Predictable and Efficient Delivery of Modern Ceramics

Clinton D. Stevens, DDS

March 2025 Issue - Expires Tuesday, August 31st, 2027

Inside Dental Technology

Abstract

High strength lithium-based glass ceramics and monolithic zirconia have largely replaced the use of other materials for indirect restorations. In addition, advancements in the chemistries of resin-based adhesives and their protocols have improved clinicians’ abilities to bond these materials in a variety of clinical circumstances where retention and resistance form are lacking. When preparations demonstrate ideal retention and resistance form, cementation may be preferred over bonding for thicker ceramic restorations; however, each material must be appropriately conditioned prior to placement, regardless of the mode of delivery. To help clinicians efficiently and predictably deliver ceramic restorations that demonstrate long-term success, this article examines the decontamination and conditioning needs of zirconia and glass ceramic materials, explores the decisions involved in choosing traditional or adhesive cementation, particularly as it relates to the retention and resistance form of the preparation and the characteristics of the material, and presents some of the special considerations involved when using monolithic zirconia.

You must be signed in to read the rest of this article.

Login Sign Up

Registration on CDEWorld is free. You may also login to CDEWorld with your DentalAegis.com account.

In the last 20 years, there has been a significant shift in dentistry toward the use of monolithic ceramics for single and multiunit indirect restorations. Gold castings, porcelain-fused-to-metal crowns, and layered zirconia-core crowns have been almost entirely replaced by high strength lithium-based glass ceramics and monolithic zirconia.1 At the same time, the chemistries of resin-based luting agents have significantly improved and almost wholly displaced the use of older types of cements, such as zinc phosphate and pure glass ionomers.2 Each of these changes has had a significant effect on the decision-making processes that clinicians use when choosing the best material and mode of delivery for a given patient solution. For hassle-free management of modern monolithic ceramics, clinicians require an understanding of the current best practices and guidelines.

Conditioning Modern Ceramics

The restorative material chosen plays an important role in the subsequent selection of a luting agent. Classic glass ceramics, such as feldspathic porcelains and leucite-reinforced ceramics, require bonding with a resin cement to ensure adequate fracture resistance. With the introduction of higher strength ceramics, such as lithium disilicate and monolithic zirconia, conventional cementation with a resin-modified glass-ionomer cement is an option, depending on the restoration's thickness and the preparation's parameters.

When choosing to use a resin cement, clinicians and clinical staff need to keep in mind that the appropriate pretreatment protocols for glass ceramics and monolithic zirconia are quite different and not interchangeable. Failure to appropriately manage the conditioning process of a ceramic can result in several possible adverse outcomes, including loss of retention and/or significant weakening of the material. Preferably, ceramic conditioning should be performed after a restoration has been tried in the mouth to limit possible contamination issues.

Whether the decision is made to use a glass ceramic or monolithic zirconia, it is critical that all involved in the process, including the clinician, auxiliary team members, and laboratory, know what material is being used and follow the manufacturer's instructions for use regarding the appropriate steps to condition it. Clinicians should have direct and specific conversations with their dental laboratories about what materials they are using and how they should be finished prior to leaving the laboratory. Too often, prescriptions for indirect restorations rely heavily on the laboratory for completion. Overly simplified prescriptions, such as "monolithic zirconia, A2" or "lithium disilicate, A3" can be fulfilled with a variety of materials that have different clinical indications and conditioning requirements. Without detailed communication, dental laboratories can become confused and erroneously choose an inappropriate material to use for a given clinical situation.3

Monolithic Zirconia

For monolithic zirconia, salivary contamination cannot be resolved by simply rinsing with water or etching with phosphoric acid. There are several products on the market that are effective in decontaminating zirconia that has been exposed to saliva (eg, ZirClean®, BISCO Inc.; Ivoclean, Ivoclar; KATANA Cleaner, Kuraray America).4,5 Other methods of decontaminating zirconia from saliva that have been shown to be effective include air abrasion and hydrofluoric acid.5 For maximum adhesion, the APC zirconia-bonding concept as described by Blatz and colleagues is indicated.6 In the first step of the APC zirconia-bonding concept, the intaglio surface of the restoration is air abraded with alumina or silica-coated alumina particles (ie, 50 to 60 microns) at low pressure (ie, below 2 bars). Next, the surface is coated with a dedicated zirconia primer. And finally, a resin cement is used to place the restoration. In an ideal scenario in which a restoration is properly conditioned this way following try-in, a decontamination product might not be needed.5

Recent in vitro data suggests that air abrading immediately prior to cementation produces significantly higher bond strengths than when there's a delay between air abrasion and delivery.7 However, many laboratories air abrade zirconia restorations prior to sending them to practices for delivery, which can potentially create complications. Because air abrasion can weaken many zirconia materials, multiple rounds of air abrasion are unwise. Therefore, if clinicians prefer to air abrade restorations themselves, they should communicate this to the laboratory. In situations in which restorations have already been air abraded by the laboratory, the use of a decontamination agent followed by a dedicated zirconia primer after try-in is preferred.

Glass Ceramics

The workflow for conditioning a glass ceramic restoration is quite different from that of monolithic zirconia. In general, glass ceramics are etched with hydrofluoric acid and then treated with a silane primer (eg, Ceramic Primer II, GC America; Monobond Plus®, Ivoclar; Clearfil Ceramic Primer Plus, Kuraray) to create an optimal surface for bonding. For clinicians who are receiving restorations from the laboratory that are already etched, it is important to silanate them prior to try-in. This should be done with gloved hands to avoid contaminating the surface of the restoration with oils from the skin. Following try-in, the restoration should be rinsed with water to eliminate any possible salivary contamination.8 An additional application of silane is unnecessary, but not harmful. Meanwhile, it is unwise for clinicians to re-etch glass ceramic restorations because this can have an adverse effect on their strength and/or bondability, depending on the type of ceramic. It is paramount that laboratories and clinicians pay close attention to both the concentration of the hydrofluoric acid and etching times. Different glass ceramics require different concentration and time combinations to achieve the best outcomes. Alternatively, clinicians can choose to use a newer class of product that both etches and primes to condition glass ceramics in a single step. With this type of product, research has demonstrated that the etching pattern exhibited in the glass ceramic is not nearly as pronounced as when a dedicated hydrofluoric acid etchant is used, but the bond strengths are similar if the product is used as directed.9 As a final note of caution, clinicians and their team members should be aware that the use of a "universal" dentin bonding agent in lieu of a dedicated silane-containing primer for glass ceramics can lead to lower bond strengths.10 In certain clinical scenarios, this loss of bond strength may not affect the success of restorations; however, when less retentive preparation designs are used, it could.

Conventional Cementation Versus Bonding

Although clinician preferences regarding material choices have drastically changed, preferences for tooth preparation designs and restoration delivery protocols have not. US practitioners still favor delivery with a glass-ionomer cement or resin-modified glass-ionomer cement a majority of the time.2 The reasons for this are quite apparent. In general, delivering a crown with a luting agent that does not require extra steps prior to cementation and allows for efficient cleanup is easier. However, depending on the type of tooth preparation and restorative material chosen, this approach does not always yield ideal clinical outcomes.

Conventional Retention and Resistance Form

Historically, the ideal retention and resistance form for a crown restoration was defined as a preparation with a circumferential wall height of 3 to 4 mm and an overall wall taper of 6° to 12°.11 Using these parameters, traditional cast gold crowns luted with zinc phosphate cement exhibited an excellent track record of long-term clinical survival. As a result, clinicians have continued to idealize these same parameters for crowns made from newer materials, including glass ceramics and monolithic zirconia.

For older glass ceramics, such as feldspathic porcelain and leucite-reinforced ceramics, delivery with a dentin bonding agent/resin cement combination is necessary to prevent restoration fracture, even with ideal retention and resistance form. For higher strength ceramics, such as lithium disilicate and monolithic zirconia, this is not necessarily the case. In situations in which an ideal retention and resistance form is present and a material thickness of at least 1.5 mm is achievable, high-strength ceramics can be predictably delivered with a resin-modified glass-ionomer cement. Based on in vitro12 and sparse in vivo13,14 data, certain monolithic zirconia materials can be thinner. An in-depth exploration of the types of monolithic zirconia is beyond the scope of this article; however, clinicians should be aware that different monolithic zirconia materials exist, which are classified primarily by their mol % yttria content.15 Although 5Y zirconia requires a material thickness of 1.5 mm, 3Y zirconia can likely be as thin as 0.5 mm, and 4Y zirconia is somewhere in-between, with recommendations ranging from 0.7 mm to 1.0 mm. Given that most dental burs have dimensions of 0.5 mm, 1.0 mm, 1.5 mm, etc, a reasonable approach is to target a minimal thickness of 0.5 mm for 3Y zirconia, 1.0 mm for 4Y zirconia and 1.5 mm for 5Y zirconia.

Reduced Retention and Resistance Form

For indirect restorations, such as inlays, onlays, veneers, and crowns, with reduced wall height and/or excessive wall taper, the use of a dentin bonding agent and resin cement is ideal. Both older and newer glass ceramics have a well-documented track record of success with this approach, regardless of the preparation type selected. Ideally, any enamel involved is etched with phosphoric acid and a dentin bonding agent is used. For glass ceramics that are less than 1.0-mm thick, a light-cure only resin cement might be preferred to minimize the risk for color shift over time (Figure 1 through Figure 3). Meanwhile, ceramic restorations that are greater than 1.0-mm thick are better delivered with a dual-cure resin cement to ensure adequate polymerization of the cement. In either case, photopolymerization of the dentin bonding agent prior to placement of the restoration with resin cement produces much higher bond strengths. Practitioners using dentin bonding agents with low film thicknesses (ie, 5 to 25 microns) should be able to predictably perform this step at the time of delivery. Practitioners who choose to use dentin bonding agents with higher film thicknesses must either co-polymerize the dentin bonding agent with the resin cement, which can lead to lower bond strengths, or utilize a technique such as immediate dentin sealing.

Special Considerations for Monolithic Zirconia

Monolithic zirconia has a significantly higher modulus of elasticity than other dental ceramics, which is to say that it is significantly stiffer. This property, combined with the fact that some monolithic zirconia materials (especially 3Y and some 4Y zirconia materials) are significantly more fracture resistant than natural tooth structure, should inform clinicians' decisions when delivering monolithic zirconia crowns. To date, there is little prospective 5-year clinical data for monolithic zirconia. What is apparent is that, at least for 3Y zirconia, restoration fracture is not an issue,13,14,16 with most clinical complications being either biologic in origin or decementations.13,14 Older data sets involving zirconia-core restorations indicated that decementations were more likely with zirconia than with other restorations, such as porcelain-fused-to-metal crowns.17 Although this finding may be related to the inherent stiffness of zirconia, the data were generated before the issue of salivary contamination was understood.

Therefore, for crown preparations with "ideal" retention and resistance form, it is questionable whether bonding provides any further benefit. Moreover, bonding could be detrimental to the clinical outcome. In a scenario involving a well bonded 3Y or perhaps even 4Y monolithic zirconia crown of adequate thickness, given that the restoration is not likely to break or debond, the only other logical complications that may arise are biologic issues with the underlying tooth. Thus, a prudent clinician placing a highly fracture resistant zirconia crown on an ideal preparation would preferably deliver the restoration with a resin-modified glass-ionomer cement after it had been air abraded and treated with a zirconia primer (Figure 4 through Figure 6).

With respect to long-term retention, monolithic zirconia crowns that are being placed on preparations with reduced retention and resistance form can certainly benefit from adhesive cementation. Recent data sets, both in vitro18 and in vivo,19,20 demonstrate that monolithic zirconia can be predictably bonded long term. Following the previously referenced APC zirconia-bonding concept with a dentin bonding agent and resin cement can provide excellent retention, even for purely adhesive restorations, such as cantilevered resin-bonded bridges (Figure 7 through Figure 9). Unfortunately, to date, there is a paucity of clinical data to aid decision-making in this area. Given the material properties of monolithic zirconia, it is unclear whether its use for partial coverage restorations, such as onlays and veneers, is wise. Clinicians should proceed with extreme caution in this area until more data is available.

Conclusion

The reemergence of more conservative preparation designs combined with modern ceramic materials is providing clinicians with more options to address patient problems than ever before. With a thorough understanding of the properties of ceramic materials and how they affect clinical outcomes, practitioners can predictably stabilize patients' problems for long periods of time. It is critical that all participants in the process, from the laboratory technician to the auxiliary staff and the dentist, have a firm understanding of the best practices for managing these materials. With proper decision-making, the delivery of modern ceramics can be predictable and efficient.

Queries regarding this course may be submitted to authorqueries@broadcastmed.com

About the Author

Clinton D. Stevens, DDS
Fellow
Academy of General Dentistry
Private Practice
Tulsa, Oklahoma

References

1. Leeson D. The digital factory in both the modern dental lab and clinic. Dent Mater. 2020;36(1):43-52.

2. Lawson NC, Litaker MS, Ferracane JL, et al. Choice of cement for single-unit crowns: findings from The National Dental Practice-Based Research Network. J Am Dent Assoc. 2019;150(6):522-530.

3. Liao Y, Gruber M, Lukic H, et al. Survey of the mechanical and physical behaviors of yttria-stabilized zirconia from multiple dental laboratories. J Am Dent Assoc. 2023;2(1):100018.

4. Tian F, Londono J, Villalobos V, et al. Effectiveness of different cleaning measures on the bonding of resin cement to saliva-contaminated or blood-contaminated zirconia. J Dent. 2022;120:104084.

5. Sulaiman TA, Altak A, Abdulmajeed A, et al. Cleaning zirconia surface prior to bonding: a comparative study of different methods and solutions. J Prosthodont. 2022;31(3):239-244.

6. Blatz MB, Alvarez M, Sawyer K, Brindis M. How to bond zirconia: the APC concept. Compend Contin Educ Dent. 2016;37(9):611-618.

7. Al-Akhali M, Al-Dobaei E, Wille S, et al. Influence of elapsed time between airborne-particle abrasion and bonding to zirconia bond strength. Dent Mater. 2021;37(3):516-522.

8. Fagan J, Vesselovcz J, Puppin-Rontani J, et al. Evaluation of cleaning methods on lithium disilicate glass ceramic surfaces after organic contamination. Oper Dent. 2022;47(2):E81-E90.

9. Noronha Filho JD, Delforge GE, Xing Y, et al. The impact of different surface treatments on topography and bond strength of resin cement to lithium disilicate glass ceramic. Oper Dent. 2023;48(2):186-195.

10. Calixto ET, Kelmer VF, Komegae GH, et al. Influence of varied silane commercial brands and adhesive application on bond strength and stability to lithium disilicate glass ceramic. Oper Dent. 2024;49(3):325-335.

11. Shillingburg HT. Principles of Tooth Preparations. In: Shillingburg HT, ed. Fundamentals of Fixed Prosthodontics. 4th ed. Quintessence; 2012:131-148.

12. Chen PH, Elamin E, Sayed Ahmed A, et al. The effect of restoration thickness on the fracture resistance of 5 mol% Yttria-containing zirconia crowns. Materials (Basel). 2024;17(2):365.

13. Solá-Ruiz MF, Baixauli-López M, Roig-Vanaclocha A, et al. Prospective study of monolithic zirconia crowns: clinical behavior and survival rate at a 5-year follow-up. J Prosthodont Res. 2021;65(3):284-290.

14. Waldecker M, Behnisch R, Rammelsberg P, Bömicke W. Five-year clinical performance of monolithic and partially veneered zirconia single crowns-a prospective observational study. J Prosthodont Res. 2022;66(2):339-345.

15. Sulaiman TA, Suliman AA, Abdulmajeed AA, Zhang Y. Zirconia restoration types, properties, tooth preparation design, and bonding. A narrative review. J Esthet Restor Dent. 2024;36(1):78-84.

16. Sulaiman TA, Abdulmajeed AA, Delgado A, Donovan TE. Fracture rate of 188695 lithium disilicate and zirconia ceramic restorations after up to 7.5 years of clinical service: A dental laboratory survey. J Prosthet Dent. 2020;123(6):807-810.

17. Sailer I, Makarov NA, Thoma DS, et al. All-ceramic or metal-ceramic tooth-supported fixed dental prostheses (FDPs)? A systematic review of the survival and complication rates. Part I: Single crowns (SCs). Dent Mater. 2015;31(6):603-623.

18. Inokoshi M, De Munck J, Minakuchi S, Van Meerbeek B. Meta-analysis of bonding effectiveness to zirconia ceramics. J Dent Res. 2014;93(4):329-334.

19. Naenni N, Michelotti G, Lee WZ, et al. Resin-bonded fixed dental prostheses with zirconia ceramic single retainers show high survival rates and minimal tissue changes after a mean of 10 years of service. Int J Prosthodont. 2020;33(5):503-512.

20. Yazigi C, Kern M. Clinical evaluation of zirconia cantilevered single-retainer resin-bonded fixed dental prostheses replacing missing canines and posterior teeth. J Dent. 2022;116:103907.

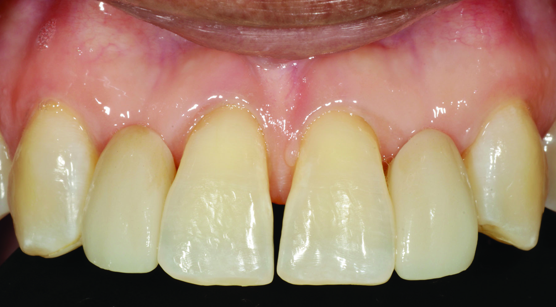
(1.) Pretreatment smile photograph of a patient with a maxillary left “peg” lateral incisor (tooth No. 10).

Figure 1

(2.) Posttreatment smile photograph after delivery of a no preparation leucite-reinforced ceramic veneer with a light-cure only resin cement.

Figure 2

(3.) Posttreatment retracted close-up view of the tooth No. 10 veneer.

Figure 3

(4.) Pretreatment close-up retracted view of tooth No. 19 demonstrating a crown preparation with conventional retention and resistance form.

Figure 4

(5.) Delivery of a 3Y monolithic zirconia crown on tooth No. 19 with a resin-modified glass-ionomer cement.

Figure 5

(6.) Posttreatment retracted close-up view of the restored tooth No. 19 (Case provided by class of 2024 dental student Forrest Fontenot, University of Alabama at Birmingham School of Dentistry.).

Figure 6

(7.) Preoperative smile photograph of a patient with congenitally missing teeth Nos. 7 and 10.

Figure 7

(8.) Postoperative smile photograph of resin-bonded, single-wing cantilevered fixed partial dentures replacing teeth Nos. 7 and 10. The pontics were fabricated with 3Y zirconia frameworks with feldspathic porcelain layered on the facial aspects.

Figure 8

(9.) Postoperative retracted close-up view of the resin-bonded, single-wing cantilevered zirconia fixed partial dentures replacing teeth Nos. 7 and 10 (Case provided by class of 2024 dental student Maggie Bassey, University of Alabama at Birmingham School of Dentistry.).

Figure 9

Take the Accredited CE Quiz:

CREDITS: 1 SI (Laboratory)
AGD CODE: 610 - Ceramic Restorations
COST: $8.00
PROVIDER: Conexiant Education
SOURCE: Inside Dentistry | March 2025

Learning Objectives:

  • Describe the different protocols for conditioning glass ceramic and zirconia restorations after try-in to achieve salivary decontamination and improve bonding/cementation strength.
  • Discuss the decisions involved in choosing traditional or adhesive cementation, particularly as it relates to the retention and resistance form of the preparation and the characteristics of the material selected.
  • Summarize some of the special considerations involved in restoring with monolithic zirconia.

Disclosures:

The author reports no conflicts of interest associated with this work.

Queries for the author may be directed to justin.romano@broadcastmed.com.