Bonding to Ceramics: Ensuring the Best Possible Outcome in a Variety of Patient Situations

Ricardo Walter, DDS, MS; Markus B. Blatz, DMD, PhD

March 2014 Issue - Expires Friday, March 31st, 2017

Inside Dental Technology

Abstract

The increasing number of restorative options for the esthetic treatment of severely dam¬aged dentition results in an increasing difficulty in the decision-making process. Once the restorative material has been chosen, based in factors such as location and occlusion, the dentition is prepared accordingly and the restoration delivered. Depending on the type of material selected, the restoration may be conventionally or adhesively cemented. In the case of adhesive cementation, several procedures can and should be performed to allow for the best possible outcome. This review presents the latest literature on the topic discussing the available materials and techniques for use with dental ceramics. Protocols for bonding to the different types of dental ceramics are suggested.

You must be signed in to read the rest of this article.

Login Sign Up

Registration on CDEWorld is free. You may also login to CDEWorld with your DentalAegis.com account.

The increasing numbers and variety of indirect esthetic restorative materials have challenged dental professionals when developing custom protocols for each patient situation. The challenge arises because of the existing differences in material substrates, with some being etchable, some requiring bonding for reinforcement, and so forth (Figure 1).1 Nevertheless, proper surface treatment based on each material’s peculiarities allows for the best outcome possible (Figure 2). This review will address the current literature on adhesion as it relates to ceramic restorations for dental use.

The success of dental ceramic restorations in various clinical scenarios can be greatly attributed to their stability and consequent biocompatibility. Whether conservatively improving esthetics or replacing missing teeth, ceramic restorations have been used for decades. A recent meta-analysis looking at the clinical survival of ceramic veneers found an adequate survival with low complications rates for feldspathic and pressed ceramics. Only a few debonding cases were noticed in 900+ restorations delivered.2 When replacing missing anterior teeth, a prospective study with short-span fixed partial dentures (FPDs) made on lithium disilicate-based cores showed a survival rate of 71% at 10 years with only one of 21 three-unit FPDs debonding during the evaluation time.3 More resilient restorations made of oxide ceramics also may be used in situations where adhesive cementation is required, despite questionable in vitro bonding results. 4 Clinical studies on oxide ceramic-based restorations have shown minimal loss of retention of FPDs over a period of 5-years.5-7 Successful use for the delivery of single-unit crowns to zirconia and titanium abutments8 and for delivery of resin-bonded fixed partial dentures9 have been reported when adhesively cemented.

To achieve such excellent outcomes, specific clinical protocols should be followed, particularly when adhesive cementation is required. In that regard, hydrofluoric acid (HF), airborne particle abrasion, tribochemical silica coating, and different silane and primer agents are part of suggested clinical protocols. The available in vitro literature on the topic, giving special emphasis to studies where specimens were submitted to some aging processes, will be discussed in the following paragraphs.

Hydrofluoric Acid (HF)

With concentrations ranging from 2.5% to 10%, HF is a better alternative than airborne particle abrasion for treatment of silica-based ceramics.10 Removal of the glassy matrix and exposure of crystalline structures by HF will increase surface roughness and consequently mechanical retention, without damaging the brittle structure. Surface treatment with HF has proven to work when used with silane for bonding of feldspathic veneers in the long-term (Figure 3 through Figure 5).11 This treatment combination, which is commonly used when delivering silica-based ceramics, also is required when self-adhesive resin cements are chosen.12 While agreement in the treatment sequence of silica-based ceramics exists, there is no consensus on the concentration and time of application of each component. Despite the common recommendation of from 2 to 3 minutes, HF may not be needed for more than 40 seconds, as shown by Naves and colleagues.13 The concentration of the acid and crystalline content of the ceramic will dictate the treatment time. Once applied, the methodologies for its removal—namely ultrasonic cleaning and air stream—have shown minimal effect14,15 on bonding. Also, neutralization of HF seems to be an unnecessary step.16 Other techniques involving the use of acids have been described and may improve bonding to oxide ceramics. In one of them, a selective infiltration etching technique, uses a glass conditioning agent to coat the ceramic surface prior to being heated. The glass is then dissolved in acid bath, leaving a rough surface, which allows for a better bonding compared to airborne particle abrasion.17 In another, the use of an experimental hot (100° C) acid composed of HCl and FeCl3 has shown increased surface roughness of two oxide ceramics compared to airborne particle abrasion and selective infiltration etching, which might improve adhesion.18

Silanization and Primer Application

Used with HF, silane agents have been recommended to improve the interaction between silica-based ceramics and resin cements19 and might have its effects boosted by heating after application. With the intention of evaporating solvents and increasing cross-linking, heating of silane agents may be performed using different protocols and that also may affect the outcome. While oven drying (or heating) of the silane may improve its effects on silica-based ceramics, hot water rinsing may not work that well.20,21 When used with oxide ceramics, silane agents should be used after tribochemical silica coating of the surface.22 Alternatively, phosphate monomer-containing ceramic primers may be used on airborne particle abraded surfaces.19

Airborne Particle Abrasion, Tribochemical Silica Coating, and Laser Treatments

These modalities of pretreatment are mostly recommended for modification of oxide ceramics prior to adhesive cementation (Figure 6 and Figure 7). Airborne particle abrasion (Figure 8) and tribochemical silica coating (Figure 9) have been shown to improve adhesion (Figure 10)23-27 at similar levels28 with no differences in outcomes for different granulation sizes of aluminum oxide powder.29 Meanwhile, laser irradiation of the oxide ceramics has shown no advantage.30

Other Techniques

Alterations of the surface to be bonded with liners, coatings, and glaze have also been proposed aiming improvement of adhesion. They all have shown promising results depending on the combination of materials and techniques.31-35

References

1. Kelly JR. Dental ceramics: what is this stuff anyway? J Am Dent Assoc. 2008;139(Suppl):4S-7S.

2. Petridis HP, Zekeridou A, Malliari M, et al. Survival of ceramic veneers made of different materials after a minimum follow-up period of five years: a systematic review and meta-analysis. Eur J Esthet Dent. 2012;7(2):138-152.

3. Solá-Ruiz MF, Lagos-Flores E, Román-Rodriguez JL, et al. Survival rates of a lithium disilicate-based core ceramic for three-unit esthetic fixed partial dentures: a 10-year prospective study. Int J Prosthodont. 2013;26(2):175-180.

4. Behr M, Proff P, Kolbeck C, et al. The bond strength of the resin-to-zirconia interface using different bonding concepts. J Mech Behav Biomed Mater. 2011;4(1):2-8.

5. Sailer I, Fehér A, Filser F, et al. Five-year clinical results of zirconia frameworks for posterior fixed partial dentures. Int J Prosthodont. 2007;20(4):383-388.

6. Molin MK, Karlsson SL. Five-year clinical prospective evaluation of zirconia-based Denzir 3-unit FPDs. Int J Prosthodont. 2008;21(3):223-227.

7. Sorrentino R, De Simone G, Tetè S, et al. Five-year prospective clinical study of posterior three-unit zirconia-based fixed dental prostheses. Clin Oral Investig. 2012;16(3):977-985.

8. Zembic A, Bösch A, Jung RE, et al. Five-year results of a randomized controlled clinical trial comparing zirconia and titanium abutments supporting single-implant crowns in canine and posterior regions. Clin Oral Implants Res. 2013;24(4):384-390.

9. Kern M, Sasse M. Ten-year survival of anterior all-ceramic resin-bonded fixed dental prostheses. J Adhes Dent. 2011;13(5):407-410.

10. Brum R, Mazur R, Almeida J, et al. The influence of surface standardization of lithium disilicate glass ceramic on bond strength to a dual resin cement. Oper Dent. 2011;36(5):478-485.

11. Layton DM, Walton TR. The up to 21-year clinical outcome and survival of feldspathic porcelain veneers: accounting for clustering. Int J Prosthodont. 2012;25(6):604-612.

12. Souza RO, Castilho AA, Fernandes VV, et al. Durability of microtensile bond to nonetched and etched feldspar ceramic: self-adhesive resin cements vs conventional resin. J Adhes Dent. 2011;13(2):155-162.

13. Naves LZ, Soares CJ, Moraes RR, et al. Surface/interface morphology and bond strength to glass ceramic etched for different periods. Oper Dent. 2010;35(4):420-427.

14. Attia A, Lehmann F, Kern M. Influence of surface conditioning and cleaning methods on resin bonding to zirconia ceramic. Dent Mater. 2011;27(3):207-213.

15. Attia A, Kern M. Long-term resin bonding to zirconia ceramic with a new universal primer. J Prosthet Dent. 2011;106(5):319-327.

16. Amaral R, Ozcan M, Bottino MA, Valandro LF. Resin bonding to a feldspar ceramic after different ceramic surface conditioning methods: evaluation of contact angle, surface pH, and microtensile bond strength durability. J Adhes Dent. 2011;13(6):551-560.

17. Aboushelib MN. Evaluation of zirconia/resin bond strength and interface quality using a new technique. J Adhes Dent. 2011;13(3):255-260.

18. Casucci A, Mazzitelli C, Monticelli F, et al. Morphological analysis of three zirconium oxide ceramics: Effect of surface treatments. Dent Mater. 2010;26(8):751-760.

19. Azimian F, Klosa K, Kern M. Evaluation of a new universal primer for ceramics and alloys. J Adhes Dent. 2012;14(3):275-282.

20. de Carvalho RF, Martins ME, de Queiroz JR, et al. Influence of silane heat treatment on bond strength of resin cement to a feldspathic ceramic. Dent Mater J. 2011;30(3):392-397.

21. Corazza PH, Cavalcanti SC, Queiroz JR, et al. Effect of post-silanization heat treatments of silanized feldspathic ceramic on adhesion to resin cement. J Adhes Dent. 2013;15(5):473-479.

22. Matinlinna JP, Lassila LV. Enhanced resin-composite bonding to zirconia framework after pretreatment with selected silane monomers. Dent Mater. 2011;27(3):273-280.

23. Blatz MB, Phark JH, Ozer F, et al. In vitro comparative bond strength of contemporary self-adhesive resin cements to zirconium oxide ceramic with and without air-particle abrasion. Clin Oral Investig. 2010;14(2):187-192.

24. Shahin R, Kern M. Effect of air-abrasion on the retention of zirconia ceramic crowns luted with different cements before and after artificial aging. Dent Mater. 2010;26(9):922-928.

25. Yang B, Barloi A, Kern M. Influence of air-abrasion on zirconia ceramic bonding using an adhesive composite resin. Dent Mater. 2010;26(1):44-50.

26. May LG, Passos SP, Capelli DB, et al. Effect of silica coating combined to a MDP-based primer on the resin bond to Y-TZP ceramic. J Biomed Mater Res B Appl Biomater. 2010;95(1):69-74.

27. Passos SP, May LG, Barca DC, et al. Adhesive quality of self-adhesive and conventional adhesive resin cement to Y-TZP ceramic before and after aging conditions. Oper Dent. 2010;35(6):689-696.

28. Passos SP, Valandro LF, Bottino MA, et al. Shear bond strength of resin cement bonded to alumina ceramic after treatment by aluminum oxide sandblasting or silica coating. J Prosthodont. 2011;20(7):561-565.

29. Gomes AL, Castillo-Oyague R, Lynch CD, et al. Influence of sandblasting granulometry and resin cement composition on microtensile bond strength to zirconia ceramic for dental prosthetic frameworks. J Dent. 2013;41(1):31-41.

30. Foxton RM, Cavalcanti AN, Nakajima M, Pilecki P, et al. Durability of resin cement bond to aluminium oxide and zirconia ceramics after air abrasion and laser treatment. J Prosthodont. 2011;20(2):84-92.

31. Baldissara P, Querzè M, Monaco C, et al. Efficacy of surface treatments on the bond strength of resin cements to two brands of zirconia ceramic. J Adhes Dent. 2013;15(3):259-267.

32. Chen C, Kleverlaan CJ, Feilzer AJ. Effect of an experimental zirconia-silica coating technique on micro tensile bond strength of zirconia in different priming conditions. Dent Mater. 2012;28(8):e127-34.

33. Cura C, Özcan M, Isik G, Saracoglu A. Comparison of alternative adhesive cementation concepts for zirconia ceramic: glaze layer vs zirconia primer. J Adhes Dent. 2012;14(1):75-82.

34. Jevnikar P, Krnel K, Kocjan A, et al. The effect of nano-structured alumina coating on resin-bond strength to zirconia ceramics. Dent Mater. 2010;26(7):688-696.

35. Kitayama S, Nikaido T, Takahashi R, et al. Effect of primer treatment on bonding of resin cements to zirconia ceramic. Dent Mater. 2010;26(5):426-432.

36. Attia A. Bond strength of three luting agents to zirconia ceramic - influence of surface treatment and thermocycling. J Appl Oral Sci. 2011;19(4):388-395.

About the authors

Ricardo Walter, DDS, MS
Assistant Professor of Restorative Dentistry, Department of Preventive and Restorative Sciences
University of Pennsylvania School of Dental Medicine
Philadelphia, PA

Markus B. Blatz, DMD, PhD
Professor of Restorative Dentistry, Chairman of the Department of Preventive and Restorative Sciences
University of Pennsylvania School of Dental Medicine
Philadelphia, PA

Achieving Predictable Clinical Outcomes

Despite the materials and techniques available, bonding to any ceramic substrate is likely to deteriorate over time.36 Yet, predictable clinical outcomes can be achieved when specific protocols are followed. Based on the most recent literature, the following protocols are suggested.

Silica-Based Ceramics

1. Application of HF for 2 minutes
2. Silanization with optional post-treatment heating
3. Adhesive cementation
a. Light-cure resin cement for restorations thinner than 2 mm
b. Dual-cure resin cement otherwise

Oxide Ceramics (when adhesive cementation is required)

1. Airborne particle abrasion of the surface
2. Application of phosphate monomer-containing ceramic primer
3. Adhesive cementation with dual- or self-cure resin cement

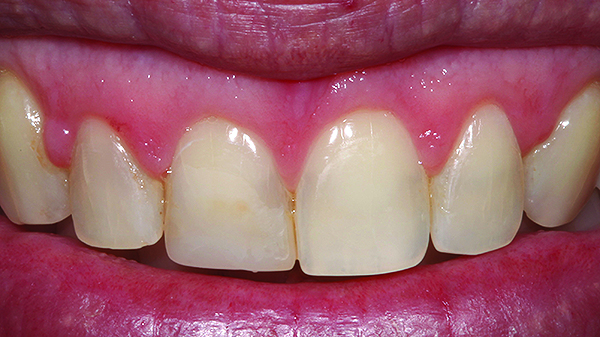
Fig 1. 45-year-old female with esthetically unpleasant direct composite veneer on tooth No. 8.

Figure 1

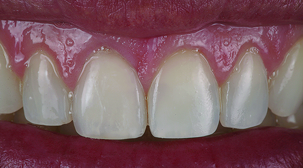
Fig 5. One-week follow-up of feldspathic porcelain veneer on tooth No. 8.

Figure 2

Fig 2. Intra-enamel preparation for feldspathic porcelain veneer.

Figure 3

Fig 4. Application of silane agent to improve interaction between feldspathic porcelain veneer and light-cure resin cement.

Figure 5

Fig 6. 17-year-old female with missing tooth No. 7 and intact adjacent teeth.

Figure 6

Fig 7. Cantilever single-retainer resin-bonded fixed partial denture made of zirconia (framework) replacing tooth No. 7.

Figure 7

Fig 8. Airborne particle abrasion treatment of the internal surface of the restoration.

Figure 8

CREDITS: 0
AGD CODE: 610 - Ceramic Restorations
COST: $0
PROVIDER: Conexiant Education
SOURCE: Inside Dental Technology | March 2014

Learning Objectives:

  • Discriminate among surface treatments needed prior to adhesive cementation of different types of ceramic
  • Sequence the surface treatment needed for any given ceramic prior to adhesive cementation
  • Recommend evidence-based treatments for adhesive cementation of any given ceramic

Disclosures:

The author reports no conflicts of interest associated with this work.

Queries for the author may be directed to justin.romano@broadcastmed.com.