical adjustments were made (Figure 11, Figure 12, Figure 13)

Postinsertion evaluation appointments were performed, and the patient was extremely satisfied with the treatment and minimal adjustments were needed.

Case Report 2

A 65-year-old Caucasian male presented for treatment at the University of North Carolina Dental Faculty Practice. The patient’s chief complaint was the appearance of his teeth, which looked short and had insufficient display when he smiled. The patient was partially edentulous in both the maxillary and mandibular arches and was wearing a cast mandibular RPD and a maxillary interim acrylic RPD. Findings from the clinical and radiographic examinations revealed moderate tooth wear on the posterior teeth and prepared maxillary canines without overlying extracoronal restorations. The prepared teeth were discolored, but no caries was detected clinically when examined using a caries detection solution. Also, the maxillary right first premolar had a coronal fracture and significant tooth wear. The prepared canine teeth were vital with limited interocclusal clearance available for any restorative material at the existing OVD (Figure 14).

The patient’s existing removable prostheses were evaluated clinically. The prosthetic teeth on both RPDs were worn, and after the OVD was assessed with the existing removable prosthesis, it was determined to be reduced significantly. Before making any decision on the type of treatment, the choice was made to first correct the OVD with an interim esthetic overlay acetal resin RPD.

Impressions of the maxillary and mandibular arches were made with irreversible hydrocolloid. Determination of the OVD was accomplished by phonetic and facial-appearance methods and was recorded using occlusal rims and bite-registration material in centric relation (CR). The difference between the OVD and vertical dimension at rest (VDR) was 5 mm. Therefore, the dental team decided to increase the OVD by 2 mm. The maxillary cast was mounted on a semi-adjustable articulator, using a facebow record. The mandibular cast was mounted, utilizing occlusal records in CR.

Mounted casts were scanned, and maxillary anterior teeth were designed using a 3Shape scanner and software (3Shape, www.3shape.com) by Drake Precision Dental Laboratory (Figure 15).

Maxillary RPD framework and anterior teeth patterns were produced using rapid prototyping 3D resin printing. Remaining parts of the overlay removable partial overdenture were waxed conventionally.

The wax pattern was invested, and the protocol for the fabrication of DuraCetal thermoplastic RPD framework was followed, utilizing the FlexPressTM Automated Digital Injection System (Myerson DuraCetal, www.duracetal.com) by Drake Precision Dental Laboratory. The removable partial overdenture was divested, finished, and polished using regular procedures (Figure 16).

The overlay partial was seated clinically, and minor adjustments were made to allow for full seating and occlusal equilibration centric and eccentric positions (Figure 17).

The interim overlay RPD in this situation was used to determine if the patient would tolerate the proposed change in OVD and if improved esthetics and orientation of the plane of occlusion would result. This critical information was used to formulate an acceptable definitive treatment plan to address the patient’s esthetic and functional needs. The definitive treatment plan may include implants, fixed prosthodontics, removable prosthodontics, or a combination of these therapies.

Discussion

With steady growth of a geriatric population that includes a high percentage of partially edentulous patients, the use of RPDs will continue to be a viable treatment option.15,16 Traditionally, RPDs have inherent problems and do not deliver high patient satisfaction.17 Moreover, evidence is contradictory regarding the long-term effect of RPDs on the adjacent teeth.5,18,19 A number of factors are involved in the outcome of RPDs, including patient considerations, RPD material/design, and the quality of the prostheses, in addition to issues related to long-term maintenance and follow-up.16,20

Improvements and advancements in materials technology have resulted in expanding the treatment options and overcoming some of the problems associated with traditional treatment options and patient outcomes. Contemporary thermoplastic resin provides a viable treatment choice for the partially edentulous patient. It can be used to fabricate RPD frameworks or RPD clasps that can be incorporated in traditional cast RPD frameworks because of its advantageous physical and chemical properties.21,22 In addition, this material can be utilized in various clinical applications and challenging situations, such as long-term provisional prostheses, bite splints, and overlay prosthesis. Acetal resin is available in tooth-colored and gingival-colored options, which make it an esthetic option for such applications. The prosthetic teeth can either be made of acetal resin, resulting in solid appliances, or regular denture teeth that can be incorporated in a traditional RPD protocol. The resulting prosthesis can be relined and adjusted easily if needed, which provides an advantage over previously used thermoplastic flexible removable prostheses. This material is more rigid and thus more suitable to be used for RPD major connectors and frameworks. Moreover, the clasps made of acetal resin do not have to cover the gingival area of the teeth like previously used flexible thermoplastic materials and can be completely tooth bound, which may result in better periodontal response.

A treatment protocol similar to traditional cast RPDs can be followed when acetal resin material is considered. This includes tooth and mouth preparation to allow for acceptable framework design for major connectors, minor connectors, rest seats, and clasps. Due to the difference in the material strength, toughness, and flexibility, some design and preparation differences have to be considered. For example, the rest seats preparation have to be slightly deeper than rest seats for cast RPDs due to the material strength and rigidity. Similarly, the clasps should be designed to be shorter and thicker to have less flexibility and more retentive force. Moreover, they can be placed in slightly deeper undercuts in comparison to cast metal clasps as this material shows high resiliency and minimal deformation.23 However, acetal resin clasps cannot be adjusted and adapted to undercut areas using pliers similar to cast RPD clasps. If a better adaptation of the clasp to the undercut area is needed, the framework can be seated on the working model and heated slightly with an alcohol torch to make acetal resin more malleable and then adapt it to the undercut area. This is possible because the material is thermoplastic, but caution should be exercised to avoid burning and warping the framework, which would require a complete remake.

Acetal resin has adequate color stability, making it attractive for patients with high esthetic demands who would like to avoid cast-metal clasps and frameworks, as well as for patients who are sensitive to metal alloys.24 The fabrication technique is similar to conventional cast-frame RPDs. The processing of a cast RPD framework involves the investing and casting of RPD alloy into a superheated mold, while the processing of an acetal resin RPD framework requires the injection of the thermoplastic acetal resin into a mold. Similar to any other contemporary restorative material, more clinical research is needed to better clarify and specify the application of this substance and its clinical outcomes. Nonetheless, acetal resin seems to be a valuable prosthetic material with excellent potential.

Conclusions

Removable partial dentures are and will continue to be one of the main treatment options for partially edentulous patients. Thus, improvements and advancements of the material options, techniques, and procedures are needed to improve patient outcomes.

Acetal resin is a viable material that can be used in various prosthetic applications with adequate predictability.

More research and clinical studies are needed to validate and assess the use of acetal resin and its clinical applications. Also, additional research is needed to specify the ideal mouth preparations and framework design of acetal resin prostheses for improved clinical outcomes.

References

1. Douglass CW, Shih A, Ostry L. Will there be a need for complete dentures in the United States in 2020? J Prosthet Dent. 2002;87(1):5-8.

2. Douglass CW, Watson AJ. Future needs for fixed and removable partial dentures in the United States. J Prosthet Dent. 2002;87(1):9-14.

3. Budtz-Jorgensen E. Restoration of the partially edentulous mouth--a comparison of overdentures, removable partial dentures, fixed partial dentures and implant treatment. J Dent. 1996;24(4):237-244.

4. Abt E, Carr AB, Worthington HV. Interventions for replacing missing teeth: partially absent dentition. Cochrane Database Syst Rev. 2012;2:CD003814.

5. Rehmann P, Orbach K, Ferger P, Wostmann B. Treatment outcomes with removable partial dentures: a retrospective analysis. Int J Prosthodont. 2013;26(2):147-150.

6. Vanzeveren C, D’Hoore W, Bercy P, Leloup G. Treatment with removable partial dentures: a longitudinal study. Part II. J Oral Rehabil. 2003;30(5):459-469.

7. Vanzeveren C, D’Hoore W, Bercy P, Leloup G. Treatment with removable partial dentures: a longitudinal study. Part I. J Oral Rehabil. 2003;30(5):447-458.

8. Brown KE. Reconstruction considerations for severe dental attrition. J Prosthet Dent. 1980;44(4):384-388.

9. Del Castillo R, Lamar F Jr, Ercoli C. Maxillary and mandibular overlay removable partial dentures for the treatment of posterior open-occlusal relationship: a clinical report. J Prosthet Dent. 2002;87(6):587-592.

10. Ganddini MR, Al-Mardini M, Graser GN, Almog D. Maxillary and mandibular overlay removable partial dentures for the restoration of worn teeth. J Prosthet Dent. 2004;91(3):210-214.

11. Davidowitz G, Kotick PG. The use of CAD/CAM in dentistry. Dent Clin North Am. 2011;55(3):559-70, ix.

12. Kreyer R. Digital partial design and manufacturing using 3D printing technology to fabricate removable partial denture frameworks. Inside Dental Technology. 2012;3(7):44-47.

13. Donovan TE, Cho GC. Esthetic considerations with removable partial dentures. J Calif Dent Assoc. 2003;31(7):551-557.

14. Phoenix RD, Mansueto MA, Ackerman NA, Jones RE. Evaluation of mechanical and thermal properties of commonly used denture base resins. J Prosthodont. 2004;13(1):17-27.

15. Jones JD, Turkyilmaz I, Garcia LT. Removable partial dentures--treatment now and for the future. Tex Dent J. 2010;127(4):365-372.

16. Hummel SK, Wilson MA, Marker VA, Nunn ME. Quality of removable partial dentures worn by the adult U.S. population. J Prosthet Dent. 2002;88(1):37-43.

17. Bilhan H, Erdogan O, Ergin S, et al. Complication rates and patient satisfaction with removable dentures. J Adv Prosthodont. 2012;4(2):109-115.

18. Aquilino SA, Shugars DA, Bader JD, White BA. Ten-year survival rates of teeth adjacent to treated and untreated posterior bounded edentulous spaces. J Prosthet Dent. 2001;85(5):455-460.

19. Jorge JH, Quishida CC, Vergani CE, et al. Clinical evaluation of failures in removable partial dentures. J Oral Sci. 2012;54(4):337-342.

20. Inukai M, Baba K, John MT, Igarashi Y. Does removable partial denture quality affect individuals’ oral health? J Dent Res. 2008;87(8):736-739.

21. Turner JW, Radford DR, Sherriff M. Flexural properties and surface finishing of acetal resin denture clasps. J Prosthodont. 1999;8(3):188-195.

22. Singh K, Aeran H, Kumar N, Gupta N. Flexible thermoplastic denture base materials for aesthetical removable partial denture framework. J Clin Diagn Res. 2013;7(10):2372-2373.

23. Arda T, Arikan A. An in vitro comparison of retentive force and deformation of acetal resin and cobalt-chromium clasps. J Prosthet Dent. 2005;94(3):267-274.

24. Ozkan Y, Arikan A, Akalin B, Arda T. A study to assess the colour stability of acetal resins subjected to thermocycling. Eur J Prosthodont Restor Dent. 2005;13(1):10-14.

About the authors

Ibrahim Duqum, DDS, MS
Clinical Assistant Professor, Director of Oral Health Innovation Center, Department of Prosthodontics, School of Dentistry, University of North Carolina at Chapel Hill
Chapel Hill, NC

David Avery, CDT, AAS
Director of Professional Services, Drake Precision Dental Laboratory,
Charlotte, NC

Gustavo Mendonca, DDS, MS, PhD
Clinical Assistant Professor, Department of Prosthodontics, School of Dentistry, University of North Carolina at Chapel Hill
Chapel Hill, NC

Michael Costa, BS, DDS
Dental Corps, US Navy
2nd Dental Battalion
Camp Lejeune, NC

Carlos Barrero, DDS, MS
Clinical Associate Professor, Department of Prosthodontics, School of Dentistry, University of North Carolina at Chapel Hill
Chapel Hill, NC

Fig 1. Removable partial denture framework fabricated using acetal resin.

Figure 1

Fig 2. Acetal resin clasp incorporated in classic cast-metal RPD for improved esthetics.

Figure 2

Fig 3. Acetal resin RPD after few years in service. Notice the cross-arch stabilization.

Figure 3

Fig 4. Short-span acetal resin implant provisional. (Photograph courtesy of Dr. David A. Little.)

Figure 4

Fig 5. Short-span acetal resin implant provisional in place. (Photograph courtesy of Dr. David A. Little.)

Figure 5

Fig 6. Esthetic overlay acetal resin removable partial overdenture.

Figure 6

Fig 7. Occlusal view of overlay acetal resin partial overdenture framework. (Photograph courtesy of Dr. Ingeborg De Kok.)

Figure 7

Fig 8. Intraoral pre-operative photograph showing multiple missing posterior teeth in both arches.

Figure 8

Fig 9. Occlusal view of maxillary RPD framework on working model.

Figure 9

Fig 10. Denture wax try-in of maxillary and mandibular RPDs.

Figure 10

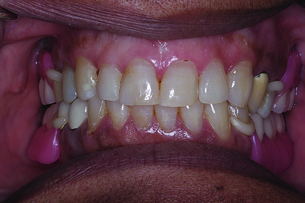
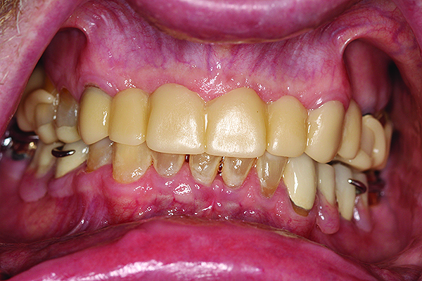
Fig 11. Maxillary and mandibular RPDs.

Figure 11

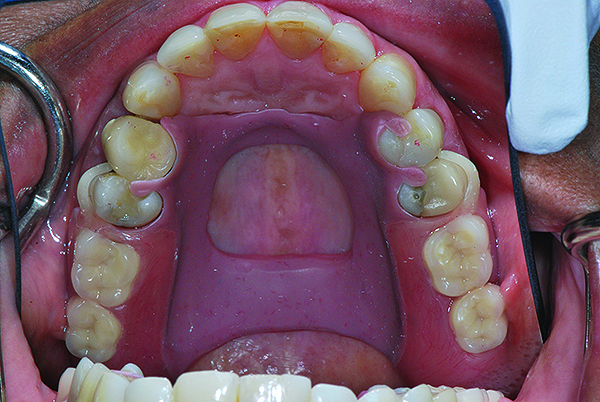
Fig 12. Occlusal view of maxillary RPD at time of insertion.

Figure 12

Fig 13. Occlusal view of mandibular RPD at time of insertion.

Figure 13

Fig 14. Pre-operative condition. Notice prepared maxillary canines with limited interocclusal clearance at existing OVD mainly on the left side.

Figure 14

Fig 15. Maxillary anterior teeth digital design using CAD/CAM software.

Figure 15

Fig 17. Completed maxillary overlay acetal resin removable partial overdenture.

Figure 17

CREDITS: 0
AGD CODE: 670 - Partial Dentures
COST: $0
PROVIDER: Conexiant Education
SOURCE: Inside Dental Technology | July 2014

Learning Objectives:

  • summarize the treatment options for partially edentulous patients and how contemporary restorative materials and techniques help address patients’ needs.
  • understand the clinical applications for acetal resin frameworks.
  • discuss the advantages and limitations of acetal resin removable partial prostheses.

Disclosures:

The author reports no conflicts of interest associated with this work.

Queries for the author may be directed to justin.romano@broadcastmed.com.